Добро пожаловать в Форум для пациентов
Взрослая ортопедия Детская ортопедия Последствия травмы Травма

Федеральное государственное учреждение "Уральский научно-исследовательский институт травматологии и ортопедии им. В.Д.Чаклина Росмедтехнологий"

Открытый перелом обеих костей н/3 левой голени
 вверх
 отправить
 поиск
 админ
 главная


Открытый перелом обеих костей н/3 левой голени
Травма Отправлено Ярослав 19 Январь 2013, 23:26
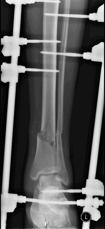
Открытый перелом обеих костей н/3 левой голени, типа Gustillo 2a, повреждение сухожилий разгибателей пальцев стопы.Обстоятельства ранения - диск пилы по дереву. Пациент 22 года.
Общемозговые симптомы купированы.
Послеоперационная рана зажила первичным натяжением, операция сделана 01.01.2013. Наложен АНФ.

Расскажите какие варианты далее возможны, обращались за консультацией к различным травматологам и слышали различные же варианты, из больницы меня выписали и сказали на следующей неделе госпитализироваться повторно.

<  |  >

 

  • Сообщения о Травма
  • Также Ярослав
  • Связаться с автором
  • Ответить/комментировать

    Re: Открытый перелом обеих костей н/3 левой голени
    Alexander Chelnokov 25 Январь 2013, 11:11
    Что за "общемозговая симптоматика" при повреждении голени дисковой пилой?
    Если уже "слышали различные варианты" - перечислите их, чтобы не повторяться.
    В любом случае придется выбирать из того, что предложат в том уреждении, где будут заниматься пациентом. Где развиваются события?
    [ Ответить/комментировать ]

    ( Ответить/комментировать )

    Powered by Zope  Squishdot Powered MedLink
    Посетитель: 00080
      "По форме правильно, а по существу - издевательство" В.И.Ленин
    ©2001-200124Patients Coordinator.
    [ Главная | Отправить сообщение | Поиск | Админ ]