AOTRAUMA.ORG Центр Илизарова  

Ортопедия и травматология Общие вопросы/General questions Help Информационные технологии в медицине
 вверх
 отправить
 поиск
 админ
 главная


Ацетабулярный перелом
Ортопедия и травматология Отправлено Андрей Стасюк 10 Апрель 2003, 17:06 г.Тюмень 2 ГКБ
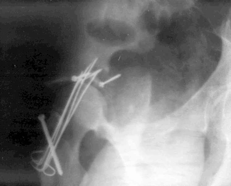
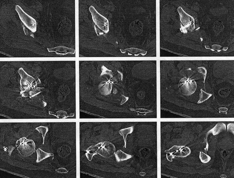
XrayCT
Мужчина 32 года, автотравма 6 недель назад. При поступлении был установлен диагноз "Ацетабулярный перелом". Вывих бедра не был установлен.
После установления вывиха бедра через 3 недели после травмы больному выполнена попытка открытой репозиции, остеосинтез вертлюжной впадины, Бедро фииксировано трансартикулярно спицами. После операции неврит седалищного нерва. В течение ещё 3-х недель после операции установлено что отломки не репонированы, вывих бедра не устранён (см. КТ и рентгенограмму), неврологической динамики нет. Возние вопрос о повторном оперативном вмешательстве по поводу чего разгорелись жаркие споры и сформировалось следующие мнения:1. Тотальное эндопротезирование с цементной фиксацией чашки протезом "ЭСИ" (другого протеза нет)2. Повторная открытая репозиция бедра с замещением дефектов вертлюжной впадины аутокостью с целью подготовки для последующего эндопротезирование. Предполагается фиксация тазобедренного сустава в послеоперационном периоде гипсовой повязкой или аппаратом внешней фиксации.Прошу высказать ваше мнение о тактике дальнейшего лечения пациента, о предложенных вариантах. Отдельный вопрос о возможности первичного тотального эндопротезирования при ацетабулярных переломах. (Лечащий врач настаивал перед первой операцией на выполнении тотального эндопротезирование с цементной фиксацией чашки через 3 недели после травмы)

<  |  >

 

  • Сообщения о Ортопедия и травматология
  • Также Андрей Стасюк
  • Связаться с автором
  • Ответить

    Re: Ацетабулярный перелом
    Казбек У. Кудзаев 12 Апрель 2003, 14:47
    Я больше склонен ко второму варианту: Повторная открытая репозиция. Но,
    самое главное, ревизия и невролиз седалищного нерва. Грош цена нашим потугам
    в тазобедренном суставе при неврите седалищного нерва без динамики.Фиксировать лучше не в гипсе, а ваппарате внешней фиксации типа нашей модификации (см. приложение). С эндопротезированием советую не тропиться. Учитывая молодой возраст, надо оттянуть время как можно дольше.
    Не всегда плохая анатомия совпадает с плохой функцией и сильными болями.
    Желаю успеха и удачи!

    С уважением,
    Казбек Кудзаев.
    Кликните для загрузки файла taz.jpg
    14KB (15265 bytes)

    [ Ответить ]

    Re: Ацетабулярный перелом
    Evgueny Tchekashkine 13 Апрель 2003, 18:40
    Думаю, что прогноз для этого пациента малоутешительный.
    Представленный перелом вертлужной впадины характеризуется нарушением непрерывности тазового кольца, обусловленный переломом передней и задней колонн, вполне возможно и с повреждением weightbearing surface- по прямой рентгенограмме сложно однозначно судить, а представленные томограммы не захватывают несущую поверхность впадины. Экспресс протезирование однозначно не показано - фиксировать ацетабулярный компонент не к чему, а цемент *уйдет* в зоны перелома. Достаточно обширное вмешательство должно быть направлено на восстановление целостности тазового кольца(передний забрюшинный доступ) и фиксация реконструктивной пластиной, после чего пациент поворачивается на бок или на живот и на тракционном столе из заднего доступа фиксируется задняя колонна реконструктивной пластиной. Для репозиции фрагментов нужно иметь тазовые зажимы (pelvic reduction clamps), без которых достичь желаемого результата технически сложно. Оптимальное время хирургии через неделю, 10 дней , когда общее состояние больного стабилизируется и закончено активное кровотечение из отломков. Хорошо бы иметь cell saver для таких случаев, а если нет - интраоперационная гемотрансфузия донорской крови.
    В данной конкретной ситуации я бы попытался восстановить непрерывность тазового кольца как минимум, предварительно удалив все спицы из бедра. В последующем, когда перелом срастется, можно будет планировать артропластику.

    Удачи,
    Евгений Чекашкин
    [ Ответить ]

    Re: Ацетабулярный перелом
    Рашид Муртузалиевич Тихилов 13 Апрель 2003, 18:44
    Мне кажется целесообразным повторным оперативным вмешательством выполнить открытую репозицию и фиксацию перелома реконструктивной пластиной из заднего доступа. Отсечение большого вертела абсолютно не обязательно. От фиксации спицами (даже временной) лучше отказаться, ничего хорошего я после них не видел. После травмы и первой операции прошло много времени, поэтому предстоящее вмешательство представляется сложным.
    Если полностью репозиция Вам не удастся, имейте ввиду возможность костной пластики из крыла подвздошной кости, я несколько раз пользовался, выручает. С протезированием не торопитесь, 32 года очень юный возраст, да и в этой ситуации я себе плохо представляю как Вы установите чашку цементной фиксации. Если же в дальнейшем такой вопрос встанет, то лучше всего использовать вертлужный компонент бесцементной фиксации.
    С уважением, Р.Тихилов
    [ Ответить ]

    Re: Ацетабулярный перелом
    Alexander Chelnokov 13 Апрель 2003, 21:11
    AC> После установления вывиха бедра через 3 недели после травмы больному
    AC> выполнена попытка открытой репозиции, остеосинтез вертлюжной впадины,
    AC> Бедро фииксировано трансартикулярно спицами. После операции неврит

    Для остеосинтеза вертлужной впадины при двухколонных переломах специалисту, берущемуся за операцию, необходимо иметь представление о сущности повреждения, методиках репозиции и остеосинтеза - этому, увы, в институтах не учат, да и не на всех кафедрах последипломного образования. Нужны также специальные инструменты и фиксаторы, которые есть далеко не в каждом учреждении.

    AC> споры и сформировалось следующие мнения:1. Тотальное
    AC> эндопротезирование с цементной фиксацией чашки протезом "ЭСИ" (другого

    Операция будет сложной из-за необходимости первым этапом выполнить все-таки реконструкцию впадины. Может быть, поможет антипротрузионное
    кольцо?

    AC> протеза нет)2. Повторная открытая репозиция бедра с замещением
    AC> дефектов вертлюжной впадины аутокостью с целью подготовки для

    Абстрактно говоря, здесь показана реконструктивная операция на впадине, но пациент находится в условиях конкретной больницы, где, приходится констатировать, нет всех необходимых условий и возможностей для надлежашего проведения такой операции.

    AC> тазобедренного сустава в послеоперационном периоде гипсовой повязкой
    AC> или аппаратом внешней фиксации.

    Если хорошо собрать и зафиксировать впадину, то можно ограничиться и постельным режимом или вытяжением до снятия швов, а если фиксировать в положении неустраненного смещения - то тоже неважно, чем.

    AC> Прошу высказать ваше мнение о тактике дальнейшего лечения

    Завтра поговорю с нашими тазистами - может быть, подумать о переводе к нам?

    AC> вопрос о возможности первичного тотального эндопротезирования при
    AC> ацетабулярных переломах. (Лечащий врач настаивал перед первой

    Возможность есть, но необходимостью это не является. Показанием для первичного протезирования при переломах вертлужной впадины могло бы быть обширное повреждение хрящевого покрова или фрагментирование нагружаемых зон, большая площадь вколачивания суставной поверхности, чего в данном случае не видно.
    [ Ответить ]

    • Re: Ацетабулярный перелом
      Отправитель: Anatoly A. Yakushin 14 Апрель 2003, 22:44
      Согласен с коллегой Челноковым. Тем более, что использование ЭСИ в данном случае категорически противопоказано. На мой взгляд - если эндопротезировать, то только укрепляющим кольцом с крюком, во всех остальных случаях пациенту обеспечена ранняя нестабильность вертлужного компонента.

      --
      Rgrds,
      Anatoly A. Yakushin aka DOC
      Orthopaedic departmen
      Veteran's Hospital # 3
      Moscow

      [ Ответить ]
    Re: Ацетабулярный перелом
    Владимир Святенко 13 Апрель 2003, 22:55
    Считаю, что вопрос о протезировании, учитывая ,в первую очередь, возраст больного, а так же сроки с момента травмы ставить нельзя. При неконсоли-дированном переломе достичь стабильности ацетабулярного компонента ( цементируемого) будет нельзя, на Rtg видно значительное смещение фрагментов в обл. дна впадины, больной сразу станет кандидатом на ревизионное протезирование.
    Целесообразнее выполнить повторную операцию с использованием аутотрансплантата и реконструкционных пластин.
    Что касается применения спиц для стабилизации головки бедра - нужно быть предельно осторожным, т.к. имеется реальная опасность перелома их с последующей миграцией в полость таза. В своей практике встречал случаи перелома и миграции спиц в полость малого таза при фасцикулярном остеосинтезе медиальных переломов шейки бедренной кости. Вероятнно лучший способ фиксации после операции - аппаратом нар. фиксации, в крайнем случае - одиночным длинным спонгиозным шурупом с короткой резьбой.
    [ Ответить ]

    Re: Ацетабулярный перелом
    Рунков А.В. 14 Апрель 2003, 10:11
    Было бы существенным посмотреть обзорную R-грамму до операции. По данным послеоперационных снимков и КТ имеется низкий двухколонный перелом или
    высокий Т-образный перелом с отрывом свода. Для уточнения необходиы косые проекции (Judet). Весь ли седалищный нерв молчит или только м/б порция?
    Первичное эндопротезирование при "плавающем" тазобедренном суставе даже с применением кольца - сомнительное мероприятие. Для чашки эндопротеза необходима жесткая основа, формирование свода, устранение деффицита задней стенки.
    В настоящее время целесообразна реконструкция с формированием вторичной хирургической конгруэнтности с ревизией нерва через Y-образный чркезвертельный доступ. Фиксация пластинами для ведения без дополнительной наружной фиксации для сохранения движений в суставах.
    Скорее всего повреждение нерва тракционное, наверно, коленный сустав во время операции был разогнут. Но не исключен вариант прямого повреждения и, следовательно, возможен шов нерва.
    Операции при таких повреждениях требуют специального оборудования, в частности репозиционных тазовых щипцов, костных дистракторов, тазовые долота и опытной бригады.
    Было бы целесообразно еще раз оценить возможности вашей клиники в лечении больного.
    С нашей стороны готовы оказать помощь: рекомендациями по плану операции, перевести больного в наш Республиканский центр поврежденийй таза, организовать выездную бригаду.

    [ Ответить ]

    Re: Ацетабулярный перелом
    Андрей Стасюк 19 Апрель 2003, 20:53






    Xray1

    Xray2


    Высылаю прямой обзорный и косой подвзошный снимки, косой запирательный неудовлетворительного качества.

    [ Ответить ]


    ( Ответить )

    Powered by Zope  Squishdot Powered MedLink
    Посетитель: 0000018
      "По форме правильно, а по существу - издевательство" В.И.Ленин
    ©2001-2019Orthoforum Coordinator.
    [ Главная | Отправить сообщение | Поиск | Админ ]