Добро пожаловать в Форум для пациентов
Взрослая ортопедия Детская ортопедия Последствия травмы Травма

Федеральное государственное учреждение "Уральский научно-исследовательский институт травматологии и ортопедии им. В.Д.Чаклина Росмедтехнологий"

перелом малой берцовой с разрывом синдесмоза
 вверх
 отправить
 поиск
 админ
 главная


перелом малой берцовой с разрывом синдесмоза
Травма Отправлено Сергей 30 Август 2010, 13:39
Помогите с выбором лечения.
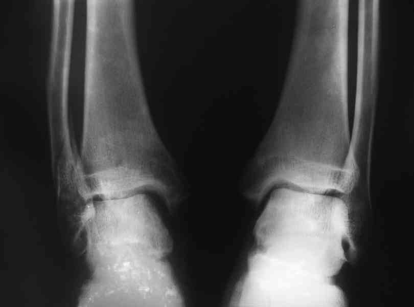
У меня был открытый перелом малой берцовой кости с разрывом синдесмоза и вывихом стопы кзади и кнаружи. Операции небыло. Месяц на вытяжке, два месяца в гипсе. Спустя еще два месяца начались боли в суставе при ходьбе. Сделал повторный ренген - незначительно разошелся синдесмоз и укоротилась малая берцовая кость. Предлагают два способа лечения:- Поставить болт-стяжку на синдесмоз.- рассечь малую берцовую кость и поставить аппарат Елизарова. Посоветуйте что делать?

<  |  >

 

  • Сообщения о Травма
  • Также Сергей
  • Связаться с автором
  • Ответить/комментировать

    Re: перелом малой берцовой с разрывом синдесмоза
    Вячеслав Васюков 31 Август 2010, 01:28
    Неободима болт- стяжка с диафизарной накладкой с целью восстановления взаимоотношения в г/стопном суставе
    [ Ответить/комментировать ]

    ( Ответить/комментировать )

    Powered by Zope  Squishdot Powered MedLink
    Посетитель: 00118
      "По форме правильно, а по существу - издевательство" В.И.Ленин
    ©2001-200124Patients Coordinator.
    [ Главная | Отправить сообщение | Поиск | Админ ]