AOTRAUMA.ORG Центр Илизарова  

Ортопедия и травматология Общие вопросы/General questions Help Информационные технологии в медицине
 вверх
 отправить
 поиск
 админ
 главная
 Предыдущее


Re: Уникальный случай
Томилов Анатолий 26 Май 2003, 10:37
Тактика лечения:
1.транспедикулярный остеосинтез L2-L5 погружным аппаратом (Усикова)
2.передний спондилодез L3-L5 с аутотрансплантатом из тела L4.
3. наш тел. (3432)71-09-93
с уважением Анатолий Томилов,
клиника вертебрологии Уральского НИИТО

  • Сообщения о Ортопедия и травматология
  • Также Томилов Анатолий
  • Связаться с автором
  • Ответить

    Re: Уникальный случай
    Андрей Стасюк 28 Май 2003, 21:16






    1

    2

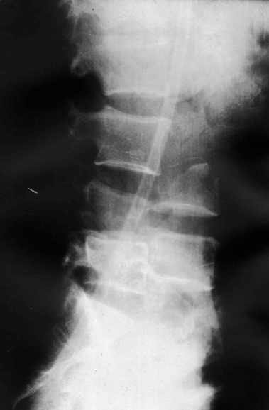
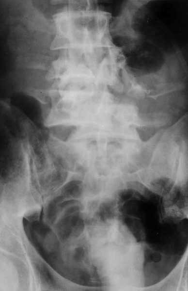
    Высылаю рентгенограммы. Спасибо за рекомендации. Наша тактика согласуется с вашими рекомендациями за исключением транспедикулярной фиксации - у данного пациента на наш взгляд предпочтительнее наружная транспедикулярная фиксация (Курганский аппарат). Погружная конструкция предпологает одномоментную репозицию до выполнения забрюшинного доступа и ревизии переломов что теоретически может привести к повреждению дурального мешка и корешков. АВФ позволит восстановить ось позвоночника и смещение по длине непосредственно под контролем глаза на этапе внебрюшинного доступа. Сколько сегментов замыкать? Я думаю может потребоваться замкнуть и сегмент L2-L3. Предполагается использовать тело L4 для костной пластики таким образом, чтобы ширина спиномозгового канала на уровне оперированных сегментов была увеличена. Фиксация тел позвонков вентральной пластиной.
    Если в вышей практике встечались подобные случаи прошу подробнее их описать.
    С Уважением
    Андрей Стасюк.



    [ Ответить ]


    ( Ответить )

    Powered by Zope  Squishdot Powered MedLink
    Посетитель: 0000078
      "По форме правильно, а по существу - издевательство" В.И.Ленин
    ©2001-2019Orthoforum Coordinator.
    [ Главная | Отправить сообщение | Поиск | Админ ]