вверх
отправить
поиск
админ
главная
|
Интрамндуллярный металлоостеосинтез бедра дистальным бедренным штифтом |
 |
 |
 |
Отправлено Евгений 15 Январь 2010, 22:47
Недавно попал в ДТП. Один из результатов этого - закрытый оскольчатый перелом костей левого бедра в средней трети со смещением отломков. Нужен совет врачей. Сделан интрамедуллярный металлоостеосинтез левого бедра дистальным бедренным штифтом. Месяц провел в больнице. Ходить запретили, поэтому нога почти не двигалась. Недавно выписан из больницы домой. В выписном листе написано, что не нагружать левую ногу не менее 8 недель. По контрольному снимку сказали, что все норм срастается. Дома левой ногой приходится гораздо больше двигать, т.к. по квартире передвигаюсь на костылях, левая нога при этом согнута в колене. Из-за всех этих движений нога теперь вся болит, точнее все мышцы, т.к. рабочей ни одной не осталось за такое время. После 5-й недели стоя на костылях попробовал немного нагрузить левую ногу и просто ошалел... Я думал что у меня коленка развалится от этого. Болит страшно, но после костылей и на правой ноге коленка болит. Отсюда вопрос: Коленка болит от того, что ее разрезали и через нее штифт загоняли, или от того, что нога так долго не двигалась? Расскажите, а как правильно восстанавливаться после таких операций?И еще: Лежа на кровати с вытянутой левой ногой, ее вытянутую поднять просто невозможно. Верхняя часть бедра ужасно болит. Скажите, это от того, что мышцу в месте перелома разрезали, или это болит сам перелом?Спасибо за ответы.
<
|
>
|
|
Ответить/комментировать
|
Re: Интрамндуллярный металлоостеосинтез бедра дистальным бедренным штифтом
Alexander Chelnokov 17 Январь 2010, 22:41
|
Интенсивная боль, тем более в таком сроке, нехарактерна для таких диагноза и лечения. Лучше бы очно проконсультироваться, и на снимки взглянуть бы.
|
[
Ответить/комментировать ] |
Re: Интрамндуллярный металлоостеосинтез бедра дистальным бедренным штифтом
Евгений 21 Январь 2010, 03:43
|
Ну так для боли должно же быть какое-то объяснение??? Может это и не характерно для такого диагноза, но вот для такого лечения - не знаю...
В больнице половину срока провел в реанимации, другую половину за искл. нескольких дней - не помню. (еще ушиб головного мозга заработал). Когда пришел в адекватное состояние, узнал что случилось, что со мной сделали и что теперь ждет в будующем с такими травмами - состояние было ужасное. Единственные мысли в больнице были: нафига я пристегивался ремнем??? Кому я теперь нужен на этом свете кроме родных... ну с этим ладно... Щас я уже дома. Раз нужен кому-то я на этом свете, буду восстанавливаться.
До конца вышеозначенных 8-ми недель осталась одна. Уже три дня я каждый час стою на правой ноге держась за стол и разрабатываю определенными движениями коленнку и тазобедренный сустав. В итоге колено проще сгибается в положении лежа, но все мышцы на ноге начинают ныть. Все так напряжено, что ощущение, что нога опухла в области колена, но этого нет.
Нагружаю по чуть-чуть левую ногу, но все еще есть боли в коленке, особенно болит мышца в области чуть выше колена. Думаю это от того, что 2 месяца не ходил.
Вот тут поправьте меня, если не прав... В свое время лет 5 занимался боксом, причем серьезно 5 раз в неделю. Так что на личном опыте знаю, что без боли ничего не разрабатывается... так же как и то, что даже месяц без тренировок я вынести не мог, ибо при возвращении назад ноги просто отваливались. Что со мной такое не знаю, но вот такое было. 2 месяца без ходьбы для меня тоже тяжело. Как в физ. плане, так и в моральном, т.к. у меня очень подвижный образ жизни. До этого случая пройтись пешком пару километров был не против.
Скажите, как лучше всего учиться ходить после такого?
Да, еще... на очную консультацию обязательно пойду к травматологу, когда ходить с одним костылем научусь. Надо будет снимки делать. Если хоть в районной поликлинике снимки дадут, то след. раз напишу со снимками. а то не очень хотят они их домой давать...
|
[
Ответить/комментировать ] |
Re: Интрамндуллярный металлоостеосинтез бедра дистальным бедренным штифтом
Отправитель: Alexander Chelnokov 21 Январь 2010, 11:27
|
Врачу есть смысл показаться очно именно когда есть проблема, а не "когда ходить с одним костылем научусь". При очном осмотре (возможно, еще и после рентгенографии) должно проясниться, какое объяснение из нескольких десятков воможных актуально в этой ситуации.
Движения в колене нужно разрабатывать сидя, свесив ноги, а также лежа на животе. Пяткой здоровой ноги упираться в переднюю поверхность голени поврежденной.
Снимков не представлено, поэтому нет основы для рекомендаций по ходьбе и допустимой нагрузке.
|
[
Ответить/комментировать ]
|
|
Re: Интрамндуллярный металлоостеосинтез бедра дистальным бедренным штифтом
Евгений 21 Январь 2010, 03:49
|
Забыл написать...
В больнице советы врача о том, какие мышцы надо напрягать чтоб лучше было, из-за моего состояния были полностью проигнорированы. Хотя он вроде говорил, что в колене там что-то на мышцах держится. И что можно повредить колено, если все мышцы слабые. Но точно об этом не помню... может и правда. Кто знает?
|
[
Ответить/комментировать ] |
Re: Интрамндуллярный металлоостеосинтез бедра дистальным бедренным штифтом
Евгений 14 Февраль 2010, 21:39
|

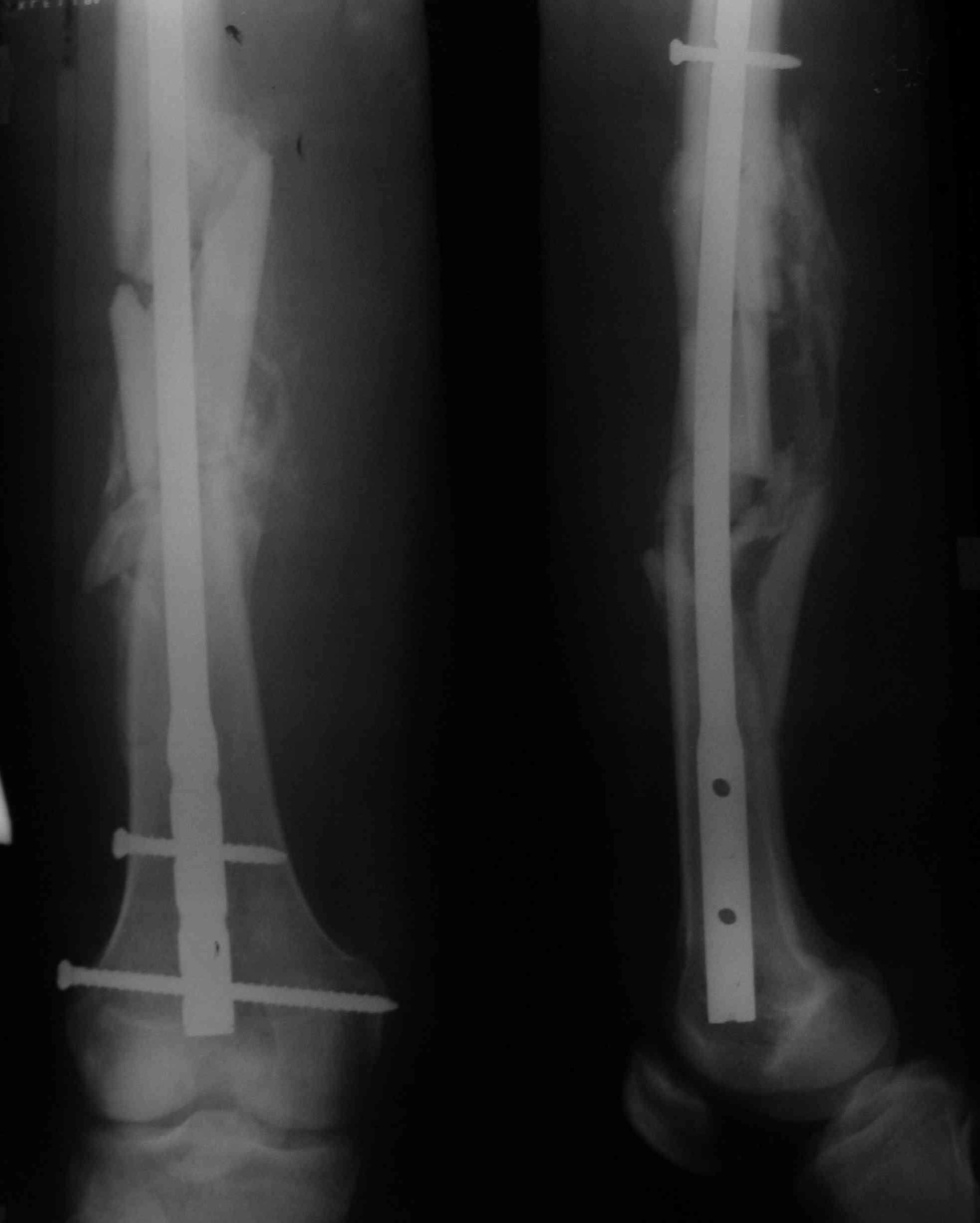
Вот я и сходил к травматологу в поликлинику. Радует, что хоть снимки теперь на руках, можно выложить, что собственно я и сделал. Снимал фотиком, так что если что не разобрать - постараюсь лучше сделать. Скажите, какие дальнейшие действия по нагрузке ноги? А то информации практически нет. Врач принимал другой, не тот что карту мою составлял. Этот только сделал снимок и записал на дальнейший прием в первому врачу. Врач, который проводил операцию, сейчас в отпуске. В больнице травматологи сказали, что можно давать нагрузку, разрабатывать ногу, но потихоньку, и очень аккуратно, а то колено после 2-х месяцев слабое. Оно в действительности, так и есть. Но на двух ногах я уже после 7 недели стоял. только ходил на одной ноге с костылями. Щас пытаюсь ходить с одним костылем, который просто в руке держится. Колено хоть и держит при опоре на костыль, но не долго. Где-то 1-2 секунды. Потом начинает слабеть и болеть. В принципе, чтобы сделать шаг, хватает. Но вот подняться на ступеньку (они пока еще есть в совдеповских квартирах) это сложно. Поэтому в другой руке ношу обычный деревянный костыль.
Отсюда вопрос... Какая нагрузка на ногу возможна при таком состоянии, как на снимках? Колено ведь у человека способно держать очень большую нагрузку. но ведь есть же какие-то ограничения в связи с переломом? После того, как восстановится колено, можно ли будет ходить без костылей, просто хромая на одну ногу? Или до полного сращения не стоит?
|
[
Ответить/комментировать ] |
Re: Интрамндуллярный металлоостеосинтез бедра дистальным бедренным штифтом
Отправитель: Alexander Chelnokov 16 Февраль 2010, 03:23
|
Вы так и не указали дату операции. Предполагаю, что прошло больше 2 мес.
На снимках все хорошо.
Нагрузка возможна та, которая получается без хромоты. Т.е. если можете идти, не хромая, без костылей и трости - на здоровье. Если сильно хромаете - пользуйтесь дополнительной опорой в противоположной руке. Движения в колене надо уже разработать, уже должны свободно садиться на корточки.
Колено не бывает "слабое", слабые могут быть только мышцы. Давайте им нагрузку - поднимайте прямую ногу, разгибайте колено, преодолевая сопротивление.
|
[
Ответить/комментировать ]
|
|
Re: Интрамндуллярный металлоостеосинтез бедра дистальным бедренным штифтом
Евгений 16 Февраль 2010, 04:19
|
Спасибо за ответ!!!
Да, вы правы, снимок сделан на 10-й неделе (после 2 мес.). Вот только выкладывал еще при выписке снимки, с комментариями на изображении. Видать, было отредактировано. Ну хоть эти остались... и ладно...

Ходить с тростью с каждым днем получается все лучше. И в плане равновессия моего, и в плане колена. Но дальше квартиры пока боюсь. Уже колено болит меньше, но полную нагрузку пока не выдержит. А вот на корточки сесть не получиться. К 8 неделе уже нога дальше чем на 90 градусов не сгибалась. Если пытаться и дальше согнуть - появляются боли в самом конце бедра в районе колена. Там еще через кожу можно нащупать заостренный конец болта. Сначала думал на этот болт, но в больнице сказали, что раньше чем через год об этом разговора быть не может. Так что пока разрабатываю колено, может и лучше будет... Выложил опять снимок, там болты лучше видно. Скажите, это нормально болт установлен?
И еще... в месте перелома была разрезана мышца с лицевой стороны бедра. Она должна уже зажить? а то в поликлинике так толком и не сказали, а болит, если лежа поднимать вытянутую ногу....
Ну вот это пока и интересует. Дальше видно будет. Спасибо за ответы. Хоть надежда какая-то появилась...
|
[
Ответить/комментировать ] |
( Ответить/комментировать )
|
|