Добро пожаловать в Форум для пациентов
Взрослая ортопедия Детская ортопедия Последствия травмы Травма

Федеральное государственное учреждение "Уральский научно-исследовательский институт травматологии и ортопедии им. В.Д.Чаклина Росмедтехнологий"

Травма колена
 вверх
 отправить
 поиск
 админ
 главная


Травма колена
Травма Отправлено Максим 26 Апрель 2009, 23:18
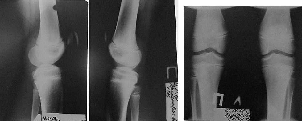
Добрый день, уважаемые коллеги!Очень нужна ваша профессиональная помощь, у мальчика 12 лет проблемы с коленом.
Мальчик занимается спортом - баскетбол с шести лет вместе с братом (двойняшки). До прошлого лета никаких проблем не было. Но после приезда из спортлагеря и простудной болезни стали болеть колени. У брата (если эта информация важна ни тогда, ни сейчас никаких проблем нет, нагрузки на тренировках получали одинаково). После двух месяцев боли правого колена (боль появляется при нагрузках - в основном при резком беге, ускорениях, а также при сгибании и разгибании колена в крайние положения) мы сдали анализ на ревматоидный артрит (анализ отрицательный), снимки колена и показали спортивному врачу. Диагноз был поставлен, что это у мальчика болят шляттеры. На два месяца он прекратил тренировки и упражнениями тренировал (закачивал) правую (и заодно левую ногу). Однако к новому году тенденция поменялась, правое колено стало проходить, а левое наоборот беспокоит, за это время боли так и не ушли. Мальчик начал тренировки (по возможности) в зале. К весне правое колено перестало болеть полностью но стало очень сильно болеть левое. После одного из турниров к боли добавился отек (колено довольно сильно опухло) и болело не позволяя делать активные физические упражнения и нагрузки. Нами были сделаны повторно снимки обеих колен (прикреплены). Все это время (уже 9 месяцев) постоянно мажем коленные суставы вольтареном. Хочется попросить у вас профессиональной помощи и по возможности (если сталкивались с подобными ситуациями) порекомендовать наши действия и какой можно поставить диагноз.Заранее спасибо всем за ответы и советы!

<  |  >

 

  • Сообщения о Травма
  • Также Максим
  • Связаться с автором
  • Ответить/комментировать

    Re: Травма колена
    Alexander Chelnokov 26 Апрель 2009, 23:28
    Сообщение перемещено на форум для пациентов.
    По снимкам (мелким, правда) ничего тревожного не видно. Описанное вполне укладывается в уже поставленный диагноз болезни Осгуда-Шлаттера . Это хорошо знакомая всем проблема, никаких откровений искать не надо. Местные врачи вполне способны сами разобраться.
    [ Ответить/комментировать ]

    ( Ответить/комментировать )

    Powered by Zope  Squishdot Powered MedLink
    Посетитель: 00037
      "По форме правильно, а по существу - издевательство" В.И.Ленин
    ©2001-200124Patients Coordinator.
    [ Главная | Отправить сообщение | Поиск | Админ ]