Добро пожаловать в Форум для пациентов
Взрослая ортопедия Детская ортопедия Последствия травмы Травма

Федеральное государственное учреждение "Уральский научно-исследовательский институт травматологии и ортопедии им. В.Д.Чаклина Росмедтехнологий"

Закрытый перелом лодыжек левой голени
 вверх
 отправить
 поиск
 админ
 главная


Закрытый перелом лодыжек левой голени
Травма Отправлено Фатима Смелянец 07 Декабрь 2011, 13:14 СгМА
Уважаемые коллеги,Сейчас вследствие возникновения сильных болей (1 год и три месяца после получения травмы) в левой лодыжке, ищу место для проведения операции, чтобы устранить последствия травмы. Очень хотелось бы услышать Ваши рекомендации о том, что мне делать с лодыжкой, чтобы устранить боль и сохранить функциональность?
Краткое описание болезни.
02.август.2010 г. - Травма получена в результате ДТП. Пациентка была доставлена в Городскую больницу №4. Диагноз при поступлении: закрытый оскольчатый внутрисуставной перелом лучевой кости левого предплечья в типичном месте со смещением; закрытый прелом обеих лодыжек левой голени со смещением и разрывом ДМС, полный вывих стопы; закрытый перелом наружного мыщелка большеберцовой кости левой голени без смещения. Была произведена репозиция отломков с наложением гипсовых повязок.

09.август.2010 г. - На контрольных рентгенограммах определялось смещение отломков лодыжек левой голени. Показана операция.
11.август.2010 г. - Пациентка переведена в Городскую Больницу №2.
13.август.2010 г. - Проведена операция: остеосинтез болтом-стяжкой Крупко наружного мыщелка большеберцовой кости левой голени винтом; открытая репозиция внутренней лодыжки, синтез спицами (предварительно в ходе операции была безуспешно произведена попытка фиксации отломков винтами, и как следствие – остеосинтез спицами).

27.август.2010 г. - Снятие швов.

20.сентябрь.2010 г. - Удаление спиц.

20.октябрь.2010 г. - Была произведена попытка устранения вывиха стопы под местной анестезией.

11.ноябрь.2010 г. - Снятие гипсовой повязки.

20.марта.2011 г. - Удаление винта-стяжки Крупко.

С 27.август.2010 г. по настоящее время проводился ряд реабилитационных мероприятий:

1) ЛФК – 6 курсов;
2) Массаж;
3) Физиолечение: магнит, лазер, уз с хондроксидом, фонофорез, электрофорез, парафинотерапия, миостимуляция и пр.
4) Внутрисуставные инъекции «Синокром 2% 2мл»: в количестве 5 инъекций.
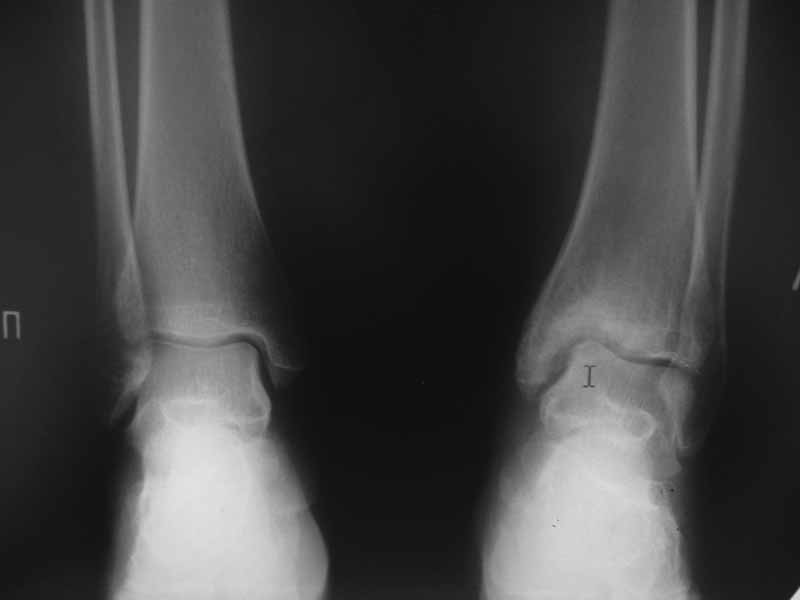
Диагноз на сегодняшний день на основании рентгенограмм, КТ (23.ноябрь.2011 г.), МРТ (06.сентябрь. 2011 г.): сросшийся перелом обеих лодыжек левой голени с формированием латерального подвывиха таранной кости. Неоартроз в суставе медиальной лодыжки с признаками асептического остеонекроза эпиметафиза большеберцовой кости и медиального суставного края таранной кости.

<  |  >

 

  • Сообщения о Травма
  • Также Фатима Смелянец
  • Связаться с автором
  • Ответить/комментировать

    Re: Закрытый перелом лодыжек левой голени
    Alexander Chelnokov 09 Декабрь 2011, 00:30
    Сустав пострадал необратимо. "Ряд реабилитационных мероприятий" не решит проблему. Сустав надо замыкать, т.е делать артродез.
    Можно подумать об этндопротезировании, но тут преимуществ перед артродезом немного будет, это не тазобедренный сустав.
    Артродез можно сделать практически в любом травматологическом отделении.
    [ Ответить/комментировать ]
    • Re: Закрытый перелом лодыжек левой голени
      Отправитель: Fatima 09 Декабрь 2011, 11:38
      Уважаемый Александр,

      Большое Вам спасибо за Вашу рекомендацию и Ваше время,

      С Уважением,

      Фатима

      [ Ответить/комментировать ]

     

    ( Ответить/комментировать )

    Powered by Zope  Squishdot Powered MedLink
    Посетитель: 00091
      "По форме правильно, а по существу - издевательство" В.И.Ленин
    ©2001-200124Patients Coordinator.
    [ Главная | Отправить сообщение | Поиск | Админ ]