Добро пожаловать в Форум для пациентов
Взрослая ортопедия Детская ортопедия Последствия травмы Травма

Федеральное государственное учреждение "Уральский научно-исследовательский институт травматологии и ортопедии им. В.Д.Чаклина Росмедтехнологий"

Травма в армии
 вверх
 отправить
 поиск
 админ
 главная


Травма в армии
Последствия травмы Отправлено Серый 08 Ноябрь 2010, 16:46
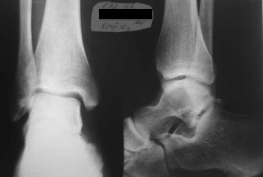
Здравствуйте, у меня вопрос.Меня зовут Сергей, мне 24 года. Сам я из г. Абакана Республики Хакасия.
Начну с того что проходил службу в армии с декабря 2008-декабрь 2009 года. Примерно в Июле 2009 года ударили по правой ноге в область голени. В армии этот случай хотел "замять" поэтому ходил с больной ногой. В сан части сказал что подвернул ногу. Как выяснилось после демобилизации (6 месяцев спустя) был перелом малой берцовой кости. Этот диагноз поставили в местном травмпункте, где сделали снимок голени. Снимок я прикрепил. Примерно через неделю после удара я заступал в караул с спрыгивал с кузова грузового автомобиля и видимо преземлился неудачно, т.к. сразу же упал на руки от резкой боли в правой ноге. После этого голеностоп еще больше начал болеть. К сожалению в сан часть я так и не обратился. Так и ходил хромал.Вот уже на протяжении года у меня дискомфорт при ходьбе (чувство натянутости в голеностопе), а также были ночью боли в голеностопном суставе. Появилось чувство деформированности стопы. Дома хожу в мягких тапочках. Очень быстро утомляюсь. Бегать не могу в походы не хожу хотя раньше занимался туризмом. Уже спустя больше 1 года и 2 месяца обратился в травматологическую клинику, где сделали снимок голеностопного сустава и поставили диагноз перелома заднего отростка таранной кости. Ничего не назначали для лечения, Затем я снова обратился в трав пункт нашего города сделали УЗИ и там мне поставили диагноз застарелого разрыва дельтовидной связки, и направили на операцию на ее подшитие, после осмотра глав врачом он сказал что тоже перелом в суставе бал и операцию делать не будут. Затем я уже ездил в город Новосибирск и обратился в областную больницу где поставили диагноз "Неконсолидированного перелома суставного отростка таранной кости и прописал лечение ФИзио таблетки "структум", "мовалис". (прикрепил листок). Контрольная явка через 3 месяца.Пролечился 1 месяц ушло чувство стянутости в голени, чему я рад, но теперь стали болеть связки в голеностопе, а также все равно что мурашки в области пятки, Что делать?

<  |  >

 

  • Сообщения о Последствия травмы
  • Также Серый
  • Связаться с автором
  • Ответить/комментировать

    Re: Травма в армии
    Alexander Chelnokov 09 Ноябрь 2010, 08:19
    История многословная, много лишнего. На сегодня нет диагноза. Необходимо сделать сравнительные рентгенограммы голеностопных суставов, стресс-снимки на стабильность вилки сустава, МРТ голеностопных суставов и стоп.
    [ Ответить/комментировать ]
    • Re: Травма в армии
      Отправитель: Серый 09 Ноябрь 2010, 18:36
      Я считаю что лучше много сказать, чем потом выяснять долгое время. Я постараюсь сделать что вы рекомендуете! Однако прикрепил еще результат узи.

      Кликните для загрузки файла DSC00543.JPG
      873KB (894511 bytes)

      [ Ответить/комментировать ]

     

    ( Ответить/комментировать )

    Powered by Zope  Squishdot Powered MedLink
    Посетитель: 15124
      "По форме правильно, а по существу - издевательство" В.И.Ленин
    ©2001-200124Patients Coordinator.
    [ Главная | Отправить сообщение | Поиск | Админ ]