Добро пожаловать в Форум для пациентов
Взрослая ортопедия Детская ортопедия Последствия травмы Травма

Федеральное государственное учреждение "Уральский научно-исследовательский институт травматологии и ортопедии им. В.Д.Чаклина Росмедтехнологий"

Хронический травматический остеомиелит ( коленный сустав)
 вверх
 отправить
 поиск
 админ
 главная


Хронический травматический остеомиелит ( коленный сустав)
Последствия травмы Отправлено Александр 27 Июнь 2006, 17:44
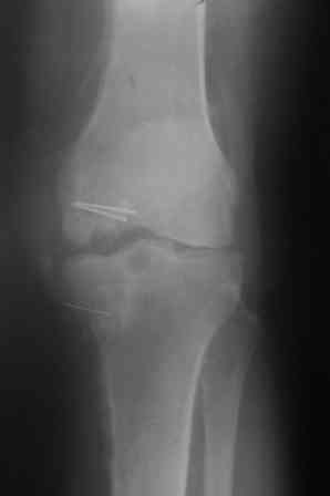
Автотравма 26.06.05. Операция 16.07.05: Открытая репозиция мыщелков правого бедра и б/б кости, остеосинтез пластинами и винтами.
2.02.06 - Плановая операция для удаления металлоконструкций. После операции нагноение в обасти раны. Рана зажила, но образовалось несколько свищей. 25.06.06 - контрольные снимки: диагноз - хронический посттравматический остеомиелит в стадии обострения. На руках имею многочисленные рентген - снимки, обследования( КТ, МРТ, сцинтиграфия). ПРошу всех кто может помочь с информацией куда следует обратиться ( кроме ЦИТО) и проперироваться) . С ув. Александр 28 лет (молодой папаша).

<  |  >

 

  • Сообщения о Последствия травмы
  • Также Александр
  • Связаться с автором
  • Файл-вложение
  • Кликните для загрузки файла CIMG3738.JPG
    20KB (21047 bytes)

  • Ответить/комментировать

    Re: Хронический травматический остеомиелит ( колен
    Alexander Chelnokov 06 Июль 2006, 08:52
    Обратиться можно много куда, страна большая.Вы бы хоть написали, где находитесь, чтобы можно было блиайшие места прикинуть.
    [ Ответить/комментировать ]

    ( Ответить/комментировать )

    Powered by Zope  Squishdot Powered MedLink
    Посетитель: 00002
      "По форме правильно, а по существу - издевательство" В.И.Ленин
    ©2001-200124Patients Coordinator.
    [ Главная | Отправить сообщение | Поиск | Админ ]