Добро пожаловать в Форум для пациентов
Взрослая ортопедия Детская ортопедия Последствия травмы Травма

Федеральное государственное учреждение "Уральский научно-исследовательский институт травматологии и ортопедии им. В.Д.Чаклина Росмедтехнологий"

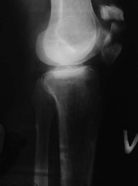
разбита вдребезги надколенная кость
 вверх
 отправить
 поиск
 админ
 главная


разбита вдребезги надколенная кость
Травма Отправлено Лада 29 Март 2012, 17:50
Вопрос один: что можно сделать технически?
мужчина. 69 лет. 6 осколков, 4-5 из них очень мелкие.

<  |  >

 

  • Сообщения о Травма
  • Также Лада
  • Связаться с автором
  • Ответить/комментировать

    Re: разбита вдребезги надколенная кость
    Сергей 03 Апрель 2012, 12:34
    СИНТЕЗ!!!
    [ Ответить/комментировать ]

    ( Ответить/комментировать )

    Powered by Zope  Squishdot Powered MedLink
    Посетитель: 00052
      "По форме правильно, а по существу - издевательство" В.И.Ленин
    ©2001-200124Patients Coordinator.
    [ Главная | Отправить сообщение | Поиск | Админ ]