вверх
отправить
поиск
админ
главная
|
Комбинированая травма стопы |
 |
 |
 |
Отправлено Anton V. Vladzimirskiy 08 Август 2002, 13:42
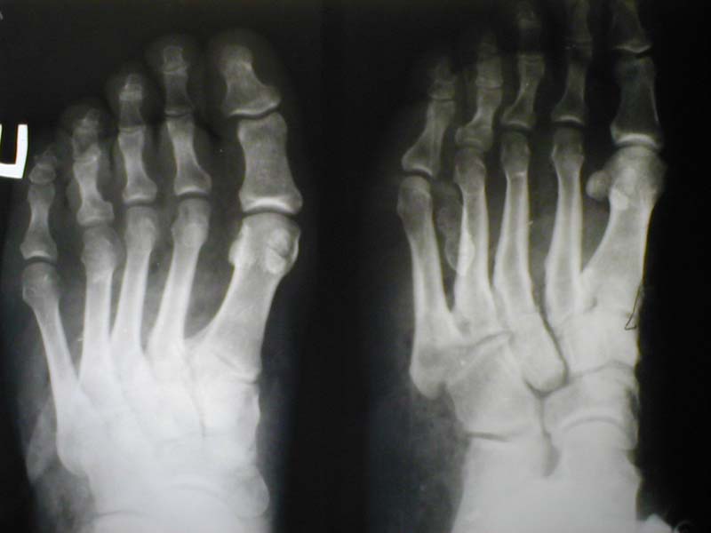
Мужчина, 48лет. Производственная травма (на стопу упал груз весом 2 тонны+химический ожог щелочью). Диагноз: комбинированная травма правой стопы, обширная рвано-скальпированная рана, химический ожог II ст. до 1% поверхности тела, закрытый перелом ладьевидной и I клиновидной костей. Ургентно произведено: ПХО, дренирование, иммобилизация задней гипсовой лонгетой; назначено: обезболивание, реополиглюкин, цефазолин, метрогил, курс ГБО. Вопрос: тактика лечения (дополнения и проч.)?Заранее благодарен! Фото 1 Фото 2 Фото 3 Фото 4 С уважением,А.В.ВладзимирскийДонецкий НИИ травматологии и ортопедииДонецк, Украина
<
|
>
|
|
Ответить
|
Re: Комбинированая травма стопы
А.В.Владзимирский 22 Август 2002, 15:49
|
Вот несколько мнений...
1). Я считаю, что основная проблема это мягкотканный лоскут v Lвыживет? ли он?
Предлагаю сделать все, чтобы избежать глубокой инфекции. Вероятно вы должны подгото-виться ко второй хирургической обработке раны в ближайшем будущем; в любом случае вы должны сделать некрэктомию. Если останется дефект мягких тканей необходима вторичная пластика. Специальное лечение переломов проводить только после нормализации мягких тканей (B. Hintermann, профессор, Ортопедическая университетская клиника Kantonsspital, г.Basle, Швейцария).
2). Следует выждать, пока наступит демаркация мягких тканей (5-21 день), затем v некрэктомия и пластика, когда будут хорошие грануляции. Иммобилизация шиной в нейтральном положении для профилактики вторичной контрактуры. Пока станет ясной ситуация с мягки-ми тканями - чрескожная фиксация спицами или винтами под визуальным контролем для репозиции (B.Meinhard, зав.отд ортопедической хирургии, США).
3). Считаю целесообразным с иммобилизации лонгетой перейти на внешнюю фиксацию. При этом возможность проведения спиц через "пограничные" мягкие ткани вполне оправдана. Это, кроме более надежной фиксации, которая в данном случае необходима, обеспечит луч-шие условия для местного лечения ран. А в том, что возникнет некроз мягких тканей, зажив-ление ран вторичным натяжением, сомнений нет. Кроме этого в аппарате можно будет вос-становить (улучшить) поперечный свод стопы; исключить формирование pes equinus - в лон-гете в данных условиях она неминуемо наступит. К лечению можно добавить внутрикостные блокады по Полякову ("трофические" и "антибактериальные") - проверено, эффект есть (Л.Н.Соломин, врач ортопед-травматолог, Российский НИИТО им.Вредена, Санкт-Петербург, Российская Федерация)
4). 1. Принципиальным считаю добавить к общей терапии антикоагулянты - вплоть до гепа-рина 5 тыс. 4 раза в сутки. Насчет фраксипарина в таких случаях опыта не имею. Не знаю, сколько прошло с начала травмы. Если вторые-третьи сутки - антиферментные препараты в больших дозах (трасилол,контрикал)- по упаковке (5 ампул) 3 равза в сутки. Сосудистые препараты - трентал, детралекс. Возможно, гормоны. 2. Насчет фиксации согласен с выска-занным Л.Н.Соломиным мнением насчет внешней фиксации. Правда гоняться за репозицией в остром периоде не надо, хотя аппарат можно смонтировать в расчете на это. Думаю, что пациенту предстоит ампутация. Интересно было бы сделать ангиографию (А.Артемьев, врач ортопед-травматолог, Российская Федерация).
5). Спасибо за подробную презентацию случая. Удивительно, что от 2 тонного груза столь незначительные костные повреждения. Видимо, основная тяжесть обусловлена разможжени-ем и химическим ожогом мягких тканей, компрометирующее перфузию дистального отдела стопы, возможное развитие компартмент синдрома. Если есть возможность выполнить ан-гиографию, то это бы определило дальнейший прогноз и тактику лечения. В нашем госпита-ле пока это недоступно и для оценки перфузии я пользуюсь пульс-оксиметром, сравнивая показатели поврежденной стопы и здоровой. На представленных фотографиях кожный лос-кут на тыльной поверхности стопы явно нежизнеспособен, поэтому подшивать его я бы не стал. При выполнении первичной хирургической обработки я бы иссек нежизнеспособные ткани, продольными разрезами декомпрессия межкостных пространств и первичная кожная
пластика свободным кожным лоскутом, антибактериальная Терапия, гепарин, иммобилиза-ция (в аппарате или в лонгетной повязке). При такой травме принципиален момент положе-ния стопы - не стоит придавать возвышенное положение - усугубляет нарушение перфузии, стопа должна находиться в горизонтальной плоскости. Можно пойти и по другому , выжида-тельному пути - ждать когда окончательно наступит формирование зоны демеркации и то-гда уже выполнить некрэктомию. На мой взгляд, при выжидательной тактике повышается риск развитя вторичной раневой инфекции, что создает дополнительные проблемы (Е.Чекашкин, врач ортопед-травматолог, Российская Федерация)
|
[
Ответить ]
|
( Ответить )
|
|