Добро пожаловать в Форум для пациентов
Взрослая ортопедия Детская ортопедия Последствия травмы Травма

Федеральное государственное учреждение "Уральский научно-исследовательский институт травматологии и ортопедии им. В.Д.Чаклина Росмедтехнологий"

Перелом лодыжки подскажите что делать!
 вверх
 отправить
 поиск
 админ
 главная


Перелом лодыжки подскажите что делать!
Травма Отправлено Елена 26 Апрель 2016, 15:22
Здравствуйте!
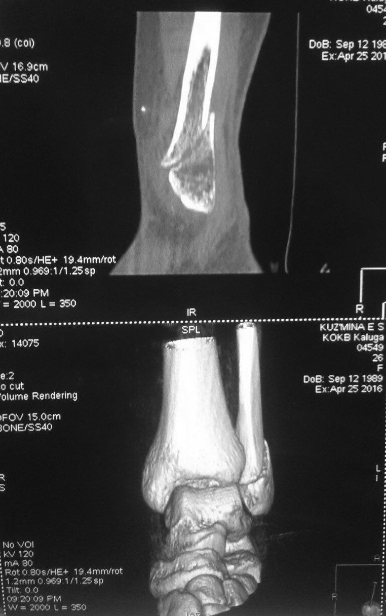
Очень нужен совет,Девушка 27 лет, 19 февраля 2016 года получила перелом н\лодыжки со смещением и надрывом дельтовидной связки.
Сделали репозицию, загипсовали. 30 марта сделали рентген и сняли гипс, не смотря на то что в заключении врача рентгенолога было написано "костной мозоли не выявлено". Врач сказал давать потихоньку нагрузку и назначил физиопроцедуры (лфк и лазер). 20 апреля пришла на прием и попросила проверить ногу еще раз, т.к. поднималась температура и очень болела нога. Отправили на СКТ(снимки прилагаю) Врач посмотрев их сказал что ждем 12 мая еще раз придешь на прием посмотрим, прописал таблетки Осталон и опять физиопроцедуры (грязи и электрофорез с кальце-хлором).Сейчас хожу с палочкой и в фиксирующей повязке (так нога меньше отекает за день).
Подскажите, может, имеет смысл обратиться к другому врачу? Т.к. там где делали СКТ 3 раза спросили ходила ли я вообще в гипсе.

<  |  >

 

  • Сообщения о Травма
  • Также Елена
  • Связаться с автором
  • Ответить/комментировать

    Powered by Zope  Squishdot Powered MedLink
    Посетитель: 00104
      "По форме правильно, а по существу - издевательство" В.И.Ленин
    ©2001-200124Patients Coordinator.
    [ Главная | Отправить сообщение | Поиск | Админ ]