Ответить
|
Re: Несросшийся перелом шейки бедра
Ильдар Ахтямов 27 Март 2002, 01:02
|
Уважаемый Александр! Формируется ложный сустав шейки бедра. Операция Мак Маррея значительно усложнит в дальнейшем эндопротезирование, т.е. установку бедренного компонента. Если пациент может ходить с опорой на эту ногу, то пусть ходит до последнего, а когда запросит о помощи, то протезируйте. АИФ.
|
[
Ответить ]
|
Re: Несросшийся перелом шейки бедра
Отправитель: Alexander Chelnokov 27 Март 2002, 01:11
|
ИА> бедренного компонента. Если пациент может ходить с опорой на эту ногу, то
ИА> пусть ходит до последнего, а когда запросит о помощи, то протезируйте. АИФ.
Ну, можно сказать, он уже просит. Но все-таки и так оставлять как-то не годится, и протез до 40 лет... как-то тоже душа не лежит.

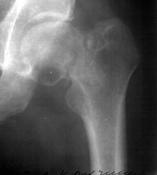
А что насчет остеостомии типа как на картинке в приложении?
|
[
Ответить ]
|
Re: Несросшийся перелом шейки бедра
Отправитель: Евгений Чекашкин 28 Март 2002, 00:08
|
Красивая картинка !
Никто не знает что в дальнейшем произойдёт с головкой бедра.(прогрессирование некроза или ремоделирование головки) Вполне возможно, что через н-ое количество лет встанет вопрос об
эндопротезировании. Поэтому остеотомия только усложнит процедуру. Я бы все-таки рекомендовал DHS.
Жёсткая конструкция, обеспечивает межфрагментарную компрессию, эффект
рассверливания через зону перелома улучшает консолидацию, сохраняет анатомию проксимального отдела бедра, упрощая эндопротезирование в будущем, если возникнет необходимость.
Удачи Евгений
|
[
Ответить ]
|
Re: Несросшийся перелом шейки бедра
Отправитель: Ильдар Ахтямов 28 Март 2002, 18:31
|
Уважаемый Александр! По 38-летнему пациенту. На томограмме имеются явные признаки асептического некроза. Этот процесс будет развиваться стремительно.
1-2 года и Вы вынуждены будете эндопротезировать пациента. Есть ли необходимость в дополнительной операции (остеотомии)? У 35-летнего пациента
альтернативы нет. Протез. АИФ.
|
[
Ответить ]
|
Re: Несросшийся перелом шейки бедра
Отправитель: Alexander Chelnokov 28 Март 2002, 18:36
|
ИА> признаки асептического некроза. Этот процесс будет развиваться стремительно.
ИА> 1-2 года и Вы вынуждены будете эндопротезировать пациента. Есть ли
ИА> необходимость в дополнительной операции (остеотомии)? У 35-летнего пациента
Зарубежные коллеги пересказали статью:
=================================================
Marti RK, Schuller HM Rayymakers ELFB
Intertrochanteric osteotomy for non-union of the femoral neck JBJS Br 1989;782-787.
50 patients with femoral neck nonunion treated with "Pauwels abduction osteotomy" followed 7 years. 7 (14%) went on to arthroplasty (and
these did well despite the osteotomy). Other 43 OK with hip score average 91/100. 21 cases had AVN preop but only 3 went on to arthroplasty.
50 пациентов с несращениями шейки лечили с помощью вальгизирующей остеостомии и проследили в течение 7 лет. 7 (14%) потребовалось
эндопротезирование, остеотомия не помешала. У других 43 был 91 по 100 балльной шкале. В 21 случае был АВН до операции, но только 3 из них
пришлось сделать эндопротезирование.
=================================================
Так что, если форма головки сохранена, и не торопиться с полной нагрузкой, есть немало шансов ограничиться остеотомией.
--
Best regards,
Alexander N. Chelnokov
|
[
Ответить ]
|
|
Re: Несросшийся перелом шейки бедра
Евгений Чекашкин 27 Март 2002, 08:11
|
Коль скоро функция сустава сохранена, я бы не торопился с эндопротезированием у 38 летнего пациента.
Рентгенологические признаки пост травматического аваскулярного некроза по классификации Ficat / Arlet Stage 1. на мой взгляд DHS - без какой -либо остеотомии стабилизировало зону перелома, а сам процесс рассверливания шейки бедра съимитировал бы так называемую core decompression procedure, которая показана при 1-3 стадиях AVN.
удачи,
Евгений
|
[
Ответить ]
|
Re: Несросшийся перелом шейки бедра
Simon Gortz 27 Март 2002, 15:27
|
I think THR is not a desirable outcome for a patient this young without trying a fixation first unless the AVN leads to a complete collapse. Consider intertrochanteric valgus osteotomy, which leads to healing of the femoral neck nonunion in a high percentage of cases (less than 90 percent).
Existence of AVN in femoral head does not prevent nonunion healing and may not compromise result.
Craig needle biopsy to rule out infection as a cause for the non-union and electrical stimulation may be indicated. Please see references below.
Best wishes,
Simon Gortz,
stud. med. Uni Duesseldorf
a.. Anglen, JO: Femoral Neck and Shaft Fracture. A case study. University of Missouri, 1999
a.. Anglen, JO: Intertrochanteric osteotomy for failed internal fixation of femoral neck fracture. Clin Orthop 341:175-182, 1997
a.. Askin SR, Bryan RS: Femoral neck fractures in young adults. Clin Orthop 1976 Jan-Feb; (114):
259-64
a.. Baksi, DP: Internal fixation of ununited femoral neck fracture combined with muscle-pedicle bone grafting. JBJS 68B:239-245, 1986
a.. Ballmer FT, Ballmer PM, Baumgaertl F, Ganz R, Mast JW: Pauwels osteotomy for nonunions of the femoral neck. Orthop Clin N Am 21:759-67, 1990
a.. Bray TJ, Smith-Hoefer E, Hooper A, Timmerman L: The displaced femoral neck fracture. Internal fixation versus bipolar endoprosthesis. Results of a prospective, randomized comparison. Clin Orthop
1988 May; (230): 127-40
a.. Hartford, JM, Patel AC: Intertrochanteric Osteotomy with Dynamic Compression for Femoral Neck Nonunion. Poster Presentation AAOS Convention, 2002
a.. Lifeso R, Younge D: The neglected hip fracture. J. Orthop Trauma 4:287-92, 1990
a.. Marti RK, Schuller HM, Raaymakers ELFB: Intertrochanteric osteotomy for nonunion of the femoral neck. JBJS 71B782-7, 1989
a.. Waddell JP, Schemitsch EH, McKee, MD, Morton, J: Management of Femoral Neck Non-unions. Podium Presentation AAOS Convention, 2002
|
[
Ответить ]
|
Re: Несросшийся перелом шейки бедра
Tikhilov Rashid 28 Март 2002, 00:05
|
Опыт нашей клиники в лечении больных с ложными суставами шейки бедренной кости говорит о следующем. В этом случае, учитывая возраст б-го, отсутствие смещения и резорбции шейки бедренной кости показана межвертельная вальгизирующая (лучше
клиновидная, хотя возможна и шарнирная) остеотомия и костная пластика ложного сустава. Костную пластику лучше делать аутокостным трансплантатом из м/берцовой кости. Трансплантат вводится со сторогв основания б/вертела. Цель
МВО - изменить направление линии л/сустава (с вертикальной на горизонтальную), подвести дистальный отломок под линию ложного сустава. Фиксировать лучше углообразной пластиной, медиализация большая не нужна - только что бы отломок подходил под линию перелома.
Протез поставить вы всегда успеете, предшествующая МВО не является существенной проблемой для современного эндопротезирования.
С уважением, Р.Тихилов.
|
[
Ответить ]
|
Re: Несросшийся перелом шейки бедра
Marc F. Swiontkowski, M.D. 28 Март 2002, 00:13
|
reccomend Valgus osteotmy as reported by Marti et al JBJS Br 1989
AVN was not necessarily related to a poor functional outcome
|
[
Ответить ]
|
Re: Несросшийся перелом шейки бедра
Отправитель: Edward Harvey 28 Март 2002, 00:29
|
> reccomend Valgus osteotmy as reported by Marti et al JBJS Br 1989
>
> AVN was not necessarily related to a poor functional outcome
>
>
> At 09:19 AM 3/27/02 +0500, you wrote:
I agree with Marc- this is what I have been doing. There is the option of a free vascularized fibular graft. There has been at least one report by the Duke group (not published yet) of 20 patients with femoral neck nonunion that have been treated with success in this manner. It doesn't change the mechanics of the hip or gait and allows for easier revision to Total hip
arthroplasty.
---------------------------
Edward J Harvey MDCM FRCSC
McGill University
Department of Orthopaedic Surgery
Hand and Microvascular/ Trauma
Medical Director Fracture/Bone Metabolism
Jo Miller Research Laboratories
Montreal General Hospital
|
[
Ответить ]
|
|
Re: Несросшийся перелом шейки бедра
Thomas A. DeCoster 28 Март 2002, 00:15
|
I also have had reasonable success with valgus producing intertrochanteric osteotomy for femoral neck nonunion especially when the neck shaft angle is down to 90 degrees as in these two cases.
Marti RK, Schuller HM Rayymakers ELFB
Intertrochanteric osteotomy for non-union of the femoral neck JBJS Br 1989;782-787.
50 patients with femoral neck nonunion treated with "Pauwels abduction osteotomy" followed 7 years. 7 (14%) went on to arthroplasty (and these did well despite the osteotomy). Other 43 OK with hip score average 91/100. 21 cases had AVN preop but only 3 went on to arthroplasty.
Also two textbooks F. Pauwels Biomechanics of the Normal and Diseased Hip J Schatzker The intertrochanteric osteotomy (Both Springer-Verlag)
Tom DeCoster
|
[
Ответить ]
|
Re: Re: Несросшийся перелом шейки бедра
ANGEL PEIRO 30 Март 2002, 13:48
|
Hello Alexander
At first is necesary take a Magnetic Resonance for the diagnosis de avascular necrosis.
I see zones of osteoporosis in the head and for this is necesary a vascular existence, then for me was necesary the MR.
If there is not necrosed then a valgus osteotomy (No Mc Murray) is the best option.
But if the head is necrosed then arthroplasy is the indication, but when the patien had more simptoms.
Best Regards
--
Angel PeirС M.D.
Valencia, Spain
|
[
Ответить ]
|
Re: Несросшийся перелом шейки бедра
Dr Selhi 30 Март 2002, 14:17
|
I feel Dr Mandeep Dhillon is the right person to comment on this case as he has vast ex[erience with publication son this subject.
With regards
Harpal
Dr Harpal Singh Selhi
Lecturer,
Dept Of Orth. Surgery.
Resi: 527-L, Model Town,
Ludhiana-141002 Punjab India
|
[
Ответить ]
|
Re: Несросшийся перелом шейки бедра
DR C CHERIAN KOVOOR 30 Март 2002, 14:18
|
Alexander,
You have a non union neck, avascualr necrosis and varus deformity.
Inspite of the avascular necrosis it is still wothwhile to get the femur neck united.
I would sugeest a DHS or fixed angled blate plate fixation, Valgus osteotomy and bone grafting of the non union site.
Later on you may be need to revise to a THR.
Please keep us informed
DR CHERIAN KOVOOR
KOCHI
INDIA
|
[
Ответить ]
|
Re: Несросшийся перелом шейки бедра
Беляев Евгений 02 Апрель 2002, 02:05
|
Согласен с мнением Тихилова Рашида Муртазалиевича из ВМА, но костный трансплантат можно взять из гребня подвздошной кости. С уважением, Беляев Евгений.
|
[
Ответить ]
|
Re: Несросшийся перелом шейки бедра
Alexander Chelnokov 02 Апрель 2002, 14:56
|
Глубокоуважаемые коллеги,
Вчера сделали остеотомию, делали близко к тому, как на той картинке.
Картинка тут.
То, что получилось, в приложении (без такой красивой анимации, к сожалению
;-)
result.jpg
34KB (35528 bytes)
|
[
Ответить ]
|
( Ответить )
|
|