AOTRAUMA.ORG Центр Илизарова  

Ортопедия и травматология Общие вопросы/General questions Help Информационные технологии в медицине
 вверх
 отправить
 поиск
 админ
 главная


Повторный перелом пальца у волейболиста
Ортопедия и травматология Отправлено Alexander Lesnichev 21 Июнь 2002, 08:39 Алтайский центр телемедицинского сервиса
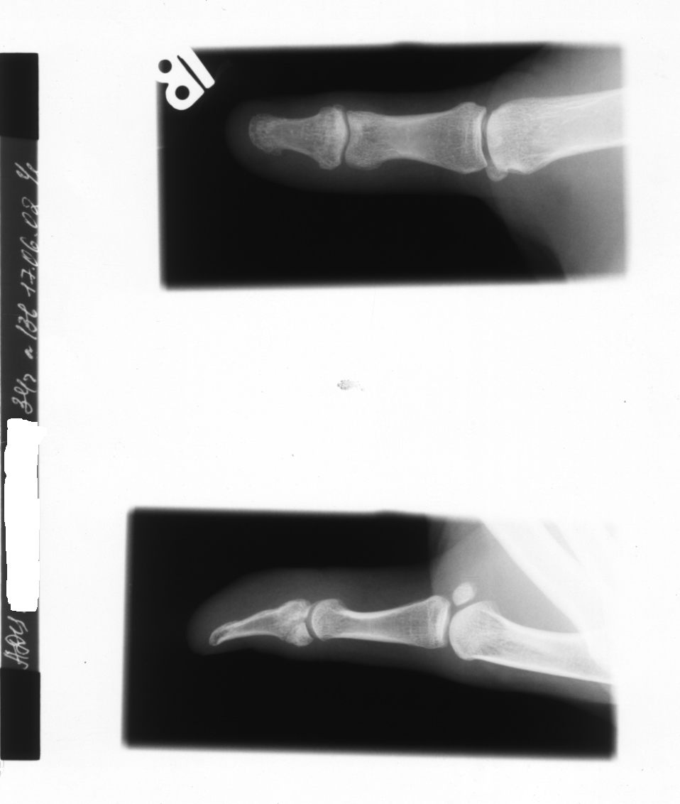
Первый перелом - в январе 2002 года, была наложена шина на 4 недели.Повторный перелом в этом же месте - 7.06.2002 г.Вопрос: Рекомендации по лечению. Как ускорить консолидацию и можно ли пациенту сейчас с каким-то приспособлением на пальце играть в волейбол?
Первый перелом - в январе 2002 года, была наложена шина на 4 недели.Повторный перелом в этом же месте - 7.06.2002 г.Снимок через 10 дней после повторного перелома (17.06.2002г.).После первого перелома снимки не делались.В первом и во втором случае переломы - результат блокирования нападающего удара во время игры в волейбол.Сейчас пациент к пальцу лейкопластырем приматывает самодельную шину.Вопрос: Рекомендации по лечению.Как ускорить консолидацию и можно ли сейчас с каким-то приспособлением на пальце играть в волейбол?

<  |  >

 

  • Сообщения о Ортопедия и травматология
  • Также Alexander Lesnichev
  • Связаться с автором
  • Файл-вложение
  • Кликните для загрузки файла digit.jpg
    50KB (51503 bytes)

  • Ответить

    Re: Повторный перелом пальца у волейболиста
    Alexander Chelnokov 22 Июнь 2002, 13:09
    Это отывной перелом точки прикрепления сухожилия разгибателя. Сейчас отломки расположены неплохо, можно наложить шину даже без форсированного разгибания но лучше бы проконтролировать ситуацию через пару недель. Возможно, там все-таки псевдартроз или сращение на ограниченном участке, учитывая повторный случай. Руки чешутся ввести чрескожно парочку маленьких винтов.
    А играть дальше надо с шинкой, удерживающей межфаланговый сустав в максимальном разгибании.
    [ Ответить ]


    ( Ответить )

    Powered by Zope  Squishdot Powered MedLink
    Посетитель: 0165643
      "По форме правильно, а по существу - издевательство" В.И.Ленин
    ©2001-2019Orthoforum Coordinator.
    [ Главная | Отправить сообщение | Поиск | Админ ]