вверх
отправить
поиск
админ
главная
|
Задний край впадины - оперировать ли? |
 |
 |
 |
Отправлено Alexey V. Rounkov 17 Февраль 2003, 11:24
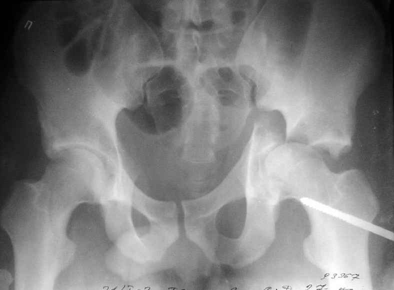
Пациент переведен в нашу клинику на 5 день после множественной травмы 25.01.2003 - двустороннее повреждение вертлужных впадин, разрыв левого крестцово-подвздошного сочленения. Вывихи обоих бедер. В месте первичного поступления подвздошный вывих правого бедра вправлен 26.01.2003, наложено вытяжение за левую вертельную область. Остеосинтез левой вертлужной впадины выполнен у нас 6.02.2003. Вопрос: надо ли синтезировать задне-верхний край правой вертлужной впадины?
<
|
>
|
|
Ответить
|
Re: Задний край впадины - оперировать ли?
Дмитрий Игоревич Ерёмин 18 Февраль 2003, 12:45
|
Оперировать задне-верхний край необходимо. Развитие в последующем коксартроза почти стопроцентно. Отсутствие заднего края серьёзно осложнит протезирование.
|
[
Ответить ]
|
Re: Задний край впадины - оперировать ли?
Alexey Smirnov 18 Февраль 2003, 19:59
|
правую впадину собрали здорово! Мои поздравления Рункову. Сами меня учили-учили, а где же запирательная проекция левой вертлужной
впадины. Такое впечатление что на КТ есть интерпозиция кусочком, тогда уж точно надо туда залесть, а так, я считаю не стоит.
Смирнов Алексей
|
[
Ответить ]
|
Re: Задний край впадины - оперировать ли?
Виктор П. Волошин 24 Февраль 2003, 20:13
|
Уважаемый Алексей, через месяц после повреждения обострять травму, чтобы продлить "колясочный" срок? Второй сустав станет опорным не скоро.Головка на Ртг концентрически вставлена, задний фрагмент не интерпонирует, лимбус,по видимому тоже, ямочный фрагмент мешать не должен,герметизирующую манжету адекватно восстановить, обычно, не удается. Выгоды от оперативного вмешательства сомнительны. Я бы оперировать не стал.Еще месяц без нагрузки (по меньшей мере) и в нашей "конторе"- МОНИКИ(Вы наверняка знаете О.Ш.Буачидзе) положились бы на ощущения пациента при активных движениях правым бедром. Можно и сейчас проверить на возможность блокады и тогда принимать окончательное решение.
Дальнейших успехов Вам.
P.S.Сложности последующего эндопротезирования при таком переломе впадины преувеличены.
|
[
Ответить ]
|
Re: Задний край впадины - оперировать ли?
Владимир 10 Март 2003, 01:37
|
Поздравляю с отлично выполненой репозицией при остеосинтезе !
Согласен, что нужна вторая проекция.
Если нагрузка на конечности будет не ранее 5-6 недель,оперировать не стоит. Считаю, что эндопротезирование справа не будет нужным.
|
[
Ответить ]
|
( Ответить )
|
|