вверх
отправить
поиск
админ
главная
|
повторное смешение перелома бедра |
 |
 |
 |
Отправлено Илона 23 Январь 2007, 18:36
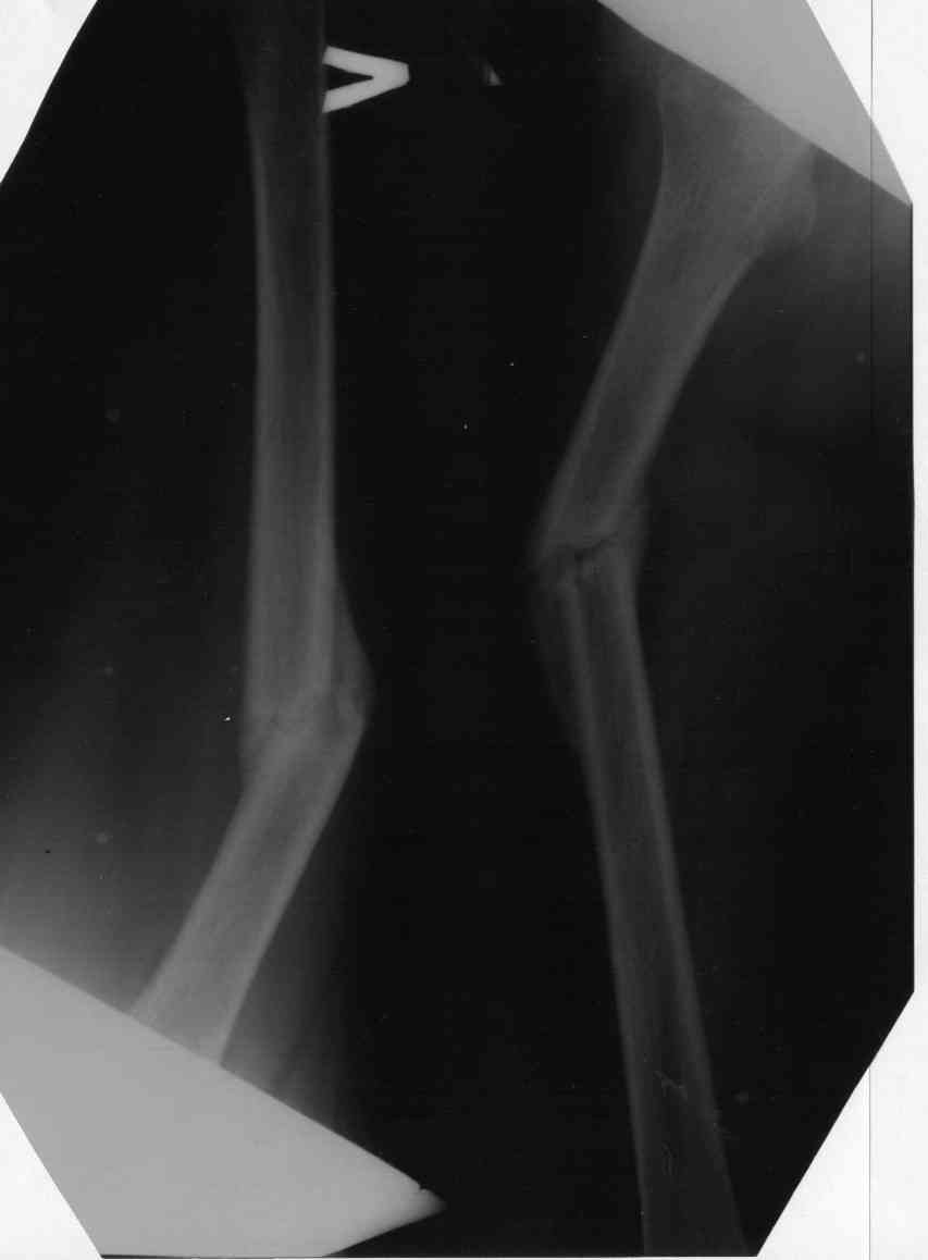
7 сентября 2006 дочь попала в аварию2 месяца на скелктном вытяжении привели к выравниванию с небольшим искажением(3-5 градусов), потом (церкуляр),и повторное смешение...ренген в гипсе- угол 45 градусовбез гипса - развернутый -150 врач категорически против операции(Симферополь, Крым), говорят лежать еще год, в то время как видя ренгены в Харьковском институте ортопедии нам сказали что операция необходима. Каково будет ваше мнение.При каком градусе угла можно становиться на ногу.
<
|
>
|
|
Ответить/комментировать
|
Re: повторное смешение перелома бедра
Alexander Chelnokov 24 Январь 2007, 00:30
|
А сколько лет пациентке?
Вообще, деформация очень выраженная.
Вытяжение при переломах бедра из-за таких результатов давно вышло из практики уже не только в развитых странах. План "лежать еще год" не решит имеющуюся проблему, а породит новые, поэтому он, мягко говоря, малоприемлемый.
Если есть проблемы с движениями в коленном суставе, то начать с разработки, а после восстановления - исправлять ось. Можно аппаратом, можно заштифтовать закрыто.
|
[
Ответить/комментировать ] |
Re: повторное смешение перелома бедра
Отправитель: Илона 24 Январь 2007, 12:15
|
Спосибо за ответ
пациентке 9 лет
я знаю какое мнение во врачебной среде о "мамашах",но
подскажите что нам делать. врач категорически против операции
|
[
Ответить/комментировать ]
|
Re: повторное смешение перелома бедра
Отправитель: Alexander Chelnokov 24 Январь 2007, 22:16
|
Заставить врача, у которого почему-то сложилась такая убежденность, все-таки сделать операцию - вряд ли можно и нужно.
Поэтому напрашивается вариант о смене лечебного учреждения. Вы же пишете про Харьковский институт. Полагаю, найдется немало учреждений и украинских, и российских, да и в любой другой местности, где готовы будут провести необходимое лечение.
|
[
Ответить/комментировать ]
|
|
( Ответить/комментировать )
|
|