Добро пожаловать в Форум для пациентов
Взрослая ортопедия Детская ортопедия Последствия травмы Травма

Федеральное государственное учреждение "Уральский научно-исследовательский институт травматологии и ортопедии им. В.Д.Чаклина Росмедтехнологий"

перелом лодыжки
 вверх
 отправить
 поиск
 админ
 главная


перелом лодыжки
Травма Отправлено ольга 04 Апрель 2014, 11:45
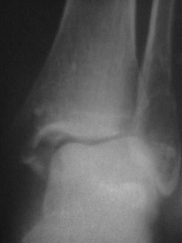
1 февраля был перелом обеих лодыжек. 5 марта гипс сняли.
после снятия прошел месяц . так как я плохо хожу врач пересмотрел снимки и сделал вывод что остался подвывих.и больще ни каких коментариев. кроме как назначили магнит. вот у меня вопрос - не нужна ли операция или возможно все таки лечение и востановление.

<  |  >

 

  • Сообщения о Травма
  • Также ольга
  • Связаться с автором
  • Ответить/комментировать

    Powered by Zope  Squishdot Powered MedLink
    Посетитель: 00532
      "По форме правильно, а по существу - издевательство" В.И.Ленин
    ©2001-200124Patients Coordinator.
    [ Главная | Отправить сообщение | Поиск | Админ ]