вверх
отправить
поиск
админ
главная
|
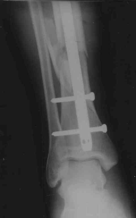
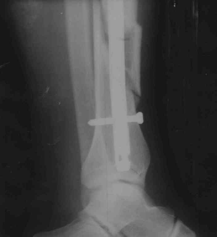
Перелом б/берцовой и малой берцовой кости в н/3 со смещением отломков |
 |
 |
 |
Отправлено Евгений 10 Январь 2011, 04:24
Нужна консультация по поводу консолидации отломков б/берцовой кости после операции с остеосинтезом, все ли срастается правильно, не нужна ли повтроная операция(отломок на рис 2)по поводу отломка всавшего между большой и малой берцовой костью, или он втанет на место или раствориться,а то ощущения будто он мешает при массаже голени(болит из-за него мышца, не помешает ли при ходьбе в дальнейшем)? 1.Так же вопрос есть по ФЛК врач сказал что колено тоже повреждено-разорваны связки не полностью по словам(удалял кровь из шва под коленкой. есть твердая припухлость снизу и с внешней стороны коленного сустава,так же при лежании на поврежденной внешней стороне колена появляется боль которая пропадает при изменении положения),проведена иммобилизация коленного сустава в туторе-5 недель, после снятие подвижность в суставе около 15% от здорового коленного сустава- какие делать процедуры, чтобы потом не делать еще и опарацию на колене? очень не хочется.Мне 31 год рост 180 вес 100 , операций и заболеваний не было до этого. Зараннее спасибо за советы).
<
|
>
|
|
Ответить/комментировать
|
Re: Перелом б/берцовой и малой берцовой кости в н/3 со смещением отломков
Евгений 10 Январь 2011, 19:12
|

Добавляю еще снимки, после операции прошел 1 месяц, снимков сразу после операции и до нее на руки мне не дали.
|
[
Ответить/комментировать ] |
Re: Перелом б/берцовой и малой берцовой кости в н/3 со смещением отломков
Alexander Chelnokov 16 Январь 2011, 14:56
|
По поводу перелома костей голени ничего предпринимать не нужно, все приемлемо. В сроке 2 мес. нужно посмотреть снимки и решить по нагрузке и необходимости удаления винта вверху.
Касательно проблем с коленным суставом - в любом случае сейчас надо восстановить амплитуду движений, лучше с участием методиста, хотя можно и самому.
После возврата к обычным нагрузкам - если появятся проблемы с коленом, то обратиться к специалисту по артроскопии. Сейчас обсуждать все возможные варианты проблем и их решений не имеет смысла.
|
[
Ответить/комментировать ] |
Re: Перелом б/берцовой и малой берцовой кости в н/3 со смещением отломков
Отправитель: Евгений 16 Январь 2011, 16:38
|
Спасибо за ответ. Только не совсем понял зачем так скоро надо удалять верхний винт, он там мне будет мешать ? Может тогда можно удалить и все другие железки через мясяц , а то врач сказал удалить можно только через 1 год, или удаление по частям правльней ?
|
[
Ответить/комментировать ]
|
Re: Перелом б/берцовой и малой берцовой кости в н/3 со смещением отломков
Отправитель: Alexander Chelnokov 16 Январь 2011, 20:55
|
Только не совсем понял зачем так скоро надо удалять
Это обязательно понимать не Вам, а курирующему Вас врачу.
Нужно этот винт удалять или нет, и когда, следует решать не сегодня, а в ходе дальнейшего наблюдения пациента. Если будут признаки активного костеобразования через 1 и 2 мес., то удалять этот винт не будет необходимости.
Нужно ли удалять весь фиксатор, и когда - тоже вопрос сегодня неактуальный. Сейчас важнее всего восстановить амплитуду движений в голеностопном суставе.
|
[
Ответить/комментировать ]
|
Re: Перелом б/берцовой и малой берцовой кости в н/3 со смещением отломков
Отправитель: Евгений 19 Январь 2011, 03:32
|
Спасибо за информацию. появятся новые снимки выложу на сайт
|
[
Ответить/комментировать ]
|
Контрольные снимки перелома через 3 месяца
Отправитель: Евгений 27 Февраль 2011, 20:52
|
Добрый день , выкладываю ренген после трех месяцев операции.Появились следующие вопросы:
1.Перелом кости во внутренней части своей по моему мнению не срастается и не сглаживается , из-за этого при разгибании стопы появляется ощущение что данная кость цепляет что-то внутри и начинают неметь большой и второй (следующий) палец на ноге , а в лодыжке боль на 5 минут, потом полностью проходит как и онемение.Надо ли что -то делать(принимать кальций например), или надо просто подождать ?
2.Врач сказал что можно ходить уже без трости(по возможности).Есть ли у меням такая возможность , так как боюсь своего веса 100кг, не до конца срощенного перелома и болей в коленном суставе и суставной щели в разных местах, хотя мышечный тонус думаю мне позволит ходить без опоры или все таки лучше подождать с полной нагрузкой?
http://s57.radikal.ru/i157/1102/97/09be20247150.jpg
http://i059.radikal.ru/1102/b6/db70c6c11c85.jpg
http://i039.radikal.ru/1102/6e/2a1c95116c4a.jpg
http://s010.radikal.ru/i313/1102/17/b5ad1aed7246.jpg
|
[
Ответить/комментировать ]
|
|
( Ответить/комментировать )
|
|