Добро пожаловать в Форум для пациентов
Взрослая ортопедия Детская ортопедия Последствия травмы Травма

Федеральное государственное учреждение "Уральский научно-исследовательский институт травматологии и ортопедии им. В.Д.Чаклина Росмедтехнологий"

надмыщелковая остеотомия
 вверх
 отправить
 поиск
 админ
 главная


надмыщелковая остеотомия
Последствия травмы Отправлено mafi 15 Февраль 2009, 11:23
В выписке написано: надмыщелковая остеотомия бедренной кости на фоне наследственного заболевания, фиксация спицами(толко на 10 дней) и на 4 месяца в гипс.
Я знаю , что они мне резали выпуклость берцовой кости )))) мне так ость поправляли 30градусов было. сейчас у меня развиваестя фиброзный анкелоз, что делать колено закрывается))))) Врач со мной разговаривать не хочет
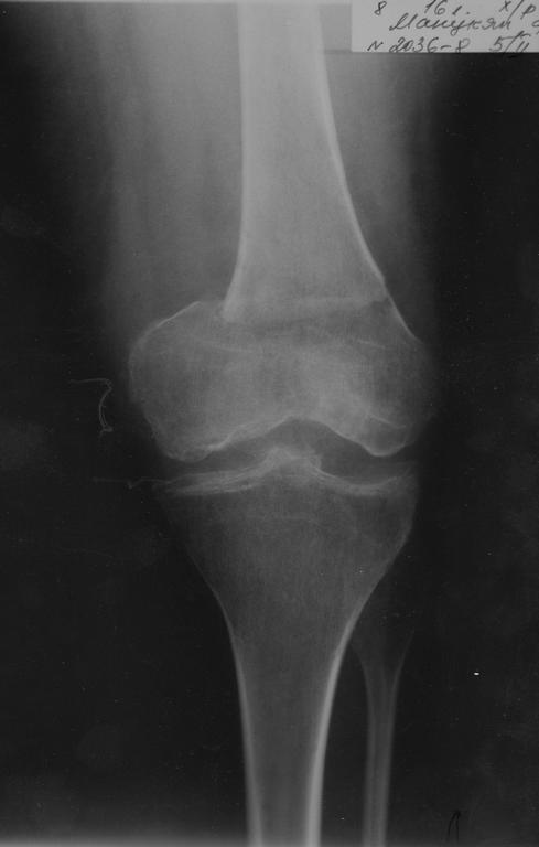
На снимке колену 4 месяца......сейчас 1 год прощел )) щель разрослась, могу сгибать на 45-50 градусов

<  |  >

 

  • Сообщения о Последствия травмы
  • Также mafi
  • Связаться с автором
  • Ответить/комментировать

    Re: надмыщелковая остеотомия
    Alexander Chelnokov 16 Февраль 2009, 19:20
    На какой вопрос Вы бы хотели получить ответ?
    [ Ответить/комментировать ]
    Re: надмыщелковая остеотомия
    мафи 01 Март 2009, 06:30
    что делать с коленом?
    Вот недавний генген
    Кликните для загрузки файла IMG_0004.jpg
    639KB (654340 bytes)

    [ Ответить/комментировать ]
    • Re: надмыщелковая остеотомия
      Отправитель: Alexander Chelnokov 01 Март 2009, 09:57
      Ситуация вряд ли может быть адекватно оценена по скудному непрофессиональному описанию. На снимке ничего тревожного не видно, можно движения разрабатывать. Препятствия разработке, скорее всего, обусловлены рубцовым процессом в мышцах. Возможно, и тем заболеванием, которое имелось.

      [ Ответить/комментировать ]
      • Re: надмыщелковая остеотомия
        Отправитель: мафи 04 Март 2009, 06:15
        Спасибо за ответ)))
        Вот выписка и результаты узи

        Нога постоянно похрустывает. При ходьбе нога побаливает и отекает, раньше такого не было. Не думаю, что это связанно с наследственным заболеванием, так как после операции был наложен коксид и 4 месячная иммобилизация голеностопного, коленного и тазобедренного сустава , а с этими суставами все относительно нормально. Мое наследственное заболевание не то, которое поражает один коленный сустав.
        1.Как думаете: У меня есть артроз или анкилоз? Полная разработка возможна ?
        2. Это врачебная ошибка? Написали, что это набмыщелковая остеотомия, фиксация спицами, а сделали межмыщелкову.

        С уважением.


        Кликните для загрузки файла IMAGE0009.JPG
        610KB (625447 bytes)

        [ Ответить/комментировать ]
        • Re: надмыщелковая остеотомия
          Отправитель: мафи 04 Март 2009, 06:23
          вот вописка

          Кликните для загрузки файла 1111.JPG
          535KB (547924 bytes)

          [ Ответить/комментировать ]
          • Re: надмыщелковая остеотомия
            Отправитель: мафи 05 Март 2009, 04:51
            Забыла добавить: мое заболевание имеет склонность к образованию контрактур, не смотря на это врачи делают, помимо колена , межвертельную остеотомия , удлиняя этим бедро на 1,5-2 см , и в коксид на 4 мес .......

            [ Ответить/комментировать ]
          • Re: надмыщелковая остеотомия
            Отправитель: мафи 05 Март 2009, 04:52
            Забыла добавить: мое заболевание имеет склонность к образованию контрактур, не смотря на это врачи делают, помимо колена , межвертельную остеотомия , удлиняя этим бедро на 1,5-2 см , и в коксид на 4 мес .......

            [ Ответить/комментировать ]

     

    ( Ответить/комментировать )

    Powered by Zope  Squishdot Powered MedLink
    Посетитель: 00093
      "По форме правильно, а по существу - издевательство" В.И.Ленин
    ©2001-200124Patients Coordinator.
    [ Главная | Отправить сообщение | Поиск | Админ ]