вверх
отправить
поиск
админ
главная
|
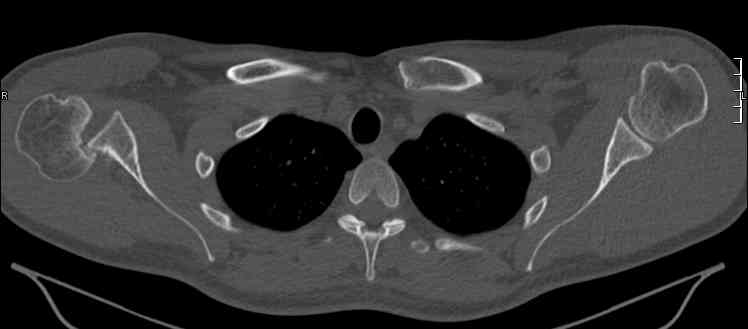
Задний вывих головки плечевой кости? |
 |
 |
 |
Отправлено Макарь Павел 05 Май 2008, 21:32
Точен ли диагноз? Неодходимо ли оперативное вмешательство? Это очень важно для меня, поскольку я из Молдавии, а у нас специализированных учреждений нет. Даже предположительный диагноз поставили спустя год после травмы, направив на томографию (по обычным рентгеновским снимкам определить ситуацию не могли).
<
|
>
|
|
Ответить/комментировать
|
Re: Задний вывих головки плечевой кости?
Alexander Chelnokov 05 Май 2008, 21:43
|
Задний вывих плеча действительно есть. Такой вариант вывиха по прямой рентгенограмме действительно не бросается в глаза. Травматологи-ортопеды в Молдавии есть.
|
[
Ответить/комментировать ] |
Re: Задний вывих головки плечевой кости?
Павел Макарь 06 Май 2008, 12:18
|
Добрый день! А перелом Хилла-Сакса? Вывих-то можно вправить по Илизарову, а вот вывих+перелом? Какова перспектива?
|
[
Ответить/комментировать ] |
Re: Задний вывих головки плечевой кости?
Отправитель: Alexander Chelnokov 06 Май 2008, 21:21
|
Минуточку. Вы задавали вопросы: 1)есть ли вывих, и 2)нужна ли операция. Вам были даны ответы.
На данном этапе нет смысла углубляться в технические детали всех возможных хирургических решений. Целесообразно их обсуждать с тем врачом, который и будет Вас лечить.
|
[
Ответить/комментировать ]
|
Re: Задний вывих головки плечевой кости?
Отправитель: Павел Макарь 07 Май 2008, 13:40
|
Я прошу прощения за, как вам показалось, неуместные вопросы. Вы совершенно правильно сделали мне замечание, но дело в том, что в Молдавии у меня нет лечащего врача, потому что никто лечить такую травму здесь не хочет. Я просто надеялся на теоритическую помощь. Спасибо!
к.и.н. П.И. Макарь
|
[
Ответить/комментировать ]
|
Re: Задний вывих головки плечевой кости?
Отправитель: Павел Макарь 29 Июль 2008, 23:53
|
Да, профессионализм и глубокое образование гейзером вырываются наружу! Ваш ответ, голубчик, звучал примерно так: "Волга впадает в Каспийское море", и на мои вопросы, уважаемый, вы не ответили!
|
[
Ответить/комментировать ]
|
Re: Задний вывих головки плечевой кости?
Отправитель: Alexander Chelnokov 30 Июль 2008, 16:34
|
Еще раз. Ответ о наличии вывиха и целесообразности операции был дан. Дальнейшее углубление в детали не решит главной проблемы - отсутствия на месте необходимого уровня медпомощи. Никакой "теоритической" помощи не существует. Есть смысл "сыпать бисер" профессиональной информации перед тем, кто ей может профессионально распорядиться.
|
[
Ответить/комментировать ]
|
|
( Ответить/комментировать )
|
|