вверх
отправить
поиск
админ
главная
|
артроз в таранно-пяточном |
 |
 |
 |
Отправлено Костя 09 Ноябрь 2010, 14:54
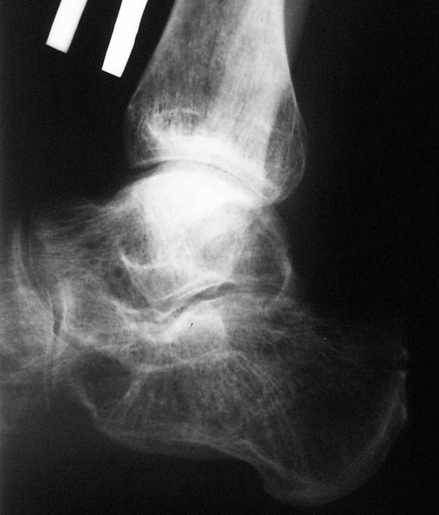
После перелома (вколоченный) пяточной кости без смещения развился артроз в таранно-пяточном суставе (посттравматический артроз). Хожу более менее нормально (то есть хромота не всегда, но присутствует). В зависимости от нагрузки если «перехожу» то есть достаточно много стою или хожу в течение дня, то к вечеру появляется боль. Разогнуть стопу больно, и также присутствует «стартовая» боль. Как правило, за ночь боль проходит. Сильного дискомфорта я не испытываю (так как стараюсь контролировать нагрузку), только когда перехожу (из-за работы), и в этот момент желание сделать операцию доминирует. Дистрофии икры нету. Перелом был год назад. Думаю пойти на артродез. Но боюсь оперативного вмешательства. То есть хочу узнать. Есть ли смысл в моей ситуации делать операцию или отложить "до последнего". И полечиться консервативно или это только убирает симптомы и рано или поздно операцию придётся сделать. Снимок выкладываю последний сделан 03.07.2010 если необходим актуальный снимок, напишите, сделаю, размещу.
<
|
>
|
|