Добро пожаловать в Форум для пациентов
Взрослая ортопедия Детская ортопедия Последствия травмы Травма

Федеральное государственное учреждение "Уральский научно-исследовательский институт травматологии и ортопедии им. В.Д.Чаклина Росмедтехнологий"

Несращение большеберцовой кости
 вверх
 отправить
 поиск
 админ
 главная


Несращение большеберцовой кости
Травма Отправлено Дмитрий 15 Июль 2013, 19:12 ГП № 12
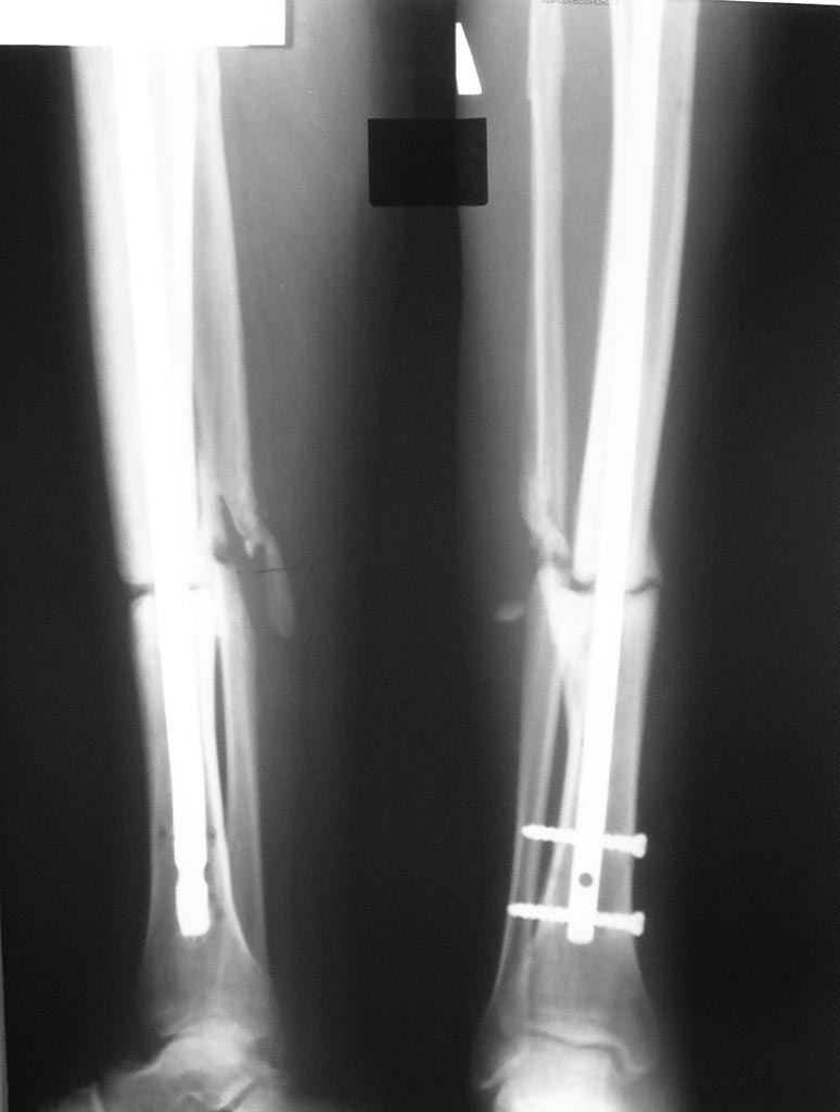
В январе 2013 г упал с высоты на производстве. В январе-феврале выполнен остеосинтез бедра и обеих голеней.
В настоящий момент хожу с полной опорой на ноги, боли после длительной физической нагрузки. На контрольной Р-грамме несращение голени слева. Предлагают две операции - первая удаление штифта и шурупов, поставить пластину с донорской костью из таза. Вторая - удалить нижние винты. Но я беспокоюсь, что штифт пробъёт кость. Что посоветуете.

<  |  >

 

  • Сообщения о Травма
  • Также Дмитрий
  • Связаться с автором
  • Ответить/комментировать

    Re: Несращение большеберцовой кости
    Alexander Chelnokov 19 Июль 2013, 01:13
    Желательно внятно указать все даты. Когда сделан остеосинтез, когда сделан этот снимок.
    Вообще, если к полугоду нет сращения, надо делать реостеосинтез с рассверливанием. То есть менять стержень на больший по диаметру. Ничего из таза брать не надо. Вариант с пластиной - более трудоемкий, длительный и рискованный. Есть и много других вариантов.
    Лучше приехать на очную консультацию (Московская, 12).

    [ Ответить/комментировать ]

    ( Ответить/комментировать )

    Powered by Zope  Squishdot Powered MedLink
    Посетитель: 00041
      "По форме правильно, а по существу - издевательство" В.И.Ленин
    ©2001-200124Patients Coordinator.
    [ Главная | Отправить сообщение | Поиск | Админ ]