вверх
отправить
поиск
админ
главная
|
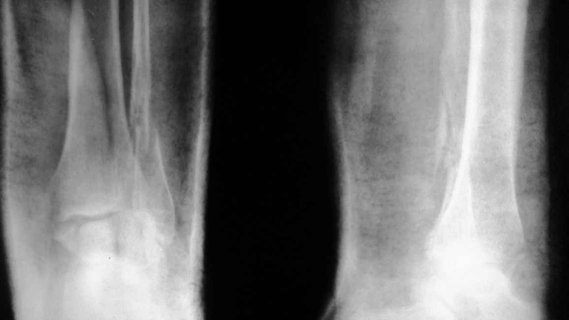
перелом внутренней лодыжки левой голени, левой м/берцовой кости с подвывихом стопы |
 |
 |
 |
Отправлено Милана 29 Январь 2011, 03:20
Уважаемые доктора!Мне срочно нужна Ваша консультация!Перелом оказался очень сложным,и, кажется упущено время.Всё ещё надеюсь на возможность консервативного лечения. 1 января подскользнулась и, упав, сломала ногу.В неотложке мне был наложен лангет.Живу в деревне, и в больницу добралась лишь25.01. Нога не беспокоила совсем.Но Р-грамма показала перелом внутренней лодыжки,м/берцовой кости с подвывихом стопы.Хирург выписал направление в вашу клинику на консультацию.Не представляю, как я смогу на костылях добраться к вам.Помогите пожалуйста хотя бы виртуальной консультацией!Снимки перешлю.Я в панике!
<
|
>
|
|
Ответить/комментировать
|
Re: перелом внутренней лодыжки левой голени, левой м/берцовой кости с подвывихом стопы
Alexander Chelnokov 30 Январь 2011, 19:55
|
Действительно, взаимоотношения в суставе требуют восстановления. Добраться к нам проблем не составляет, привозят не то что ходящих на костылях, а и лежачих. Бывает, за тысячи км.
Чтобы лишний раз не ездить, привозите с собой паспорт, полис ОМС (действительный!), карточку пенсионного страхования, общие анализы крови и мочи, ЭКГ, биохимическкие анализы (сахар, билирубин, ПТИ или МНО, общий белок, ост. азот), анаализ на гепатиты В и С, ВИЧ.
Положим бесплатно при наличии всех документов и направления.
Ул. Московская, 12. Пн-вт-ср-чт, 9-13 ч.
|
[
Ответить/комментировать ] |
Re: перелом внутренней лодыжки левой голени, левой м/берцовой кости с подвывихом стопы
Отправитель: Милана 31 Январь 2011, 13:40
|
Уважаемый Доктор!Я понимаю, что речь идёт о моём здоровье,но,к сожалению, действительно возникли огромные проблемы в настоящее время попасть к Вам на лечение!Возможен ли следующий вариант: сейчас я сращиваю переломы,а вправлять и лечить сустав обращусь к Вам чуть позже.Поверте, если бы не было достаточно оснований для такого решения, я бы не стала и спрашивать.Мне 45 лет, я уже большая девочка, всё осознаю.Вот пишу Вам, а сама плачу.Не отказывайте,умоляю!Помогите советом!
|
[
Ответить/комментировать ]
|
|
( Ответить/комментировать )
|
|