вверх
отправить
поиск
админ
главная
|
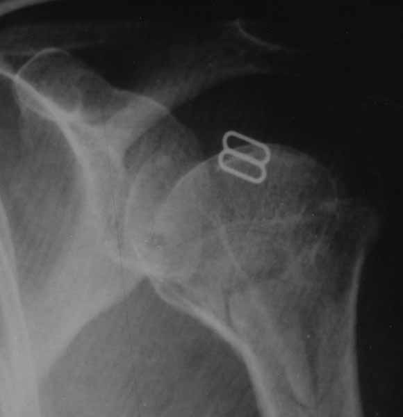
DS: Закрытый оскольчатый перелом шейки и головки левого плеча с удовлетворительным стоянием обломков |
 |
 |
 |
Отправлено Юрий 29 Октябрь 2011, 22:07
Помогите с выбором метода лечения.

Женщина 42 лет неделю назад упала на катке. В течение часа была доставлена в травмпункт где сделан R-снимки и наложен гипс от фаланг до середины спины. На след.день в траматологии снова R-снимки уже в гипсе и поставлен приведенный в теме диагноз. Через 5 дней еще R-снимки и осмотр по результатам поверх гипса наложена повязка Дезо. Сканированию поддается только приведенный снимок. По другой проекции сказано что стояние идеальное. Показано консерв.лечение по причине скученности и большого кол-ва осколков. Отправлены отдыхать 3 недели. Больная неделю не может спать лежа из-за ноющей тупой боли и гипс давит на живот. Сидя боль меньше но спать неудобно. На вопрос о возможности замены гипсовой лангетки на современный пластиковый "гипс" ответ врача отрицательный.Можно ли на основании приведенного снимка сделать заключение о правильности выбора метода консервативного лечения?
<
|
>
|
|
Ответить/комментировать
|
Re: DS: Закрытый оскольчатый перелом шейки и головки левого плеча с удовлетворительным стоянием обломков
Alexander Chelnokov 30 Октябрь 2011, 02:35
|
Сканировать снимки не надо, лучше фотографировать напросвет (хотя бы на фоне экрана).
В этом случае надо сделать еще и КТ. Очень возможно, что тут есть проблемы, которые удастся решить операцией.
Замена гипсовой повязки на скотчкаст бессмысленна.
|
[
Ответить/комментировать ] |
Re: DS: Закрытый оскольчатый перелом шейки и головки левого плеча с удовлетворительным стоянием обломков
Отправитель: Юрий 04 Ноябрь 2011, 14:52
|
Добрый день. Alexander Chelnokov - большое спасибо за ответ.
На операцию мы пока не решились. И вот почему (моя компиляция мнений нескольких специалистов):
1. Вывиха при переломе нет, плечевой сустав хорошо поддается разработке после сращивания.
2. Операция очень травматична, обязательно образование рубцов на суставе. Пористая часть головки правильной формы не обязательна в будущем, т.к. структура её все равно не восстановится.
3. Оперированный сустав в будущем ведет себя хуже чем не оперированный.
4. Согласно данным Оксфордского медицинского справочника данный тип перелома (без вывиха) 60%-85% корреспондентов рекомендуют лечить консервативно.
5. В случае ошибки при операции последствия слишком тяжелые.
6. Боли артритного характера будут в любом случае.
Так же, есть мнение не менее высокопрофессиональных хирургов-ортопедов о том, что без операции подвижность возможно будет в большой степени ограничена и в будущем преследовать боли.
Буду признателен за любые комментарии.
С уважением, Юрий
|
[
Ответить/комментировать ]
|
Re: DS: Закрытый оскольчатый перелом шейки и головки левого плеча с удовлетворительным стоянием обломков
Отправитель: Юрий 09 Ноябрь 2011, 12:44
|
Уважаемый Alexander Chelnokov!
Прошу Вас посмотреть результаты КТ (сделана 07 ноября; травма была 23 октября), и если возможно, высказать Ваше мнение.
Спасибо заранее,
С уважением, Юрий.
KT500.JPG
160KB (164657 bytes)
|
[
Ответить/комментировать ]
|
Re: DS: Закрытый оскольчатый перелом шейки и головки левого плеча с удовлетворительным стоянием обломков
Отправитель: Alexander Chelnokov 11 Ноябрь 2011, 23:22
|
Вальгусный вколоченный перелом. Смещение некритичное, жить можно. Оперировать большой необходимости нет. Достаточно косыночной повязки на 4 недели.
|
[
Ответить/комментировать ]
|
|
( Ответить/комментировать )
|
|