вверх
отправить
поиск
админ
главная
|
Что делать,если неудачно устовлен штифт. |
 |
 |
 |
Отправлено Елена Богданова 25 Февраль 2010, 16:20
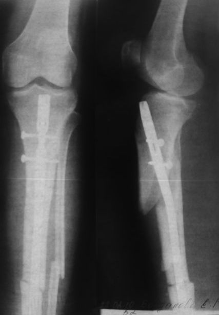
Был тройной перелом голени. Операция была сделана крайне неудачно. Край кости выпирает. Хирург ,проводивший операцию предлагает просто его отпилить. На консультации в другой клинике предлагают извлечь штифт и поставить аппарат Елизарова. Страшно.Подскажите пожалуйста возможно ли исправить ситуацию заменив штифт и правильно соединив обломки. Снимки прилагаю.
<
|
>
|
|
Ответить/комментировать
|
Re: Что делать,если неудачно устовлен штифт.
Alexander Chelnokov 26 Февраль 2010, 12:08
|
Исправить ситуацию не только можно, но и нужно. Аппарат Илизарова может, тем не менее, понадобиться на 1-2 недели, если за прошедшее после операции время сформировались рубцы, сильно ограничивающие подвижность фрагментов.
|
[
Ответить/комментировать ] |
Re: Что делать,если неудачно устовлен штифт.
Отправитель: Богданова Елена 27 Февраль 2010, 13:59
|
Возможно я плохо изложила свою проблему.У меня был перелом обеих костей голени со смещением. 13 января был установлен штифт.Операция была не совсем удачная т.к.сильно выступает острый обломок б.берцовой кости. Очень некрасиво и есть опасность разрыва кожи.

Три ортопеда к которым я обращалась за консультацией считают, что такой результат неприемлем. необходимо извлечь штифт и установить аппарат Илизарова.
Посоветуйте как быть. Начинать всё сначала страшно, и нет уверенности , что сделают лучше.
Посмотрите снимок.Можно ли оставить всё в таком виде и впоследствии подкорректировать?
Насколько может при этом укоротиться нога?
Спасибо!
Во
|
[
Ответить/комментировать ]
|
Re: Что делать,если неудачно устовлен штифт.
Отправитель: Alexander Chelnokov 01 Март 2010, 00:06
|
Вы достаточно внятно представили проблему в своем первом сообщении, нет необходимости повторяться. Ответ Вам уже дан.
Вы не указываете, в каком регионе лечитесь - если наш институт в пределах досягаемости, можно обратиться для решения проблемы.
|
[
Ответить/комментировать ]
|
|
( Ответить/комментировать )
|
|