вверх
отправить
поиск
админ
главная
|
Отправлено ЛИДИЯ 27 Октябрь 2012, 01:06
Оперирована по поводу перипротезного перелома н/з бедренной кости Оперирована по поводу перипротезного перелома н/з бедренной кости в ноябре 2010г.Диагноз:закрытый оскольчатый перелом бедренной кости в н/3 со смещением отломков, состояний после эндопротезирования коленного сустава от 2009г.Операция:артропластика коленного сустава, остеосинтез бедренной кости пластиной с угловой стабильностью.В июле операция по поводу несросшегося перелома н/3 бедренной кости,перелом пластины:взятие костного аутотрансплантата из гребня подвздошной кости, удаление пластины, костная аутопластика, остеосинтез бедренной кости пластиной с угловой стабильностью.На контрольном снимке от октября 2012г.- несросшийся перелом бедренной кости, ложный сустав.Что еще можно предпринять? Существуют ли методы лечения, кроме операционных? Поможет ли в данном случае гравитационная терапия7 Или ждать когда все-таки произойдет сращение или еще раз сломается пластина?И произойдет ли сращение вообще? Помогите советом.
<
|
>
|
|
Ответить/комментировать
|
Re: НЕСРАCТАЮЩИЙСЯ ПЕРЕЛОМ
Alexander Chelnokov 31 Октябрь 2012, 21:38
|
Надо удалять пластину и либо вновь синтезировать пластиной, либо делать остеосинтез внутрикостным стержнем. Мы предпочли бы второй вариант. Стержень лучше вводить сверху. Запереть получается очень надежно. В отличие от пластины. стержень можно динамизировать, то есть за счет введения винта вверху в овальное отверстие можно оставить возможность для сближения фрагментов.

|
[
Ответить/комментировать ] |
Re: НЕСРАCТАЮЩИЙСЯ ПЕРЕЛОМ
Отправитель: Лидия 02 Ноябрь 2014, 22:43
|

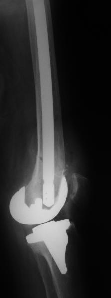
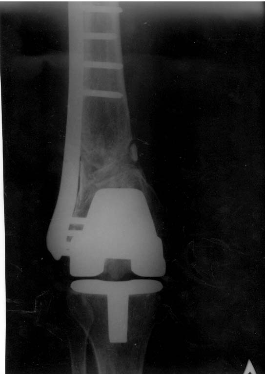
Добрый день. Оперировать не рекомендовали. После 3-х лет после операции- вот такая картина. Прокомментируйте пожалуйста снимки.
|
[
Ответить/комментировать ]
|
Re: НЕСРАCТАЮЩИЙСЯ ПЕРЕЛОМ
Отправитель: Alexander Chelnokov 06 Ноябрь 2014, 20:49
|
Снимок только в одной проекции, для более полной оценки ситуации надо и фас увидеть. И в первую очередь узнать о клиническом статусе - жалобы, ось, длина, амплитуда движений в колене, опоросопособность, потребность в дополнительной опоре?
Вопрос задавали 2 года назад.
Что значит "оперировать не рекомендовали"? Как раз рекомендовали (см. выше). Как видно, эти рекомендации были проигнорированы.
Если сейчас пациент всем доволен - можно только порадоваться.
Если достигнутое на сегодня чем-то не устраивает - есть смысл попросить комментарии в первую очередь у тех врачей, чьим рекомендациям пациент следовал. Интересно, является ли достигнутое благодаря этому "оперировать не рекомендовали" именно тем, к чему стремились.
|
[
Ответить/комментировать ]
|
Re: НЕСРАCТАЮЩИЙСЯ ПЕРЕЛОМ
Отправитель: Лидия 07 Ноябрь 2014, 13:14
|
Добрый день.
В предыдущем сообщении к сожалению не удалось прикрепипь все снимки.Сейчас это исправляю.Высылаю все снимки в хронологии.
Жалобы следующие:
1.дискомфорт в области крепления пластины ( нужно найти определенное положение, иначе ощущается боль), 2.укорочения конечности в общем не ощущается,
3.колено в суставе полностью не сгибается, но котрактура была еще и до операции по эндопротезированию сустава, сгибалось только на 90 град. После перелома сгибается еще меньше.( Ну это уже не самая большая проблема по сравнению с несрастанием),
4.Хожу с дополнительной опорой на трость, полной нагрузки не даю, т.к. опасаюсь повторного перелома пластины.
По-поводу "оперировать не рекомендовали", имела ввиду своих лечащих врачей, говорили, что гарантии никакой дать не могут на сращение перелома."Ходишь и ходи" Будут проблемы - будем дальше думать.
Прошу Вас прокомментировать динамику. Почему пластина опустилась? И наблюдается ли все-таки сращение?
Ваши рекомендации.
Спасибо.
2014 -2.jpg
798KB (817936 bytes)
|
[
Ответить/комментировать ]
|
|
( Ответить/комментировать )
|
|