AOTRAUMA.ORG Центр Илизарова  

Ортопедия и травматология Общие вопросы/General questions Help Информационные технологии в медицине
 вверх
 отправить
 поиск
 админ
 главная


Деформация голени
Ортопедия и травматология Отправлено Evgueny Tchekashkine 13 Апрель 2003, 18:49
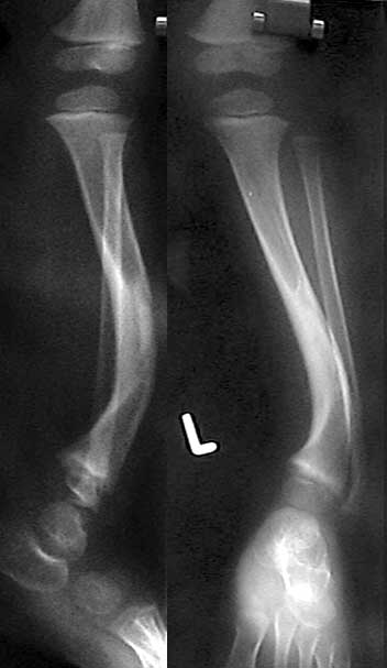
XrayФото 1Фото 2
На консультативный прием родители привели ребенка 3 лет с деформацией левой голени.
Деформация была выявлена сразу после рождения ребенка и с его развитием усиливается хромота. При ходьбе ребенок полностью наступает на ногу, распределяя нагрузку на внешний край стопы.Нагрузка на ногу безболезненна, данных за травму или инфекцию нет. При осмотре кожных покровов отмечаются характерные пигментные пятна cafeau lait. Совокупность данных анамнеза и осмотра наводит на мысль о нейрофиброматозе с врожденным псевдоартрозом б\б кости. Рентгенограммы прилагаю. Заранее признателен за высказанные мнения по тактике лечения ребенка.С наилучшими пожеланиями,Евгений Чекашкин

<  |  >

 

  • Сообщения о Ортопедия и травматология
  • Также Evgueny Tchekashkine
  • Связаться с автором
  • Ответить

    Re: Деформация голени
    Андрей О. Рагозин 13 Апрель 2003, 18:54
    Подумай о синдроме Олбрайта. Для него характерна фиброзная дисплазия с появлением пигментного или -ных пятен и эндокринными расстройствами. Этот диспластический процесс с "нарушением памяти формы кости" (Зацепин С.Т.
    2001). Лечение оперативное- остеотомии, восстановление формы, фиксация, однако прогноз может быть неблагоприятным.

    А.Р.
    [ Ответить ]

    • Re: Деформация голени
      Отправитель: Evgueny Tchekashkine 13 Апрель 2003, 18:56
      Давно не было новостей от тебя. Спасибо за совет.
      Я тоже думал о фиброзной дисплазии. Просмотрел литературу по с-му Albright, представленные картинки демонстрируют кистозную трансформацию бедра или б\б, м\б костей с истончением кортикальной пластинки и как результат этого описывают патологические переломы. У этого ребенка по рентгенограммам наоборот кортикальный слой утолщен, а интраоперационно- костно-мозговой
      канал полностью закрыт в зоне деформации.
      Мы сделали остеотомию м/б кости и клиновидную резекцию на высоте деформации во фронтальной и сагитальной плоскостях с фиксацией Rush pin. Резецированную кость отправили на гистологию - ждем результата. После операционные рентгенограммы ещё не перегрузил на диск, но обязательно вышлю. Изначально планировали сегментарную остеотомию б/б кости для полной коррекции, но после резекции клина и фиксации стержнем клинически ось конечности выравнялась, учитывая возможные проблемы со сращением и достигнутую коррекцию, решили ограничиться вмешательством на одном уровне. Получим гистологию, подождем сращения и если будет необходимо, то спланируем более дистальную остеотомию б/б кости.

      [ Ответить ]
    Re: Деформация голени
    Александр Е. Клоков 13 Апрель 2003, 18:58
    По всей видимости, представленный больной страдает нейрофиброматозом с наличием латентной формы ложного сустава левой большеберцовой кости. Однако пара вопросов: как распределены пигментные пятна и их количество и размер?
    есть ли отставание в физическом и\или умственном развитии у пациента?
    Мы придерживаемся тактики НИДОИ им. Турнера, предложенной проф. А.П. Поздеевым, а именно: так как физиотерапевтическое лечение противопоказано больным нейрофиброматозом, в наличии прогресс заболевания, - показано превентивное хирургическое лечение: из небольшого разреза по вогнутой стороне укладывается деминерализованный аллотрансплантат. 2-м этапом возможно удлинение на перестроившимся компоненте.

    С уважением,
    Александр Е. Клоков
    [ Ответить ]


    ( Ответить )

    Powered by Zope  Squishdot Powered MedLink
    Посетитель: 0273090
      "По форме правильно, а по существу - издевательство" В.И.Ленин
    ©2001-2019Orthoforum Coordinator.
    [ Главная | Отправить сообщение | Поиск | Админ ]