Добро пожаловать в Форум для пациентов
Взрослая ортопедия Детская ортопедия Последствия травмы Травма

Федеральное государственное учреждение "Уральский научно-исследовательский институт травматологии и ортопедии им. В.Д.Чаклина Росмедтехнологий"

Застарелый краевой перелом
 вверх
 отправить
 поиск
 админ
 главная


Застарелый краевой перелом
Травма Отправлено Лилия 20 Апрель 2010, 15:52
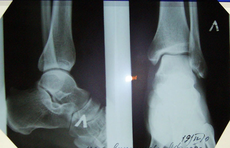
Добрый день, подскажите пожалуйста у меня опухает наружная ладыжка в течении 1,5 года.
Пошла к хирургу меня отправили на рентген. Обнаружили застарелый краевой перелом. В следствии чего он мне доставляет боль.Врач предлагает сделать операцию по удалению обломаного фрагмента или оставить все как есть, говорит ничего страшного нет, подскажите пожалуйста стоит делать операцию? Заранее спасибо.

<  |  >

 

  • Сообщения о Травма
  • Также Лилия
  • Связаться с автором
  • Файл-вложение
  • Кликните для загрузки файла перелом.jpg
    57KB (58984 bytes)

  • Ответить/комментировать

    Powered by Zope  Squishdot Powered MedLink
    Посетитель: 00066
      "По форме правильно, а по существу - издевательство" В.И.Ленин
    ©2001-200124Patients Coordinator.
    [ Главная | Отправить сообщение | Поиск | Админ ]