Ответить
|
Re: Многооскольчатое бедро
Andrea Salvi 14 Май 2002, 00:06
|
Dear colleague,
of course the only radiograms both the view of the femur (AP and LL) are not enough in order to assess the condilar ones.
So I think a TAC of the knee could be useful.
If You're going to use a nail,it could be blocked proximally and distally,because of the spiroid rime of the fracture.
But,in my opinion,the real problem is the distal fracture and so I suggest the use of a long plate,long until the condilars
with 5 metal rings (Zuggurtung) for enforcement along the plate or a external fixator,because of the risk of stiffness (keeping the knee moving in a passive motion,using,for example,a Kinetec device).
Best Regards
Dr Andrea Salvi
Spedali Civili
BRESCIA - ITALY
2 Divisione Ortopedia-Traumatologia
|
[
Ответить ]
|
Re: Многооскольчатое бедро
Zsolt Balogh 14 Май 2002, 00:27
|
Are you sure you want to operate this patient?
He survived 1 month on traction, the most difficult part of it!
The best healing is anticipated if the fracture site is not opened (virtually the whole thigh in your tough case!).
ExFix could be good biologically, what kind of frame would you use?
IM nailing, may be retrograde (for sure not
antegrade), either way it would be very-very
difficult.
I am sure that you assessed adequately the condylar fractures, they may need fixation (eg. percutaneous screws).
I tried to think of LISS, but it would be difficult to perform after a month (no fracture hematoma but there is fibrosus callus formation). And even the longest LISS would be short here, not to mention the very small distal piece.
ORIF would not be good for the fracture healing and a disaster for the patient.
What is your decision?
Best Regards,
Zsolt
|
[
Ответить ]
|
Re: Многооскольчатое бедро
Отправитель: Alexander Chelnokov 14 Май 2002, 00:56
|
ZB> Are you sure you want to operate this patient?
It must be great entertainment!
ZB> ExFix could be good biologically, what kind of frame
ZB> would you use?
Hybrid based on the Ilizarov set.
ZB> IM nailing, may be retrograde (for sure not
ZB> antegrade), either way it would be very-very
I'll try antegrage, why not? I already have dome some distal cases this way.
ZB> I am sure that you assessed adequately the condylar
ZB> fractures, they may need fixation (eg. percutaneous
Definitely.
ZB> I tried to think of LISS, but it would be difficult to
Not available around yet.
ZB> ORIF would not be good for the fracture healing and a
ZB> disaster for the patient.
Even limited?
ZB> What is your decision?
Attempt to apply external fixator and perform reduction and provisional fixation by wires, then antegrade closed nailing.
--
Best regards,
Alexander N. Chelnokov
|
[
Ответить ]
|
|
Re: Многооскольчатое бедро
Tom DeCoster 14 Май 2002, 02:07
|
consider retrograde IM nail with distal fragment screw fixation as needed
td
|
[
Ответить ]
|
Re: Многооскольчатое бедро
William Obremsky 14 Май 2002, 08:48
|
A CT and knee xrays would help identify lateral condyle comminution and/or a "hoffa fragment" of the posterior condyle. I am concerned that the lateral cortex is not sufficient to give purchase for a retrograde IMN. blocking screws could improve this as a possibility. A long blade or LISS if avaible would be my secondary choices. Good luck. Any chance you can get these cases transferred earlier when it
would be less difficult?
Bill Obremskey
|
[
Ответить ]
|
Re: Многооскольчатое бедро
Отправитель: Alexander Chelnokov 14 Май 2002, 23:43
|
WO> cortex is not sufficient to give purchase for a retrograde IMN. blocking
WO> screws could improve this as a possibility.
How the screws should be placed?
WO> A long blade or LISS if avaible would be my secondary choices.
Lateral condyle looks too small for the blade, and the plate too short.
WO> Any chance you can get these cases transferred earlier when it
WO> would be less difficult?
Unpredictable.
--
Best regards,
Alexander N. Chelnokov
|
[
Ответить ]
|
Re: Многооскольчатое бедро
Отправитель: William Obremsky 14 Май 2002, 23:52
|
> How the screws should be placed?
Use 6.5 mm cannulated screws if you have and
place one anterior to where IMN will go if anterior cortex if insufficient and AP screws on either side of the IMN out of the trochlea to provide some additional varus/valgus stability. I worry about the leg going into valgus w/the lack of lateral cortex.
See attached case that was done several years ago before LISS. He had comminuted trochlea and anterior blocking screws were used to prevent anterior IMN cut-out.

Good luck.
Bill Obremskey
|
[
Ответить ]
|
|
Re: Многооскольчатое бедро
Peter Hamilton 14 Май 2002, 14:16
|
Distal articular reduction /fixation with retrograde IM nail or long LISS plate.
PH
Mr. Peter Hamilton MBBS(Hons.),FRACS(Orth).
Trauma & Orthopaedic Surgeon
Box 37
Addenbrookes Hospital
Hills Rd
Cambridge CB2 2QQ
United Kingdom
|
[
Ответить ]
|
Re: Многооскольчатое бедро
Анатолий Лазарев 16 Май 2002, 12:35
|
Попробуй ретроградно интрамедуллярный гвоздь с блокированием и увеличенным количеством винтов дистально или как ты любишь miss a nail.
Привет ЛАФ Федорыч.
|
[
Ответить ]
|
Re: Многооскольчатое бедро
Отправитель: Alexander Chelnokov 16 Май 2002, 17:30
|
А> Попробуй ретроградно интрамедуллярный гвоздь с блокированием
Нету у нас (пока?) гвоздей для ретроградного введения. Доводилось слышать, что можно любые гвозди вводить ретроградно, но как-то не
получается пока преодолеть психологический барьер. В основном потому, что не могу для себя уяснить преимущества введения через колено
обычного UFN. Или, как коллеги из Индии рассказывали, кое-кто вводит UTN в бедро ретроградно.
ЛА> и увеличенным количеством винтов дистально или как ты любишь miss
ЛА> a nail.

Да, примерно так и сделали. Надо было, пожалуй, кончик гвоздя еще спилить, чтобы отверстие было еще дистальнее. Англоязычные коллеги еще
советовали винты в передне-заднем направлении вводить, но что-то не увидел, где там подходящее место.
--
Best regards,
Alexander N. Chelnokov
|
[
Ответить ]
|
Re: Многооскольчатое бедро
Отправитель: William Obremsky 16 Май 2002, 17:49
|
Since it was done closed the shaft will heal or at worst need an exchange IMN.
Nice job.
Bill O
|
[
Ответить ]
|
Re: Многооскольчатое бедро
Отправитель: Лазарев Анатолий 17 Май 2002, 16:22
|
Тем и отличается специальный стержень, что там все удобно. Кроме того я еще закрываю пробкой - костной место введения, т.е. сначала вскрываю канал полой фрезой. Для стабильности раннего движения в суставах этой конечности и передвижения в простравнстве существуют ортезы с шарнирами. Надеюсь длина конечности правильная.
|
[
Ответить ]
|
|
Re: Многооскольчатое бедро
Леонид Н. Соломин 16 Май 2002, 12:37
|
Технически "открыться в дистальном отделе, собрать мыщелки и забить гвоздь", полагаю, можно. Но это, как Вы сами вы выразились, скорее из раздела "лечить рентгенограмму". Подобную модель, признаюсь, не собрал и не исследовал, но
считать биомеханику подобного остеосинтеза в данном конкретном случае приемлемой - не решусь. Компоновка аппарата здесь включит модуль,
фиксирующий коленный сустав, что тоже не идеально. Но мера эта "временная, хоть и
обязательная". Детали можем обсудить.
Успехов в любом случае.
Леонид Н. Соломин
РосНИИТО, СПб
|
[
Ответить ]
|
Re: Многооскольчатое бедро
Отправитель: Alexander Chelnokov 16 Май 2002, 17:32
|
ЛНС> считать биомеханику подобного остеосинтеза в данном конкретном случае
ЛНС> приемлемой - не решусь.
Мы пошли на операцию с планом попытаться сделать закрытый интрамедулярный, а не получится - сделать аппаратом. Посчитали, что получилось, хотя на еженедельной конференции ожидаются некоторые проблемы с объяснениями ;-)
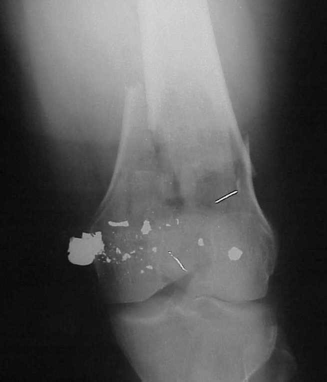
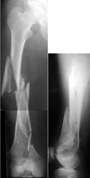
Насчет стабильности для ранней нагрузки, конечно, сомнительно, но при таком повреждении ранняя нагрузка противопоказана в любом случае. Для ранних движений Должно хватить. Снимки в следующем сообщении.
ЛНС> Компоновка аппарата здесь включит модуль, фиксирующий коленный
ЛНС> сустав, что тоже не идеально. Но мера эта "временная, хоть и
В случае лечения аппаратом, учитывая срок после травмы, можно, наверно, было колено и не фиксировать. Аппаратом мы здесь все равно
воспользовались для репозиции, см. приложение.

--
Best regards,
Alexander N. Chelnokov
|
[
Ответить ]
|
Re: Многооскольчатое бедро
Отправитель: Леонид Н. Соломин 20 Май 2002, 17:44
|
Искренне благодарю за присланные Rg. Нет ли укорочения сегмента? Насколько Вы полагаете опасен обратный зуб дистального фрагмента для скользящего аппарата и его тенденция к увеличению при попытке сгибания в коленном суставе? Просто на вскидку: как Вы считаете, какую нагрузку способна выдержать при испытании
подобная модель остеосинтеза? Не спорю - это "пробирка"; в "жизни" немаловажна стабилизирующая роль окружающих мягкий тканей (правда есть и "смещающая"). Но все-же? Ведь надо же из чего-то определять режим реабилитации... Если бы все "открутить назад" - тактика была бы прежней?
Не вполне согласен с Вашим мнением в отношении невозможности ранней нагрузки в подобных случаях при использовании внешней фиксации.
В любом случае не откажите в любезности информировать о дальнейшей судьбе пациента. Заранее благодарен.
|
[
Ответить ]
|
|
Re: Многооскольчатое бедро
Thomas A. DeCoster 21 Май 2002, 20:45
|
Regarding your case
IM nails are very forgiving but there are limits. I've seen cases with this postop appearance heal nicely.
The advantages of retrograde nail in this situation are: easier insertion, easier reduction and better distal fixation.
Easier insertion because there is less soft tissue between skin and bone entry point in the distal femur than the proximal femur. Positioning access to the knee is easier than the hip because it's further from the trunk.
Easier reduction because you have direct control of the distal fragment which is more mobile than proximal. Something else magical or not understood. Somehow the ball tipped guide nearly always hits the proximal medullary canal the first time whereas I've spent hours trying to pass it antegrade. Perhaps something to do with the muscle fibers directing the guide toward the medullary canal rather than away from it. Better distal fixation because the nail is seated in subchondral bone and the distal locking screws are more in number, closer to the tip, and fit inside the nail tighter than their counterparts with antegrade nailing.
See AAOS website OKO (Orthopaedic Knowledge Online) for discussion of retrograde and antegrade femoral nailing with audio pros and cons from Drs. Swiontowski and Watson, video demonstrating techniques, case examples with 10 year followup etc. http://www.aaos.org then click on oko
OKO is also available directly to AAOS members and others who subscribe.
Other topics are also presented and many other topics are coming online each year.
Tom DeCoster
|
[
Ответить ]
|
Re: Многооскольчатое бедро
Александр Артемьев 21 Май 2002, 23:44
|
Здравствуйте, коллеги.
1. С подачи Александра Челнокова в 67-й больнице г.Москвы имел возможность наблюдать остеосинтез стержнем с блокировкой. Раньше как-то не доводилось присутствовать на операции. Впечатления самые благоприятные, нсмотря на технические трудности (мыслимые и немыслимые - так уж всегда бывает на показательных операциях).
Александр, тебе привет и наилучшие пожелания от всей 3-й ортопедии и от меня лично. В ближайшее время начну с голени.
2. Что касается обсуждаемого перелома бедра, то, если через 2 недели после снятия аппарата, колторый стоял 3 мес объем движений 90 градусов, то ни о какой развивающейся контрактуре и речи не
было, так что обоснование для снятия аппарата из-зап контрактуры было лукавством, хотя (по миновании периода острых осложнений) преимущества интрамедуллярного остеосинтеза очевидны.
Кто едет в Питер на СИКОТ - встретимся.
С уважением Александр Артемьев
|
[
Ответить ]
|
( Ответить )
|
|