Добро пожаловать в Форум для пациентов
Взрослая ортопедия Детская ортопедия Последствия травмы Травма

Федеральное государственное учреждение "Уральский научно-исследовательский институт травматологии и ортопедии им. В.Д.Чаклина Росмедтехнологий"

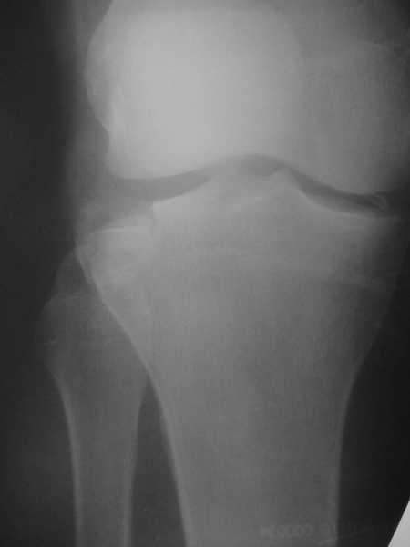
Перелом латерального мыщелка
 вверх
 отправить
 поиск
 админ
 главная


Перелом латерального мыщелка
Травма Отправлено Алан Валерьевич 03 Апрель 2010, 12:25
Прошу уважаемые форумчане помочь с проблемой. У друга перелом латерального мыщелка большеберцовой кости.
Травматологи ничего не говорят о тактике его лечения, а после беседы с врачом я так понял, что ее вовсе и нет. Сам я по специальности уролог и ничего не смыслю в вариантах лечения данной патологии но друг просит помочь. Снимок прилагаю

<  |  >

 

  • Сообщения о Травма
  • Также Алан Валерьевич
  • Связаться с автором
  • Ответить/комментировать

    Re: Перелом латерального мыщелка
    Alexander Chelnokov 03 Апрель 2010, 21:57
    Наадо сделать КТ. И оперировать - надо восстанавливать форму суставной поверхности, т.е. поднять просевший мыщелок. Дефект заместить ауто- или алломатериалом. Фиксировать пластиной или аппаратом. Если в той больнице, где пациент сейчас, такие операции на потоке не делаются, то лучше перебраться куда-то в более продвинутое место.
    [ Ответить/комментировать ]

    ( Ответить/комментировать )

    Powered by Zope  Squishdot Powered MedLink
    Посетитель: 00057
      "По форме правильно, а по существу - издевательство" В.И.Ленин
    ©2001-200124Patients Coordinator.
    [ Главная | Отправить сообщение | Поиск | Админ ]