Добро пожаловать в Форум для пациентов
Взрослая ортопедия Детская ортопедия Последствия травмы Травма

Федеральное государственное учреждение "Уральский научно-исследовательский институт травматологии и ортопедии им. В.Д.Чаклина Росмедтехнологий"

эндопротезирование голеностопного сустава
 вверх
 отправить
 поиск
 админ
 главная


эндопротезирование голеностопного сустава
Последствия травмы Отправлено Анна Ефимовна 07 Октябрь 2012, 17:29
Доктора! Посоветуйте, пожалуйста, что лучше сделать. Артродезирование или эндопротезирование голеностопного сустава. У меня артроз в суставе после перелома 8 лет назад.
Мне сейчас 55, работаю, но боли мешают ходить. Если у кого были такие операции напишите пожалуйста!
А. Романова

<  |  >

 

  • Сообщения о Последствия травмы
  • Также Анна Ефимовна
  • Связаться с автором
  • Ответить/комментировать

    В цепочке более 10 сообщений. Развернутыми отображаются только первые 10 сообщений.
    Re: эндопротезирование голеностопного сустава
    Alexander Chelnokov 08 Октябрь 2012, 21:49
    Без снимков обсуждение абстрактное. В общем можно сказать, что артродез - это вполне решающая проблему операция, и ее сделать гораздо проще в организационном отношении.
    [ Ответить/комментировать ]
    Re: эндопротезирование голеностопного сустава
    владислав распутин 11 Октябрь 2012, 19:48
    здравствуйте.обращаюсь с огромной надеждой на помощь.мне 36.был отрыв стопы и перелом таранной кости.стопа приживается,а суставу прогнозируют артродез,сейчас нахожусь в стационаре,дело к выписке на случай все-таки замыкания сустава возможно ли избежать этого и сделать эндопротезирование,т.к.для меня блокировка стопы подобно смерти.снимки пока отправить не могу,но обязательно смогу!заранее спасибо,
    [ Ответить/комментировать ]
    Re: эндопротезирование голеностопного сустава
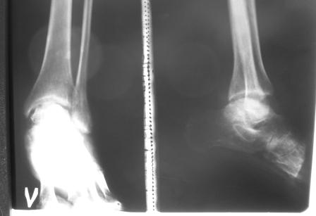
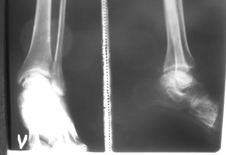
    мои снимки 14 Октябрь 2012, 12:51
    мои снимки
    Кликните для загрузки файла Копия P1000367.JPG
    27KB (27901 bytes)

    [ Ответить/комментировать ]
    Re: эндопротезирование голеностопного сустава
    А.Романова 14 Октябрь 2012, 12:53
    Посмотрите, пожалуйста, мои снимки.
    Кликните для загрузки файла Копия P1000367.JPG
    27KB (27901 bytes)

    [ Ответить/комментировать ]
    Re: эндопротезирование голеностопного сустава
    Ирина 14 Октябрь 2012, 16:04
    Решиться на операцию очень сложно. Я сейчас думаю, убирать или не убирать стержень из бедра... Увидела обсуждение и хочу о своем суставе рассказать. Был послетравматический артроз голеностопного сустава. Не сильно болел, но после того как набрала вес боли резко усилились. И даже снижение веса не помогло. Ходить не могла. Обратилась в свою больницу по месту жительства.
    Травматологи предложили закрыть сустав. Консульторовалась в разных клиниках. В том числе и в Израиле. Мнения разделись. В центрах, где много занимаются операциями на стопе, рекомендовали эндопротез. Говорили про риск, что нельзя вес набирать. ГОд назад съездила на операцию в Москву. Оперировал Коробушкин Г. Операция прошла успешно. Через полтора месяца ходила и на ступала. Стопа гнется. Не болит.



    [ Ответить/комментировать ]
    Re: эндопротезирование голеностопного сустава
    Свердлов Алексей Евгеньевич 29 Октябрь 2012, 23:06
    Эндопротезирование голеностопного сустава проводится в институте. Показания необходимо решить на очной консультации.Можете позвонить непосредственно мне-Свердлову Алексею Евгеньевичу 383-24-60 и решить вопрос времени. Сошлитесь на обсуждение сайта.
    [ Ответить/комментировать ]

    ( Ответить/комментировать )

    Powered by Zope  Squishdot Powered MedLink
    Посетитель: 00091
      "По форме правильно, а по существу - издевательство" В.И.Ленин
    ©2001-200124Patients Coordinator.
    [ Главная | Отправить сообщение | Поиск | Админ ]