Добро пожаловать в Форум для пациентов
Взрослая ортопедия Детская ортопедия Последствия травмы Травма

Федеральное государственное учреждение "Уральский научно-исследовательский институт травматологии и ортопедии им. В.Д.Чаклина Росмедтехнологий"

Перелом лучевой кости
 вверх
 отправить
 поиск
 админ
 главная


Перелом лучевой кости
Травма Отправлено Анна 21 Февраль 2009, 01:43
Пожалуйста, помогите разобраться со снимками и поставить правильный диагноз

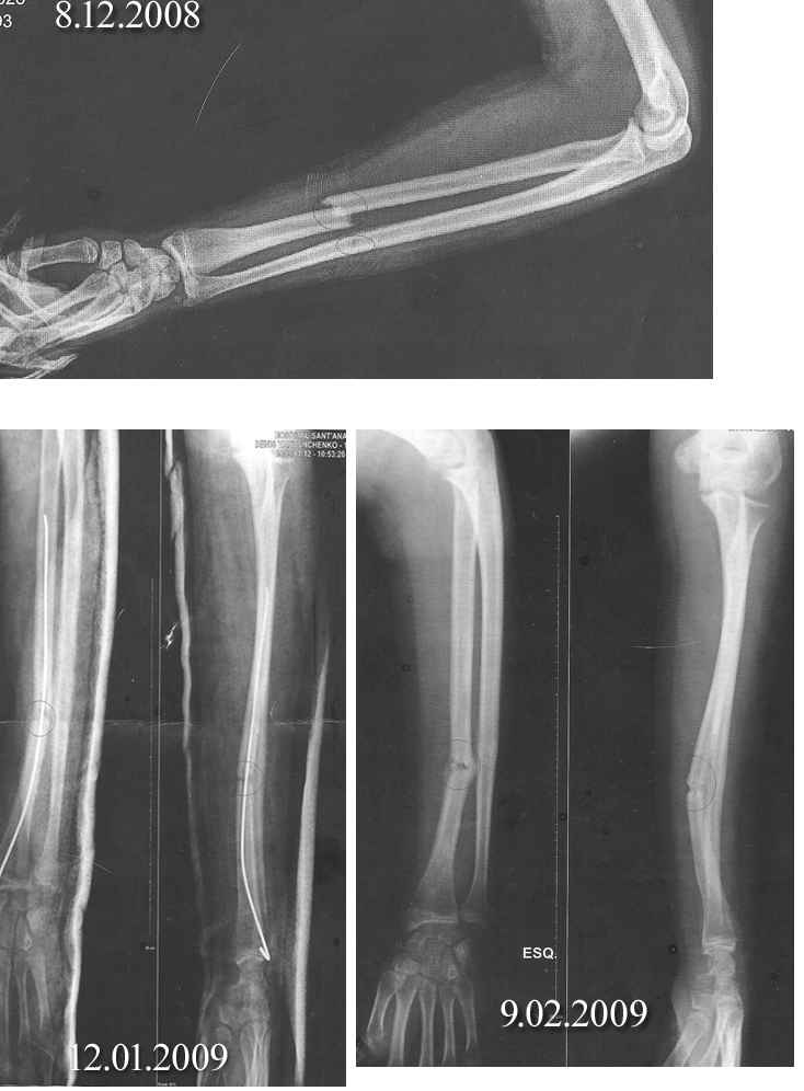
8.12.09 племянник (15 лет) поломал руку, поскользнулся и упал на брущатной дороге. Ему наложила гипс и вставили спицу...потом, 9.02. сняли гипс и выняли спицу. При этом племянник сказал, что боль была сильнее чем когда складывали руку...Обратите внимание на последний снимок, кость как бы согнулась углом, а со спицей была ровной. Может тот практикант, что вынимал спицу что то нарушил?...В результате, мальчик жалуется на то, что рука как не его и боится ею что либо делать...Одни врачи говорят, что может выровняться кость, другие - говорят, что обязательно нужна открытая репозиция с фиксацией металлической пластиной...Что делать? Как поступить? Делать ли операцию?

<  |  >

 

  • Сообщения о Травма
  • Также Анна
  • Связаться с автором
  • Ответить/комментировать

    Re: Перелом лучевой кости
    Alexander Chelnokov 23 Февраль 2009, 21:50
    Вынимая спицу, "нарушить" что-то невозможно, видимо, к этому моменту прочное сращение еще отсутствовало, и постепенно произошла деформация.
    Наверно, стоило бы сделать операцию для восстановления оси лучевой кости.


    [ Ответить/комментировать ]

     

    ( Ответить/комментировать )

    Powered by Zope  Squishdot Powered MedLink
    Посетитель: 00066
      "По форме правильно, а по существу - издевательство" В.И.Ленин
    ©2001-200124Patients Coordinator.
    [ Главная | Отправить сообщение | Поиск | Админ ]