Добро пожаловать в Форум для пациентов
Взрослая ортопедия Детская ортопедия Последствия травмы Травма

Федеральное государственное учреждение "Уральский научно-исследовательский институт травматологии и ортопедии им. В.Д.Чаклина Росмедтехнологий"

Прыгну и вроде сломал пятки
 вверх
 отправить
 поиск
 админ
 главная


Прыгну и вроде сломал пятки
Травма Отправлено Александр Блинов 12 Июнь 2007, 21:42 Ленинградская Областная клиническая больница
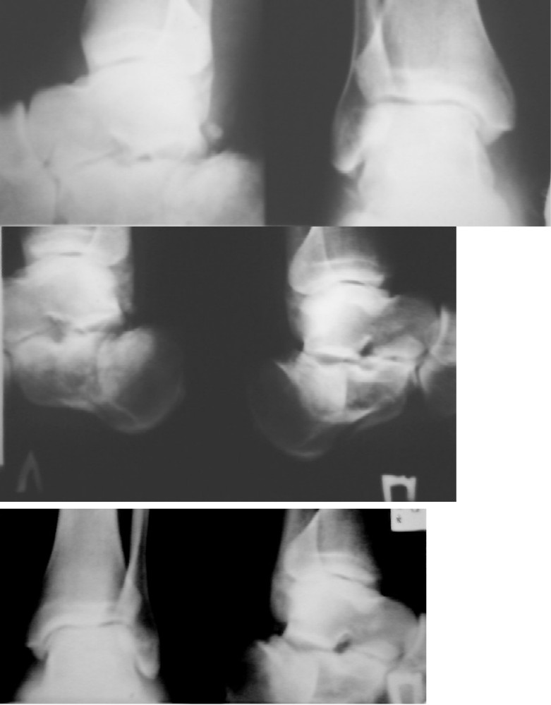
Повредил ноги 3 дня назад, наложили временный гипсврач собирается ставить аппараты Илизарова на обе ноги.??????
Травма случилась около 16 часов, но только на следующий день к вечеру, по моему настоянию поставили гипс или лангет, ну типа временной конструкции.Смотрю я на свои рентгеновские снимки и не вижу где переломы, нет в правой ноге вижу, а в левой нет. Да и с левой ноги отек довольно начал спадать. Может всетаки диагноз не вполне точный.А про способ лечения перелома пятки аппаратами Илизарова вообще очень много сомнения, ведь за границей этот способ не применяют с 1965 года.Уважаемые форумчане-доктора посмотрите мои снимки и скажите свои точки зрения.С уважением Александр Блинов С-Петербург 45 лет.

<  |  >

 

  • Сообщения о Травма
  • Также Александр Блинов
  • Связаться с автором
  • Файл-вложение
  • Кликните для загрузки файла Микс.jpg
    61KB (62784 bytes)

  • Ответить/комментировать

    Re: Прыгну и вроде сломал пятки
    Alexander Chelnokov 13 Июнь 2007, 04:44
    Переломы отчетливо видны. Насчет "за границей этот способ не применяют с 1965 года" - это просто чепуха несусветная, в то время метод Илизарова в СССР-то не везде еще применялся. А за границей, да при переломах пятки, его стали применять только лет 10-15 назад.
    [ Ответить/комментировать ]

    ( Ответить/комментировать )

    Powered by Zope  Squishdot Powered MedLink
    Посетитель: 00000
      "По форме правильно, а по существу - издевательство" В.И.Ленин
    ©2001-200124Patients Coordinator.
    [ Главная | Отправить сообщение | Поиск | Админ ]