Добро пожаловать в Форум для пациентов
Взрослая ортопедия Детская ортопедия Последствия травмы Травма

Федеральное государственное учреждение "Уральский научно-исследовательский институт травматологии и ортопедии им. В.Д.Чаклина Росмедтехнологий"

остеосинтез костей таза, удалять ли конструкции?
 вверх
 отправить
 поиск
 админ
 главная


остеосинтез костей таза, удалять ли конструкции?
Последствия травмы Отправлено Наталья 07 Август 2017, 23:30
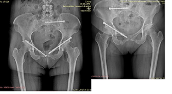
Доброго времени суток! Сочетанная травма в результате ДТП от 15.12.16., закрытая травма таза с ротационно-нестабильным повреждением тазового кольца, переломы обеих лонных, седалищных костей, трансфораминальный перелом боковой массы крестца слева.
Остеосинтез 3 винтами. Правый винт удален через 3 месяца. По поводу остальных есть 2 мнения: удалять или оставить, помогите принять правильное решение.

46 лет, врач педиатр, производственная травма при выезде к пациенту, пассажир. На КТ от 24.07.17. полной консолидации в крестце ниже винта нет. Извиняюсь за качество снимков, первый от 12.01.17., второй от 18.07.17. С уважением.

<  |  >

 

  • Сообщения о Последствия травмы
  • Также Наталья
  • Связаться с автором
  • Ответить/комментировать

    Re: остеосинтез костей таза, удалять ли конструкции?
    Alexander Chelnokov 12 Август 2017, 22:10
    Если винты бессимптомные, не проникают в тазобедренный сустав - удаление не решит никаких проблем.
    [ Ответить/комментировать ]

    ( Ответить/комментировать )

    Powered by Zope  Squishdot Powered MedLink
    Посетитель: 00057
      "По форме правильно, а по существу - издевательство" В.И.Ленин
    ©2001-200124Patients Coordinator.
    [ Главная | Отправить сообщение | Поиск | Админ ]