Добро пожаловать в Форум для пациентов
Взрослая ортопедия Детская ортопедия Последствия травмы Травма

Федеральное государственное учреждение "Уральский научно-исследовательский институт травматологии и ортопедии им. В.Д.Чаклина Росмедтехнологий"

Перелом локтевой кости левой руки со смещением
 вверх
 отправить
 поиск
 админ
 главная


Перелом локтевой кости левой руки со смещением
Травма Отправлено Павел А. 27 Июнь 2017, 14:34
Добрый день! нужен совет отечественных сохранителей здоровья по выбору оптимального варианта лечения.
Кратко: Не по нашей вине попали в небольшую аварию на мотоцикле во Вьетнаме(здесь сейчас и находимся). Обошли пол дюжины разных хирургов в разных клиниках, и комментарии очень противоречивые.

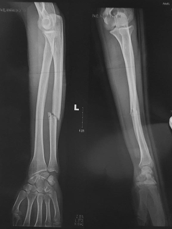
Перелом локтевой кости левой руки со смещением(снимки прилагаю).
Список того, что мы услышали на вопрос о лучшем лечении:

1)ничего не делать, гипса достаточно, срастётся через 2-3 месяца, моторика и функции руки полностью восстановятся через 1 год;

2)нужна операция, надрез и установка пластин, которые потом останутся навсегда,но это не страшно(т.к. если я не сделаю операцию, то не смогу спустя год нормально крутить в стороны сжатым кулаком);

3)нужна операция, надрез и установка металл. скоб, которые потом снимут через 1-2 месяца;

4)нужна операция, с применением биодеградируемых винтов, которые по мере срастания кости сами рассасываются бесследно и без последствий (по срокам не сказали);

5)нужна операция, 6-8 дырок и что-то типа аппарата Илизарова, на 2 месяца, потом аппарат снимают и накладывают открытый гипс ещё на 2 месяца;

Мне важно, чтобы я смог заниматься физкультурой(средние нагрузки), плаванием, скалолазанием после восстановления.

<  |  >

 

  • Сообщения о Травма
  • Также Павел А.
  • Связаться с автором
  • Ответить/комментировать

    Re: Перелом локтевой кости левой руки со смещением
    Alexander Chelnokov 28 Июнь 2017, 13:01
    Вам уже ответили на https://forums.rusmedserv.com/showthread.php?t=405680
    [ Ответить/комментировать ]

    ( Ответить/комментировать )

    Powered by Zope  Squishdot Powered MedLink
    Посетитель: 00035
      "По форме правильно, а по существу - издевательство" В.И.Ленин
    ©2001-200124Patients Coordinator.
    [ Главная | Отправить сообщение | Поиск | Админ ]