Добро пожаловать в Форум для пациентов
Взрослая ортопедия Детская ортопедия Последствия травмы Травма

Федеральное государственное учреждение "Уральский научно-исследовательский институт травматологии и ортопедии им. В.Д.Чаклина Росмедтехнологий"

перелом плеча, состояние после металлосинтеза
 вверх
 отправить
 поиск
 админ
 главная


перелом плеча, состояние после металлосинтеза
Последствия травмы Отправлено Ольга 25 Июль 2017, 03:12
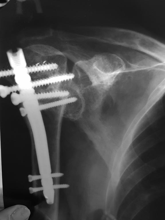
Здравствуйте,больная - женщина 73 года. В ноябре 2017 года оскольчатый закрытый перелом правого плеча.
Была проведена операция, поставлен мет. стержень. Рука поднимается на 25 градусов. При любом шевелении боль. Травматолог уверяет, что все нормально и это просто плексит, но не верится. Повторной операции для замены сустава боимся по причине аллергии на многие медикаменты, отягощенной бронхиальной астмой, так же диагностированы энцефалопатия и сосудистый паркинсонизм. Возможно ли облегчение состояния без хир. вмешательства или малоинвазивным способом. Женщина адекватна, контактна. Спасибо

<  |  >

 

  • Сообщения о Последствия травмы
  • Также Ольга
  • Связаться с автором
  • Ответить/комментировать

    Re: перелом плеча, состояние после металлосинтеза
    Alexander Chelnokov 25 Июль 2017, 17:08
    Самое доступное, что можно сделать, и что хоть как-то улучшит ситуацию - надо убрать стержень. Он выстоит, и при движениях присходит его соудаарение с акромионом. Минимум два винта выстоят из головки и травмируют суставную поверхность, препятствуют движениям.
    По одной проекции полной картины не составить. Надо сделать снимки в других проекциях, а лучше КТ. Можно уже после удаления. Возможно, появятся какие-то еще предложения.
    [ Ответить/комментировать ]

    ( Ответить/комментировать )

    Powered by Zope  Squishdot Powered MedLink
    Посетитель: 00061
      "По форме правильно, а по существу - издевательство" В.И.Ленин
    ©2001-200124Patients Coordinator.
    [ Главная | Отправить сообщение | Поиск | Админ ]