AOTRAUMA.ORG Центр Илизарова  

Ортопедия и травматология Общие вопросы/General questions Help Информационные технологии в медицине
 вверх
 отправить
 поиск
 админ
 главная


Перелом бедра
Ортопедия и травматология Отправлено Владимир 10 Март 2003, 21:37
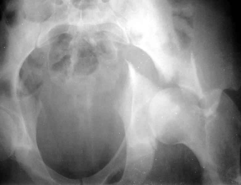
Тяжелая политравма у юноши С. 20 лет - 23.02.20030г. - падение с высоты 8 этажа. В настоящее время состояние стабилизировалось, возможен остеосинтез. Аппарат наложен при поступлении. Д-З: Политравма Перелом С2 б/смещения Перелом левого бедра(см.снимок),правой голени (стабилизирован),обеих пяточных костей со смещением,таза (см.снимок) Нужно ли произвести синтез таза? или ограничиться синтезом бедра? каким??
Оговорюсь сразу, что DHS или DCS не имею, состояние больного позволяет произвести и синтез таза, но надо ли это, учитывая множественность переломов др.локализации? Извиняюсь, что нет др. снимков и за качество, сканер с незким разрешением. Благодарю за советы !

<  |  >

 

  • Сообщения о Ортопедия и травматология
  • Также Владимир
  • Связаться с автором
  • Файл-вложение
  • Кликните для загрузки файла 1.jpg
    26KB (27569 bytes)

  • Ответить

    Re: Перелом бедра
    Alexander Chelnokov 12 Март 2003, 17:22
    Пока видно, что имеется тяжелый оскольчатый перелом вертлужной впадины, который надо открыто синтезировать. Для уточнения диагноза необходимо сделать косые проекции (Judet views). Не помешала бы КТ.

    При таком переломе бедра в нашей клинике был бы выполнен закрытый интрамедуллярный остеосинтез с блокированием. Лечили раньше подобные вещи и в аппарате. Если делать пластиной, лучше по принципам "биологического остеосинтеза", т.е. за идеальной репозицией не гнаться, промежуточные отломки не скелетировать.
    Удачи.


    [ Ответить ]

    Re: Перелом бедра
    Evgueny Tchekashkine 13 Март 2003, 14:04
    В качестве альтернативны интрамедуллярному штифтиванию можно фиксировать 95 градусной blade plate.
    Применяемая в настоящее время миниинвазивная техника фиксации позволяет из двух кожных разрезов -один в области большого вертела (место введения клинка) другой на уровне дистального фрагмента позволяет нетравматично и стабильно фиксировать перелом. Для блокирующего гвоздя - проксимальный отломок слишком короткий, поэтому могут возникнуть трудности с проксимальным
    блоком гвоздя.
    Аппаратом на бедре я бы пользоваться не стал - высок процент контрактур коленного сустава.
    В отношении синтеза вертлужной впадины, чтобы решить оперировать или нет надо четко представлять возможно ли восстановить суставную поверхность - Компьютерная томография. и уже по результатам станет ясно, практически
    возможно или нет фиксировать перелом. Другая точка зрения в отношении перелома нагрузочной зоны вертлужной впадины, что как бы ювелирно не была выполнена репозиция и фиксация перелома особенно среди молодых, активных пациентов развивается посттравматический коксартроз, который требует артропластики в дальнейшем. Очевидно, что риск послеоперационных осложнений
    после эндопротезирования т/б сустава меньше если на суставе ранее не было вмешательств.
    Много за и против, где золотая середина - непросто определиться. как говорят *знал бы прикуп , жил бы в Сочи * :-))
    Не стоит не дооценивать и важность переломов пяточных костей -посттравматические подтаранные артрозы- немалая проблема для дальнейшего передвижения и времени не так много - первые 3 недели с момента травмы.

    Удачи,
    Евгений Чекашкин
    [ Ответить ]

    • Re: Перелом бедра
      Отправитель: Alexander Chelnokov 15 Март 2003, 03:27
      ET> стабильно фиксировать перелом. Для блокирующего гвоздя - проксимальный
      ET> отломок слишком короткий, поэтому могут возникнуть трудности с проксимальным
      ET> блоком гвоздя.

      Есть такое дело. Хотя, похоже, зафиксировать здесь можно даже без специальных гвоздей для проксимального отдела. В приложении пример случая с подобным по величине центральным отломком.

      ET> Аппаратом на бедре я бы пользоваться не стал - высок процент контрактур
      ET> коленного сустава.

      Наверно, не это ведущий негативный момент, ведь у вменяемого и склонного к сотрудничеству пациента в аппарате можно сгибание до прямого угла в колене поддерживать и 8-9 мес., если в сгибании провести спицы и стержни, да первые дни в положении 90/90 подержать, а потом пациента приучить ежедневно проводить полчаса-час с прямым углом в колене.

      ET> Другая точка зрения в отношении перелома нагрузочной зоны
      ET> вертлужной впадины , что как бы ювелирно не была выполнена
      ET> репозиция и фиксация перелома особенно среди молодых, активных
      ET> пациентов развивается посттравматический коксартроз, который

      Вот тут бы посмотреть, на чем эта точка зрения основана - какой материал анализировался, как оперировали, как сопоставили, как потом вели и т.п. И скольким, и когда (и если) понадобился эндопротез после хорошей репозиции, сколько и когда при плохой...

      Кликните для загрузки файла 1.jpg
      19KB (19658 bytes)

      [ Ответить ]
      • Re: Перелом бедра
        Отправитель: Evgueny Tchekashkine 19 Март 2003, 01:02
        Комментарии излишни - все ясно и без слов, качественная *сборка*.
        Одним из альтернативных решений при подобном типе перелома - сверление доп. отверстия в гвозде, чтобы предовтратить излишнюю протрузию гвоздя из проксимального отломка.

        Best regards,
        Evgueny Tchekashkine

        [ Ответить ]
      • Re: Перелом бедра
        Отправитель: Evgueny Tchekashkine 19 Март 2003, 02:38
        В отношении оперировать или не оперировать оскольчатый перелом в области опорной зоны вертлужной впадины статистикой в данный момент не располагаю, но обсудил тактику с коллегами, которые высказались за консервативное лечение на вытяжении и в последующем при развитии артроза- артропластика.
        Подобная тактика оправдана при оскольчатых переломах только опорной зоны вертлужной впадины, переломы колонн со смещением - оперируются. Просмотрю литературу по переломам впадины и вышлю найденную статистику.

        [ Ответить ]
    Re: Перелом бедра
    Alexey Rounkov 13 Март 2003, 14:17
    Для уточнения диагноза необходим обзорный снимок таза и Judet проекции. Судя по присланной короткой рентгенограмме, один из компонентов перелома - отрыв свода, точно имеется ступенеобразная деформация нагружаемой поверхности и без открытой репозиции ничего хорошего не будет. Если в ближайшую неделю восстановительная опеперация не будет сделана, то лучше потом и не пытаться, а ждать сращения бедра для эндопротеза.
    Мы бы без колебаний оперировали для восстановления конгруентности.
    Удачи.




    [ Ответить ]

    • Re: Перелом бедра
      Отправитель: Alexey Rounkov 14 Март 2003, 23:17




      1


      Сегодня на приеме был пациент, чьи начальный снимок напомнил обсуждаемый сейчас (см. выше). Снимки в других проекциях, показывающие истинный характер повреждения, ниже. Это inlet проекция (вход в таз) и запирательная проекция Judet.






      1

      2






      [ Ответить ]
      • Re: Перелом бедра
        Отправитель: Владимир 15 Март 2003, 00:53
        Судя по сообщению, больному проводилось какае-то лечени. Чем произведен остеосинтез, в какие сроки посли травмы, каваи снимок после этого ?
        Спасибо.

        [ Ответить ]
        • Re: Перелом бедра
          Отправитель: Alexey Rounkov 15 Март 2003, 10:05
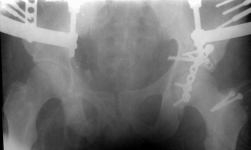
          Травма 17 ноября 2002 г., поступил к нам 1 декабря, оперирован 8-го - открытая репозиция, остеосинтез пластинками и винтами. Учитывая повреждение переднего полукольца справа, и крестца и крестцово-подвздошного сочленения слева, наложили аппарат на 2 месяца.
          Для экономии места привожу интра- и послеоперационный обзорный снимок, без дополнительных проекций.







          1

          2



          [ Ответить ]
    Re: Перелом бедра
    Anton V. Vladzimirskiy 14 Март 2003, 08:57
    Остеосинтез бедра видимо лучше сделать Г-образной пластиной или стержнем.
    Если вертлужную впадину не оперировать или пациент "потяжелеет", то можно перемонтировать АВФ и сделать вытяжение за него (для разгрузки сустава).
    В отношении посттравматического коксартроза - он будет в любом случае и эндопротезирование предстоит тоже в любом случае. Но без остеосинтеза впадины он разовьется гораздо раньше. Все же для уточнения тактики нужна КТ
    и/или рентгенография в 3/4 укладке. Насколько пациент готов к такой агрессивной операции как остеосинтез вертлужной впадины? (вопрос почти
    риторический). В любом случае пациенту будет необходима серьезная противоартрозная терапия (можно начать ее прямо сейчас), с учетом будущих
    подтаранных артрозов.

    Чем стабилизировали голень и пятки?

    С уважением,
    А.В.Владзимирский
    Донецкий НИИ травматологии и ортопедии
    Донецк, Украина
    [ Ответить ]

    • Re: Перелом бедра
      Отправитель: Владимир 16 Март 2003, 17:47
      Голень стабилизирована так же аппаратом наружной фиксации( временно), планируем (возможно) погужной синтез, пяточные кости стабилизировали спицами, более обширную операцию на пятках не планируем, т.к. имеетются отдельные деферкы кожного покрова вследствии контузии тканей (некрозы, до поверхностной фасции).
      Владимир

      [ Ответить ]

     

    ( Ответить )

    Powered by Zope  Squishdot Powered MedLink
    Посетитель: 0192448
      "По форме правильно, а по существу - издевательство" В.И.Ленин
    ©2001-2019Orthoforum Coordinator.
    [ Главная | Отправить сообщение | Поиск | Админ ]