AOTRAUMA.ORG Центр Илизарова  

Ортопедия и травматология Общие вопросы/General questions Help Информационные технологии в медицине
 вверх
 отправить
 поиск
 админ
 главная


Дефект мыщелка
Ортопедия и травматология Отправлено А.В.Владзимирский 29 Апрель 2002, 12:56 ДНИИТО
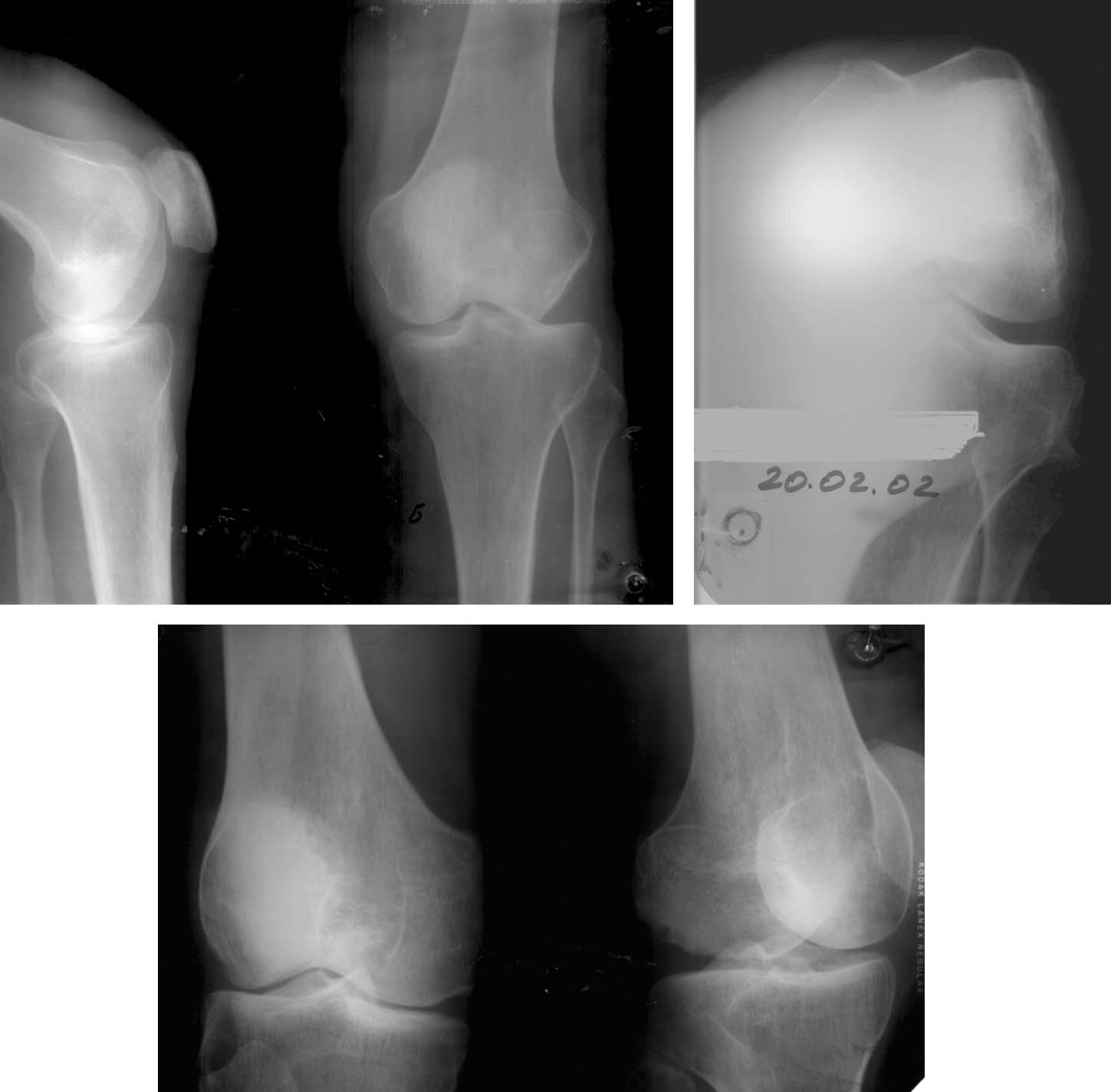
Женщина, 32 года.Травма в ДТП 24.05.01Диагноз: Политравма (разрыв лонного и правого крестцово-подвздошного сочленения, разрыв мочевого пузыря, вывих правого плеча, переломы пальцев кисти, носа, закрытая черепно-мозговая травма, обширные раны левого коленного сустава).Прошла хирургическое лечение. Больная активизирована, поставлена на костыли, обучена ходьбе. С целью стабилизации левого коленного сустава и удержание левой стопы использовался индивидуальный ортез.В настоящее время - посттравматический дефект наружного мыщелка левой бедренной кости. На рентгенограммах левого коленного сустава в укладках определяется дефект наружного мыщелка бедренной кости до 1/3 суставной поверхности. При клиническом обследовании левого коленного сустава: умеренная гипотрофия мышц левого бедра и голени, при пальпации проекции суставной щели снаружи умеренная болезненность, при выполнении клинических проб отмечается патологическая девиация голени кнаружи до 20 градусов, сопровождающаяся появлением умеренной боли, движения в коленном суставе незначительно ограничены.Вопрос: лечение дефекта?


<  |  >

 

  • Сообщения о Ортопедия и травматология
  • Также А.В.Владзимирский
  • Связаться с автором
  • Файл-вложение
  • Кликните для загрузки файла kneeb.jpg
    63KB (65412 bytes)

  • Ответить

    Re: Дефект мыщелка
    Berenstein Michael 12 Май 2002, 10:25
    Что значит патологическая девиация голени кнаружи?
    Нестабильность внутренней боковой связки или вальгус коленного сустава?
    Проверяли стабильность здорового сустава?
    Делали снимки под нагрузкой (стресс)?
    Какое состояние связочного аппарата колена?
    Расскажите поподробнее пожалуйста.
    Вы поднимаете очень интересный вопрос о лечении нестабильности коленного сустава при массивном и сочетанном повреждении.

    С уважением М.Беренштейн
    [ Ответить ]

    Re: Дефект мыщелка
    Alexander Chelnokov 12 Май 2002, 10:28
    Случай нетривиальный. Варианты решения зависят от тяжести функциональных расстройств, степени ухудшения качества жизни на собственный взгляд пациента и местных возможностей.
    Варианты помощи соответственно простираются от оставить как есть, (проводя периодически курсы разгрузки и какого-нибудь обезболивающего
    лечения, пока дело не созреет до тотального эндопротезирования), до эндопротезирования этого мыщелка сейчас. Как промежуточный вариант
    - ношение шарнирного разгружающего ортеза.
    Если лечить не пациента, а его рентгенограмму, можно напридумывать чего-то типа выращивания мыщелка аппратом, но, полагаю, результат будет хуже, чем если оставить как есть. Запас компенсации может оказаться тут достаточным для спокойной жизни лет 10-15.

    --
    Best regards,
    Alexander N. Chelnokov
    [ Ответить ]

    Re: Дефект мыщелка
    Леонид Н. Соломин 12 Май 2002, 10:31
    Я позволил себе проконсультировать присланные Вами Rg в отделе РосНИИТО, специализирущемся на патологии коленного сустава. Действительно, пациенты с травматическими дефектами части мыщелка бедренной кости являются "штучными"
    и об отработанной технологии здесь говорить не приходится. Однако определенный опыт и подходы к решению данной проблемы есть. Курирует эти
    вопросы у нас в.н.с. Засульский Филипп Юрьевич. Если считаете целесообразным, Вы можете связаться с ним: Herihor@rambler.ru
    Удачи
    Леонид Н.Соломин
    РосНИИТО, СПб
    [ Ответить ]

    Re: Дефект мыщелка
    Bill Burman 12 Май 2002, 10:36
    Re case of lateral femoral condylar deficiency:
    http://www.hwbf.org/hwb/conf/vlad1/lfcd.htm

    While much emphasis is placed on the adverse effect of increased intra-articular contact stress secondary to such things as a few mm of
    tibial plateau depression, or a few cm of articular defect or a few degrees of varus/valgus malalignment, consider the following case report:

    http://www.hwbf.org/hwb/conf/vlad1/plat1.jpg

    Excision of Lateral Tibial Plateau
    JBJS 71B 320 1989, Sharif Braddock, Ealing Hospital London

    49 yr old man has excision of lateral tibial plateau for giant cell tumor.
    Without reconstruction @ 13 years the knee is completely stable, painless, with full ROM,. He can stand on the affected limb alone without discomfort. He uses no cane and has no limp. No xray signs of osteoarthritis or tumor
    recurrence.

    Bill Burman, MD
    HWB Foundation
    http://www.hwbf.org/
    [ Ответить ]


    ( Ответить )

    Powered by Zope  Squishdot Powered MedLink
    Посетитель: 0325786
      "По форме правильно, а по существу - издевательство" В.И.Ленин
    ©2001-2019Orthoforum Coordinator.
    [ Главная | Отправить сообщение | Поиск | Админ ]