вверх
отправить
поиск
админ
главная
|
Кость так и не срастается |
 |
 |
 |
Отправлено Александр 30 Август 2011, 13:13 Новоуральск
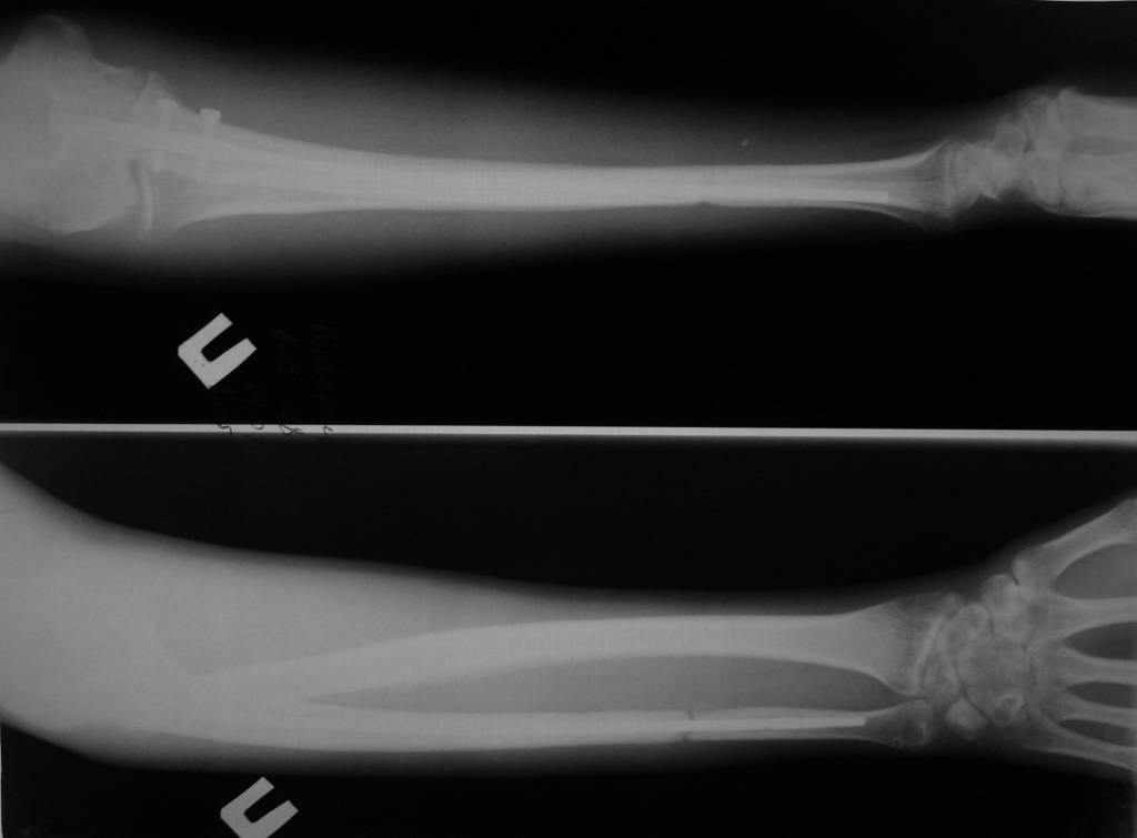
6 февраля 2011 года сломал локтевую кость со смещением. Поставили аппарат Илизарова. Вместо двух месяцев проносил четыре, срасталось медленно. Сняли, сказали разрабатывать и через 5 дней кость сместилась опять. 15 июня сделали вторую операцию, поставили дорогой стержень в кость, закрепили в области локтя на два шурупа. Перелом у меня в 1/3 ближе к кисти. Вторую часть кости одели на стержень, но не закрепляли. Также освежили концы костей, так как они зарубцевались и костномозговые каналы полностью закрылись.Месяц проносил лангету до плеча, потом сказали разрабатывать руку, но постепенно я начал чувствовать шевеление в месте перелома и щас чувствую.Щас опять хотят загипсовать уже всю руку на 2 месяца, но мне кажется что концы костей опять зарубцевались за 2 месяца зарастания "впустую" и даже в гипсе уже не срастется.По снимкам щель отчетливо видна. На руке вместе перелома нащупывается шишечка. Предположительно, что 1/3 кости, которая не прикручена к стержню, имеет хождение вдоль стержня.Кисти еще после аппарата Илизарова не поворачивается ладонью вверх и вниз. Имеет ход градусов 15 влево вправо и все.Что мне делать? Как еще восстановить руку? Еще одна операция? Исправит ли гипс на 2 месяца проблему? Мне 28 лет.
<
|
>
|
|
Ответить/комментировать
|
|
В цепочке более 10 сообщений.
Развернутыми отображаются только первые 10 сообщений. |
Re: Кость так и не срастается
Alexander Chelnokov 03 Сентябрь 2011, 16:16
|
По этому снимку ничего плохого не видно. Нужна и вторая проекция. Когда сделан снимок?
Фиксация стержнем в первую очередь должна обеспечить возможность разработки движений, поскольку гипсовая иммобилизация при этом не нужна.
Действительно, гипсовая повязка может усугубить трудности с движениями, не решив проблему со сращением.
Для того, чтобы предложить конкретный план выхода из этой ситуации, нужно более точное представление о проблеме - надо хотя бы увидеть свежие рентгенограммы всего предплечья в двух проекциях.
|
[
Ответить/комментировать ] |
|
|
Re: Кость так и не срастается
Alexander Chelnokov 04 Сентябрь 2011, 23:26
|
Вариантов действий несколько, 1)можно просто подождать (неизвестно сколько, и есть немалые шансы так и не дождаться),
2)можно наложить упрощенный аппарат на локтевую кость, чтобы сдавить поверх стержня,
3)стержень заменить на больший по диаметру, с возможностью компрессии,
4)заменить стержень на пластину с костной пластикой.
Оптимальны варианты 2 или 3. Наверно, есть смысл приехать к нам на очную консультацию.
|
[
Ответить/комментировать ] |
|
( Ответить/комментировать )
|
|