Добро пожаловать в Форум для пациентов
Взрослая ортопедия Детская ортопедия Последствия травмы Травма

Федеральное государственное учреждение "Уральский научно-исследовательский институт травматологии и ортопедии им. В.Д.Чаклина Росмедтехнологий"

Перелом ноги
 вверх
 отправить
 поиск
 админ
 главная


Перелом ноги
Травма Отправлено Отто 03 Декабрь 2013, 14:37 Сухумская республиканская больница
Добрый день,Требуется адекватная консультация специалистов по поводу травмы стопы.
Женщина, возраст 55 лет.,вес 60кг.11.11.13 Падение с высоты 3х метров на ногу. сильная гематома на внутренней и внешней поверхности стопы. При первичном осмотре в республиканской больнице (г.Сухум) установлен диагноз: ушиб. Пациент отпущен домой.28.11.13 Сильные боли в течение двух недель.Сделан повторный рентген. Гематома спала, но полностью не рассосалась, боли уменьшились. Вторичный осмотр в военном госпитале (г.Агудзера).Диагноз: Осколочный перелом пятки со смещением.Лечение: Наложен гипс.Снимки прилагаю. Прошу помощь, по возможности, определить точность диагноза и лечения. Спасибо.





<  |  >

 

  • Сообщения о Травма
  • Также Отто
  • Связаться с автором
  • Ответить/комментировать

    Re: Перелом ноги
    Отто 04 Декабрь 2013, 14:37
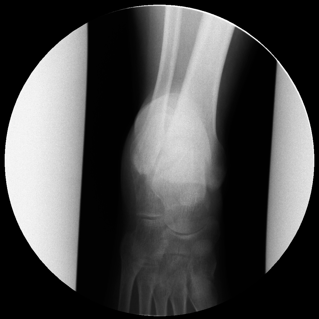
    Снимок №1
    Кликните для загрузки файла 3.jpg
    185KB (189465 bytes)

    [ Ответить/комментировать ]
    Re: Перелом ноги
    Отто 04 Декабрь 2013, 14:39
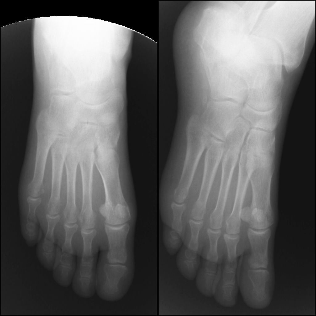
    Снимок №2
    Кликните для загрузки файла 2.jpg
    219KB (224388 bytes)

    [ Ответить/комментировать ]
    Re: Перелом ноги
    Отто 04 Декабрь 2013, 14:42
    Снимок №3
    Кликните для загрузки файла 1.jpg
    301KB (308471 bytes)

    [ Ответить/комментировать ]
    Re: Перелом ноги
    Отто 04 Декабрь 2013, 14:45
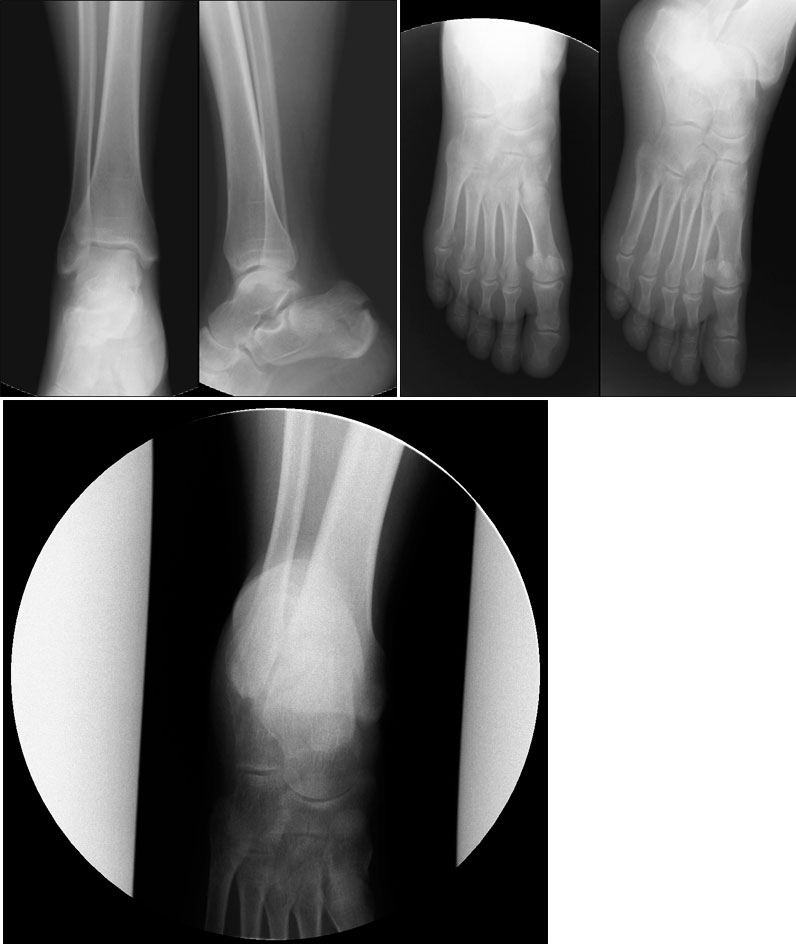
    Снимок 1,2,3.
    Кликните для загрузки файла ALL.jpg
    71KB (73059 bytes)

    [ Ответить/комментировать ]
    Re: Перелом ноги
    Alexander Chelnokov 04 Январь 2014, 20:53
    Перелом пятки. Если есть возможность сделать малоинвазивный остоетсоинтез - то сделать, если нет - можно и консервативное, результат должен быть удовлетворительный.
    [ Ответить/комментировать ]

    ( Ответить/комментировать )

    Powered by Zope  Squishdot Powered MedLink
    Посетитель: 00030
      "По форме правильно, а по существу - издевательство" В.И.Ленин
    ©2001-200124Patients Coordinator.
    [ Главная | Отправить сообщение | Поиск | Админ ]