AOTRAUMA.ORG Центр Илизарова  

Ортопедия и травматология Общие вопросы/General questions Help Информационные технологии в медицине
 вверх
 отправить
 поиск
 админ
 главная


Системный прогрессирующий остеопороз
Ортопедия и травматология Отправлено Александр Клоков 10 Июнь 2003, 17:25
18.02.200324.04.200324.04.200317.10.200217.10.200224.04.2003
Высылаю консультацию пациента на суд консилиума ортопедов.Суть вкратце: у парня системный прогрессирующий остеопороз. Он уже как два года не ходит, лежит в постели. Перепробовали массу препаратов кальция и витаминов - эффекта увы нет.
Вопросы таковы: какие возможны варианты в лечении такого пациента на дому? Может есть какие схемы, о которых мы не знаем, а знают наши глубокоуважаемые коллеги. Просьба поделиться опытом.Высылаю выписку подготовленную участковым врачом и ряд рентгенограмм (цифры в названии файла соответствуют дате).Спасибо за внимание.

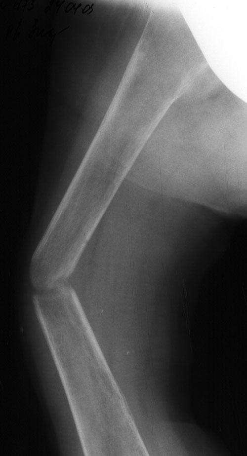
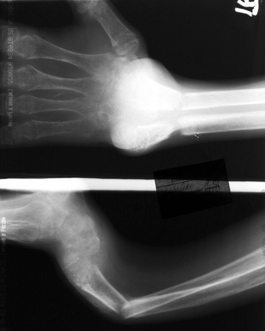
Выписка из амбулаторной карты пациента, 1980 г.р.Находится под наблюдением в поликлинике КНЦ РАН. Состоит на "Д" учёте по заболеваниям:Ювенильный идиопатический генерализованный остеопороз. Деформация грудной клетки за счёт множественных переломов грудины, рёбер. S-образный кифосколиоз грудного отдела позвоночника.Синдром гипофосфатемии неясного генеза. ВСД по кардиальному типу.Инвалид 1-й группы с детства. Последние 4 года не может передвигаться, возникают патологические переломы. Живёт в семье, материально-бытовые условия удовлетворительные.За последние 2 года состояние значительно ухудшилось - усилилась общая слабость, участились патологические переломы, которые не срастаются. Постоянно лежит в постели. Постоянный приём препаратов кальция и диеты с повышенным содержанием кальция, фосфора и белка эффекта не дают. С 11.07.2002 по 30.07.2002 г. лечился в травматологическом отделении АЦГБ с переломом костей правого предплечья со смещением. С 24.08.2002 по 08.09.2002 г. лечился в терапевтическом отделении по поводу острого бронхита с бронхоспастическим компонентом.На сегодняшний день статус. Состояние относительно удовлетворительное. В сознании. Положение вынужденное: сидя в инвалидном кресле, сам встать на ноги и передвигаться не может, туалет только с помощью родственников. Бледный, астеничный. Выраженная деформация грудной клетки, выраженный кифоз и сколиоз грудного отдела позвоночника. Экскурсия грудной клетки ограничена. Участие в акте дыхания вспомогательных межрёберных мышц. Пальпация грудной клетки безболезненна. Деформация всех крупных и мелких суставов за счёт увеличенных эпифизов. Деформация длинных трубчатых костей, мышцы рук и ног атрофичны. Температура - 36,8, ЧД - 29 в минуту. Дыхание жёсткое, проводится во все отделы. Слева от угла лопатки и в аксиллярной области влажные мелкопузырчатые хрипы, в межлопаточной области с обеих сторон свистящие хрипы. Пульс 90 ударов в минуту, ритмичный, симмитричный, слабого наполнения и напряжения. АД 120\80 мм рт. ст. Границы относительной сердечной тупости не расширены. Тоны сердца громкие, ритм правильный. Язык влажный, блестит. Живот при пальпации мягкий, не вздут, симметричный, участвует в акте дыхания, безболезненный. Печень по краю рёберной дуги. Стул регулярный, оформлен, без патологических примесей. Мочеиспускание свободное, безболезненное. Симптом Пастернацкого отрицателен с обеих сторон. Отёков нет.Анализ крови общий 26.08.2002: Hb-146 г\л, Эр.-4,8, ЦП-0,91, Лейк.-6,4, п.-4, с.-45, э.-5, м.-11, СОЭ-4 мм\ч.Анализ мочи общий 26.08.2002: Уд. вес-1025, белок-0,01, сахар-нет, лейк.-0-1 в поле зр., слизь+++, бактерии+.Анализ крови биохимический 26.08.2002: глюкоза-4,9, АЛТ-0,3, АСТ-0,5, биллирубин-11,9, креатинин-44,2, мочевина-3,8, СРБ (+).Анализ крови на микрореакцию - отрицательный.Флюрограмма за 2002: Резко выраженная деформация грудной клетки за счёт множественных переломов рёбер, грудины. Инфильтративных теней в лёгких не определяется. По сравнению с предыдущим исследованием от 01.12.2000 г. - ухудшение: нарастают деформация грудной клетки и позвоночника.ЭКГ за 2002 год: Синусовая тахикардия с ЧСС 88 в минуту. Отклонение ЭОС вправо. Признаки нарушения процессов реполяризации миокарда задней стенки левого желудочка. Повидимому, изменения ЭКГ обусловлены позиционными изменениями, возможно астеничным телосложением.Дополнительные методы исследования.Рентген правого предплечья (17.10.2002): Металлоостеосинтез по поводу перелома обеих костей правого предплечья в н\з: признаки репарации практически не определяются, сохраняется диастаз между отломками.Рентген правого предплечья (24.04.2003): Металлоостеосинтез по поводу перелома обеих костей правого предплечья в н\з: признаки репарации отсутствуют, формируются ложные суставы. Резко выраженный остеопороз.Рентген правого бедра (18.02.2003): Несросшийся перелом правого бедра на границе с\з и н\з со смещением отломков под углом открытым кнутри. Формирующийся ложный сустав. Выраженный остеопороз костей.Рентген правого бедра (24.04.2003): Угловое смещение отломков правого бедра увеличилось. Признаки репарации крайне вялые: по наружному краю отломков формируются замыкательные пластинки - ложный сустав. Выраженный остеопороз.

<  |  >

 

  • Сообщения о Ортопедия и травматология
  • Также Александр Клоков
  • Связаться с автором
  • Ответить

    Re: Системный прогрессирующий остеопороз
    Денис Елкин 11 Июнь 2003, 02:13
    Такими проблемами в Москве серьезно занимаются проф. Родионова Светлана Семеновна и Колондаев Александр Федорович. Работают в отделении костной патологии ЦИТО. Если узнаю, как можно связаться по E-mail, сообщу. Попытайтесь пока созвониться (тел. отделения 450-3729).
    [ Ответить ]

    • Re: Системный прогрессирующий остеопороз
      Отправитель: Александр Е. Клоков 14 Июнь 2003, 21:05
      Спасибо за внимание!
      Сообщу пациенту. Изначально у него и родителей нет желания куда-либо ещё ехать на обследование: хлопотно (он лежачий больной) и денежно. Но теперь вроде как и не против.
      Спасибо ещё раз.

      [ Ответить ]
    • некроз головки правой тазобедренной кости
      Отправитель: Елена 20 Март 2010, 18:40
      Могу я приехать на консультацию к доктору Родионовой Светлане Семеновне

      [ Ответить ]
    Re: Системный прогрессирующий остеопороз
    А.В.Владзимирский 13 Июнь 2003, 11:50
    1) Морфофункциональное исследование щитовидной и паращитовидных желез, определение уровня кальция и щелочной фосфатазы в крови.
    2) Лечение патологических переломов консервативным путем (закрытая репозиция, фиксация ортезами, ранняя нагрузка).
    3) Препарат выбора v ?Миакальцик? для назального введения.
    4) Эмпирическая терапия бифосфонатами (?IV Pamidronate?).
    5) Prognosis pessima.


    [ Ответить ]

    • Re: Системный прогрессирующий остеопороз
      Отправитель: Александр Е. Клоков 14 Июнь 2003, 03:11
      > 1) Морфофункциональное исследование щитовидной и паращитовидных желез,
      > определение уровня кальция и щелочной фосфатазы в крови.

      Про УЗИ я уже написал, но напомню:
      Очень давно, в 15-летнем возрасте (сейчас 23 года) делали УЗИ: Неоднородно уплотнена без очаговых изменений. Правая доля 17-13-42 мм, левая 14-9-41 мм, перешеек - 4 мм.
      Более пациент УЗИ не делал, в том числе и любое другое физикальное исследование щитовидной железы.
      Кальций сыворотки крови от 2,2 до 2,69 ммоль\л, фосфор - от 0,3 до 1,2 ммоль\л, щелочная фосфотаза от 1,46 до 5,12 ммоль\л. Последнее исследование в марте 2002 года. На днях будут свежие анализы.

      > 2) Лечение патологических переломов консервативным путем (закрытая
      > репозиция, фиксация ортезами, ранняя нагрузка).

      Так и выполнялось. Спицы стоят вот уже почти год, консолидации нет.

      > 3) Препарат выбора - "Миакальцик" для назального введения.
      > 4) Эмпирическая терапия бифосфонатами ("IV Pamidronate").

      А ничего более согласуемого с зарплатой бюджетных работников нет?

      [ Ответить ]
    • Re: Системный прогрессирующий остеопороз
      Отправитель: Alexander Chelnokov 14 Июнь 2003, 03:13
      А чего собственно консервативным? Это к остеопорозу от бездействия приведет еще больше. Уж если взялись лечить диафизарный перелом, то лучше бы его было хорошо сопоставить и фиксировать, идеально закрыто стержнем. Можно и
      аппаратом, используя спицы с упорами, проводимые на разных уровнях. А на примере предплечья здесь - и вроде что-то делали, а в то же время и
      сопоставления хорошего нет, и фиксация нестабильная, и из-за пучков спиц этих функция мышц нарушена... То бишь все условия для форомирования ложного сустава.

      [ Ответить ]
    Re: Системный прогрессирующий остеопороз
    Abdelsalam Eid 14 Июнь 2003, 02:31
    You need to eliminate causes such as corticosteroid therapy, alcoholism, and then you should perform some investigations.  Serum Ca , phosphate, Kidney function, serum PTH, sex hormone levels, urinary 24 hour excretion of Ca and phosphate. Then this may shed a light on the pathology and enable plans for treatment to be drawn.



    Abdelsalam Eid, MCh(Ortho)(Zagazig), AFSA(Ortho)(Paris V) 

    Assistant Lecturer
    [ Ответить ]

    Re: Системный прогрессирующий остеопороз
    Евгений Афанасьев 14 Июнь 2003, 02:48
    Диагноз не совсем ясен. Для уточнения необходимо
    1. Одновременно взятые б\х крови (Са, фосфаты, калий, общ. белок, ЩФ, в-липопротеиды) и б\х мочи (Са, Na, К, Р, pH)
    2. Согласен с коллегой, желательно узнать уровень кальцитонина, паратгормона в крови, если будет операция - обязательно резекция фрагмента для цитохимического исследования.
    3. Есть ли у пациента боли? Важен подробный анамнез заболевания.

    Попробую помочь.
    [ Ответить ]

    • Re: Системный прогрессирующий остеопороз
      Отправитель: Александр Е. Клоков 14 Июнь 2003, 21:02
      Спасибо за внимание!

      1. Кальций сыворотки крови от 2,2 до 2,69 ммоль\л, фосфор - от 0,3 до 1,2
      ммоль\л, щелочная фосфотаза от 1,46 до 5,12 ммоль\л. Последнее исследование
      в марте 2002 года. На днях будут свежие анализы.
      Сообщу при получении.

      2. По поводу содержания гормонов, надеюсь скоро узнать, сообщу также. В плане оперативного лечения и гистологии - тут будет всё зависеть от желания пациента.

      3. До 12 лет жалоб не предъявлял, занимался спортом (хоккей). Rg-обследования скелета не проводилось. Первый перелом в 10 летнем возрасте - перелом основной фаланги 1-го пальца правой кисти, консолидация в обычные сроки, однако на Rg отмечена "сетчетость" структуры диафизов, - остеопороз в лёгкой степени. Следующий перелом в 11 летнем возрасте 2-я пястная правой кисти, консолидация в обычные сроки, также отмечена остеопорозность тканей. С 12 летнего возраста стал отмечать умеренную боль и усталость в левой подколенной области. В дальнейшем, присоединилась быстрая утомляемость. Выраженного болевого синдрома не отмечал, затруднения в передвижениях и самообслуживании связывает с усталостью во всех конечностях и быстро наступающей общей утомляемостью. Деформация позвоночника по типу кифосколиоза и деформация крупных суставов отмечается с 15-16 летнего возраста. С 18 летнего возраста самостоятельно практически не передвигается. Патологические, несростающиеся переломы получены в 21 и 22 летнем возрасте. Сейчас пациенту 23 года.

      [ Ответить ]
    Re: Системный прогрессирующий остеопороз
    Anatoly Yakushin 14 Июнь 2003, 03:08
    Извините, а щитовидную железу обследовали?
    [ Ответить ]

    • Re: Системный прогрессирующий остеопороз
      Отправитель: Александр Е. Клоков 14 Июнь 2003, 03:09
      Очень давно, в 15-летнем возрасте (сейчас 23 года) делали УЗИ: Неоднородно уплотнена без очаговых изменений. Правая доля 17-13-42 мм, левая 14-9-41 мм, перешеек - 4 мм.

      Более пациент УЗИ не делал, в том числе и любое другое физикальное исследование щитовидной железы.

      В 1995 году больной находился на обследовании в отделении эндокринологии РДКБ г. Москвы, диагноз: Генерализованный остеопороз, тяжёлая форма с грубыми деформациями скелета. Полиоссальная фиброзная дисплазия (?). С-м
      гипофосфатемии неясного генеза(?), вторичный нервно-мышечный синдром. ВСД.
      Функциональная кардиопатия.

      [ Ответить ]
      • Re: Системный прогрессирующий остеопороз
        Отправитель: Alexander Chelnokov 14 Июнь 2003, 03:30
        b> Очень давно, в 15-летнем возрасте (сейчас 23 года) делали УЗИ:
        b> Неоднородно уплотнена без очаговых изменений. Правая доля 17-13-42 мм,

        А функцию ее?

        Вообще, по остеопорозу англоязычных материалов в сети много, вот, к примеру, статья по остеопорозу у мужчин (ювенильный - это, надо понимать, который разрешается после пубртатного периода?). Там же еще несколько обзоров на смежные темы

        ===============================================
        PATHOGENESIS AND MANAGEMENT OF OSTEOPOROSIS IN MEN

        R.M.Francis, MB ChB, FRCP,
        Consultant Physician, Musculoskeletal Unit, Freeman Hospital, Newcastle upon Tyne, NE7 7DN, UK.

        Summary
        Although osteoporosis is widely considered to be a condition predominantly affecting women, it is now clear that osteoporotic fractures are not uncommon in men. Up to 20% of symptomatic vertebral fractures and 30% of hip fractures occur in men, causing substantial morbidity, excess mortality and health and social service expenditure. Bone density and therefore the risk of fracture at any age is determined by peak bone mass and the subsequent rate of bone loss. Peak bone mass in men is influenced by genetic factors, age at puberty and exercise and calcium intake during childhood, whereas causes of bone loss include declining sex steroid concentrations, physical inactivity, smoking, alcohol consumption and vitamin D deficiency. Over 50% of men presenting with symptomatic vertebral crush fractures have an underlying secondary cause of osteoporosis, such as hypogonadism, oral steroid therapy and alcohol abuse. Case-control studies of hip fractures
        in men have shown an increased risk of fracture with disorders associated with secondary osteoporosis, such as thyroidectomy, gastric surgery and hypogonadism. There is also a greater risk of hip fracture with conditions related to an increased risk of falling, including hemiparesis, Parkinson's disease, dementia, vertigo, alcoholism and blindness. All men with osteoporosis should therefore be advised about measures to decrease bone loss and reduce the risk and impact of falls.
        Secondary osteoporosis should also be identified and treated where possible, as this may reverse the osteoporotic process and increase bone density. There is as yet no well established treatment for male osteoporosis, but therapeutic options include testosterone replacement in men with hypogonadism, bisphosphonates in men with idiopathic osteoporosis and calcium and vitamin D supplementation in frail, elderly men with the condition.

        Introduction
        Osteoporosis is characterised by a reduction in bone density associated with skeletal fragility and an increased risk of fracture after minimal trauma. Although osteoporosis is widely considered to be a condition predominantly affecting women, it is now clear that osteoporotic fractures are not uncommon in men. Up to 20% of symptomatic vertebral fractures and 30% of hip fractures occur in men, causing substantial morbidity, excess mortality and health and social service expenditure [1].

        Epidemiology of Fractures in Men
        There is a bimodal distribution of fracture incidence with age, with peaks in youth and old age. Fractures in young people generally follow significant trauma and are more common in men than women. Fracture incidence rises rapidly in women above the age of 45 years, whereas the increase occurs at a later age in men, such that the fracture rate in elderly women is twice that of men of the same age. The most common osteoporotic fractures are those of the forearm, vertebral body and hip.
        Although the incidence of forearm fractures increases in women in middle age, there is little change with advancing age in
        men [2].

        The lifetime risk of symptomatic fracture for a 50 year old white man in the UK has been estimated to be 2% for the forearm, 2% for the vertebra, and 3% for the hip, whereas the corresponding figures for a 50 year old woman are 13%, 11%, and 14%, respectively [2]. The European Vertebral Osteoporosis Study shows an overall prevalence of radiological vertebral
        deformity of 12% in both men and women, but the relationship between prevalence and age is less steep in men [3]. There is substantial geographical variation in the prevalence of vertebral deformity in men across Europe (8 to 20%), with the highest rates in Scandinavian countries [3]. There is also marked variation in the incidence of hip fractures in men and
        women across Europe, with lower rates in Mediterranean countries [4]. This study showed a larger difference in hip fracture incidence between countries than between sexes, suggesting the importance of genetic, environmental and lifestyle factors [4].

        The number of men presenting with osteoporotic fractures is rising, because of the demographic trend towards an ageing
        population and a doubling of the age specific incidence of fractures over the past three decades [5-7]. The increase in
        age-specific incidence has been demonstrated for fractures of the forearm, vertebral body, humerus and hip [6,7]. The
        reasons for this remain uncertain, but may include the survival of more frail individuals and secular changes in smoking,
        alcohol consumption, diet and physical activity [8]. Even if the age-specific incidence of fractures is no longer rising
        [9], the demographic trends make a rise in the number of men presenting with osteoporotic fractures inevitable [5].

        Osteoporotic fractures are associated with substantial morbidity in men and women. Men with symptomatic vertebral fractures
        may complain of back pain, loss of height and kyphosis, but also have significantly less energy, poorer sleep, more
        emotional problems and impaired mobility compared with age-matched control subjects [10]. There is also considerable
        morbidity after hip fracture in men, with only 21% living independently in the community a year later, whereas 26% receive
        home care and 53% live in an institution [11].

        There is increased mortality after vertebral crush fracture of about 18% at five years, but mortality does not rise steeply
        in the first year after fracture, suggesting that the excess mortality is due to coexisting conditions associated with
        osteoporosis rather than the fracture itself [12]. In contrast, much of the 17% excess mortality after hip fracture occurs
        in the first year, suggesting a more direct relationship to the fracture and subsequent surgery [12]. A number of studies
        show a higher mortality after hip fracture in men than women, but the reason for this remains unclear [13,14]. The annual
        cost of osteoporotic fractures in the UK has recently been estimated at ?942 million, of which 23% is due to fractures in
        men [15].

        Pathogenesis of Osteoporosis and Fractures in Men
        The risk of fracture is determined by a number of factors, including bone mass, bone turnover, trabecular connectivity,
        skeletal geometry and the frequency and severity of trauma applied to the skeleton. Bone mass at any age is determined by
        the peak bone mass, the age at which bone loss starts and the rate at which it proceeds. By the age of 18 years, 95-99% of
        the ultimate peak bone mass has been attained [16]. Although the peak bone mass is higher in men than women, bone density at
        maturity is similar in both sexes [16]. The adolescent rise in bone mass occurs at a younger age in females, because of
        their earlier onset of puberty [16]. Genetic factors account for up to 80% of the variance in peak bone mass in men and
        women [17,18]. Men with a family history of osteoporosis have a lower than expected bone mineral density (BMD) and an
        increased risk of vertebral fractures [10,19], although the major genetic factors determining bone density and fracture risk
        in men remain uncertain. A recent study suggests that COL1A1 Sp1 polymorphism is associated with an increased risk of
        vertebral fracture in men and women, but this appears to be partly independent of bone mineral density [20]. Other
        determinants of peak bone mass in men include age at puberty, dietary calcium intake and exercise during childhood and
        adolescence [21].

        Bone loss starts between the ages of 35 and 50 years in men and women and continues into old age in both sexes [22], with
        men losing 15-45% of trabecular bone and 5-15% of cortical bone with advancing age, whereas women lose 35-50% and 25-30%
        respectively. Trabecular bone loss is less in men than women when expressed as a percentage of their higher peak bone mass,
        but is accompanied by trabecular thinning, rather than the reduction in trabecular number seen in women [23]. Cortical bone
        loss is also lower in men, because endocortical resorption is less and periosteal bone formation is greater than in women
        [24]. Biochemical and histological studies suggest that bone formation decreases with advancing age in men, but there is
        some evidence of increased bone resorption in elderly men [1].

        Although heredity is an important determinant of peak bone mass in men, it has much less effect on age related bone loss
        [17]. The age related decrease in circulating free testosterone, adrenal androgens, growth hormone and insulin-like growth
        factor 1 (IGF1) may contribute to the observed reduction in bone formation and continuing bone loss with age in men [24]. It
        is now apparent that the actions of testosterone on the male skeleton may be mediated in part by aromatization to
        oestradiol, such that oestrogen deficiency may contribute to age related bone loss in men [25,26]. Case reports have
        described osteoporosis in men with mutations in the oestrogen receptor or aromatase genes [27,28]. There is also a positive
        correlation between bone density and serum oestradiol in healthy older men, with only a weak inverse relationship with
        circulating testosterone [29]. A number of other factors have been implicated in bone loss in men including physical
        inactivity, tobacco and alcohol consumption, poor dietary calcium intake, low vitamin D levels, decreased calcium absorption
        and secondary hyperparathyroidism [21].

        The development of osteoporosis may be accelerated by underlying secondary causes of bone loss, which are found in 33-78%
        of men presenting with symptomatic vertebral crush fractures [10,23,30-33]. The major secondary causes of osteoporosis in
        men with vertebral fractures are hypogonadism, oral steroid therapy and alcohol abuse.

        Case-control studies from the US and UK show a significantly increased risk of symptomatic vertebral fractures in men with
        smoking, alcohol consumption and underlying secondary causes of osteoporosis [10,30]. Case-control studies of hip fractures
        in men have shown an increased risk of fracture with disorders associated with secondary osteoporosis, such as
        thyroidectomy, gastric surgery and hypogonadism [34,35]. There is also a greater risk of hip fracture with conditions
        related to an increased risk of falling, such as hemiparesis, Parkinson-s disease, dementia, vertigo, alcoholism and
        blindness [34]. A prospective study from Australia showed a higher risk of hip fracture in men with low hip bone density,
        quadriceps weakness, increased body sway, falls in past year, previous fractures, low body weight and short stature [36].

        It has also been suggested that bone size is an important determinant of fracture risk in men [24]. A study in 38 men with
        idiopathic osteoporosis and vertebral fractures showed reduced BMD and vertebral dimensions compared with aged-matched
        control subjects [37]. This suggests that the achievement of a reduced bone size at the end of the growth period or failure
        of periosteal increase during adulthood may contribute to the pathogenesis of vertebral fractures in older men [37].

        Diagnosis of Osteoporosis in Men
        Until recently the diagnosis of osteoporosis in men was based on the development of fractures after minimal trauma. The
        introduction of Dual Energy X-ray Absorptiometry (DXA) bone density measurement has stimulated interest in the diagnosis of
        osteoporosis before fractures occur. The World Health Organization (WHO) has defined osteoporosis as a BMD 2.5 standard
        deviations or more below the mean value for young adults (T score < -2.5), but this has only been established for women
        [38]. Nevertheless, there is a similar relationship between BMD and fracture risk in both sexes [39,40], suggesting that the
        WHO criteria may be applicable in men and women. Furthermore, work from the US shows the prevalence of osteoporosis at the
        hip, spine or forearm using the WHO criteria is 35% in women over the age of 50 years, compared with 19% in men [41]. These
        figures are broadly comparable to those reported for the lifetime risk of fractures at these sites in 50 year old women
        (39.7%) and men (13.1%) in the US [42].

        Investigation and Management of Osteoporosis in Men
        To exclude underlying causes of secondary osteoporosis, the following investigations should be considered in men with
        osteoporotic fractures: full blood count, ESR, serum biochemical profile, thyroid function tests, serum testosterone, sex
        hormone binding globulin, gonadotrophins, prostate specific antigen and serum and urine immunoelectrophoresis [31]. The
        identification of secondary osteoporosis is important, as treatment of conditions such as hypogonadism may increase bone
        density [43,44].

        All men with osteoporosis should be given advice on lifestyle measures to decrease bone loss. These include eating a
        balanced diet rich in calcium, stopping smoking, moderating alcohol consumption and maintaining regular physical activity
        and exposure to sunlight throughout life. Where there is a history of falls, attempts should be made to identify and modify
        underlying causes. There is also growing interest in the use of hip protectors, which may potentially decrease the risk of
        hip fractures in frail elderly people with recurrent falls.

        There is no well established treatment for idiopathic osteoporosis in men, as few clinical trials have specifically
        examined the effects of treatment on bone density and fracture incidence in men. Observational studies in men with
        idiopathic and secondary osteoporosis suggest that intermittent cyclical etidronate therapy increases bone density at the
        lumbar by 5-10%, with smaller increases at the hip [45]. In an uncontrolled study in 42 men with vertebral fractures
        followed for a median of 31 months, intermittent cyclical etidronate increased spine bone density by 3% annually, whilst hip
        bone density showed a non-significant rise of 0.7% per year [46]. It would therefore appear that cyclical etidronate has
        comparable effects on bone density in men and women, although the effect on fracture incidence in men remains unclear.
        Nevertheless, a postmarketing surveillance study using the UK General Practice Research Database shows a significant
        reduction in the risk of vertebral fractures (relative risk 0.44; 95% confidence intervals 0.20-0.97) in osteoporotic men
        treated with cyclical etidronate compared with untreated osteoporotic men [47]. Controlled studies of other bisphosphonates
        such as clodronate, alendronate and risedronate in men with osteoporosis are either under way or planned.

        In addition to improving bone density in men with hypogonadal osteoporosis, testosterone also appears to increase spine
        bone density in eugonadal men with vertebral fractures. An uncontrolled study of testosterone treatment in 21 eugonadal men
        with vertebral osteoporosis showed a significant increase in spine bone density of 5% in six months, although no change in
        hip bone density was seen [48]. Subsequent analysis of the biochemical markers of bone turnover showed a reduction in bone
        resorption with testosterone, which may be mediated by conversion to oestradiol [48]. An earlier uncontrolled study of
        testosterone treatment in 14 eugonadal men with vertebral fractures showed an increase in spine bone density of 6.1% after
        three years treatment [49]. A randomised controlled crossover study in 15 men on long-term corticosteroid treatment showed
        an increase in spine bone density of 5% after 12 months treatment with testosterone, whilst no change was observed during
        the control period of 12 months observation [50]. A multi-centre randomised controlled trial is due to start shortly in the
        UK, to assess the safety and efficacy of testosterone supplementation in eugonadal men with osteoporosis.

        A randomised controlled trial in 21 men with idiopathic osteoporosis showed an increase in bone density after three months
        treatment with weekly intramuscular injections of 50 mg nandrolone decanoate, but this decreased to basal levels after one
        year of treatment [51]. The apparent lack of benefit with nandrolone may be related to suppression of endogenous
        testosterone production and the inability to aromatize anabolic steroids such as nandrolone to oestradiol.

        A controlled study from Germany shows that low dose intermittent monofluorophosphate and calcium increases bone density and
        decreases the risk of vertebral fractures in men with osteoporosis [52]. Nevertheless, this treatment is not widely
        available and the therapeutic window is likely to be narrow.

        The role of calcium and vitamin D supplementation in the management of osteoporosis in men remains unclear. An early
        controlled trial in normal men with a wide age range showed no effect of calcium and vitamin D on bone loss from the forearm
        or spine [53]. In contrast, a recent study in older men and women (mean age 70 years) demonstrated that 700 IU vitamin D3
        and 500 mg elemental calcium daily had a modest beneficial effect on bone density and decreased the incidence of
        non-vertebral fractures [54]. Other potential treatments for osteoporosis in men include calcitonin, anabolic steroids,
        parathyroid hormone and growth hormone, but there is relatively little published information on their use in men [1].

        Conclusions
        It is now realised that osteoporotic fractures pose an important public health problem in men and women. Further work is
        required to clarify the pathogenesis of osteoporosis and fractures in men and to develop appropriate criteria for the
        diagnosis of male osteoporosis. Randomised controlled trials are also needed to establish the most effective treatment for
        osteoporosis in men. In the meanwhile, testosterone replacement should be considered in men with hypogonadism, whereas
        bisphosphonates are probably the treatment of choice in men with idiopathic osteoporosis. Calcium and vitamin D supplements
        may be useful in frail, elderly men with osteoporosis, who are likely to have vitamin D deficiency and secondary
        hyperparathyroidism.

        References
        1. Eastell R, Boyle IT, Compston J, Cooper C, Fogelman I, Francis RM, Hosking DJ, Purdie DW, Ralston S, Reeve J, Reid DM,
        Russell RG, Stevenson JC (1998) Management of male osteoporosis: Report of the UK Consensus Group. QJM 91: 71-92.
        2. Cooper C (1996) Epidemiology and definition of osteoporosis. In: Compston JE (ed) Osteoporosis. New perspectives on
        causes, prevention and treatment. Royal College of Physicians of London, London, p1-10.
        3. O'Neill TW, Felsenberg D, Varlow J, Cooper C, Kanis JA, Silman AJ (1996) The prevalence of vertebral deformity in
        european men and women: The European Vertebral Osteoporosis Study. J Bone Miner Res 11: 1010-1018.
        4. Johnell O, Gullberg E, Allander E, Kanis JA (1992) The apparent incidence of hip fracture in Europe: A study of national
        register sources. MEDOS Study Group. Osteoporosis Int 2: 298-302.
        5. Royal College of Physicians of London (1989) Fractured neck of femur: prevention and management. Royal College of
        Physicians of London, London.
        6. Boyce WJ, Vessey MP (1985) Rising incidence of fracture of the proximal femur. Lancet 1: 150-151.
        7. Obrant KJ, Bengner U, Johnell O, Nilsson BE, Sernbo I (1989) Increasing age-adjusted risk of fragility fractures: a sign
        of increasing osteoporosis in successive generations? Calcif Tissue Int 44: 157-167.
        8. Francis RM, Sutcliffe A (1990) Implications of osteoporotic fractures in the elderly. In: Drife JO and Studd JWW (eds)
        HRT and osteoporosis. Springer-Verlag, Berlin, p87-93.
        9. Spector TD, Cooper C, Lewis AF (1990) Trends in admissions for hip fracture in England and Wales, 1968-85. BMJ 300:
        1173-1174.
        10. Scane AC, Francis RM, Sutcliffe AM, Francis MJD, Rawlings DJ, Chapple CL (1999) Case-control study of the pathogenesis
        and sequelae of symptomatic vertebral fractures in men. Osteoporosis Int 9: 91-97.
        11. Poor G, Atkinson EJ, Lewallen DG, O'Fallon WM, Melton LJ III (1995) Age-related hip fracture in men: clinical spectrum
        and short-term outcomes. Osteoporosis Int 5: 419-426.
        12. Cooper C (1993) Epidemiology and public health impact of osteoporosis. Baillieres Clin Rheumatol: Osteoporosis 7:
        459-477.
        13. Poor G, Jacobsen SJ, Melton LJ (1994) Mortality after hip fracture. Facts and Research in Gerontology 7: 91-109.
        14. Todd CJ, Freeman CJ, Camilleri-Ferrante C, Palmer CR, Hyder A, Laxton CE, Parker MJ, Payne BV, Rushton N (1995)
        Differences in mortality after fracture of hip: the East Anglian audit. BMJ 310: 904-908.
        15. Dolan P, Torgerson DJ (1998) The cost of treating osteoporotic fractures in the United Kingdom female population.
        Osteoporosis Int 8: 611-617.
        16. Bonjour JP, Thientz G, Buchs B, Slosman D, Rizzoli R (1991) Critical years and stages of puberty for spinal and femoral
        bone mass accumulation during adolescence. J Clin Endocrinol Metab 73: 555-563.
        17. Christian JC, Yu PL, Slemenda CW, Johnston CC Jr (1989) Heritability of bone mass: a longitudinal study in ageing male
        twins. Am J Hum Genet 44: 429-433.
        18. Slemenda CW, Christian JC, Williams CJ, Norton JA, Johnston CC Jr (1991) Genetic determinants of bone mass in adult
        women: a reevaluation of the twin model and the potential importance of gene interaction on heritability estimates. J Bone
        Miner Res 6: 561-567.
        19. Soroko SB, Barrett-Connor E, Edelstein SL, Kritz-Silverstein D (1994) Family history of osteoporosis and bone mineral
        density at the axial skeleton: The Rancho Bernardo study. J Bone Miner Res 9: 761-769.
        20. Langdahl BL, Ralston SH, Grant SFA, Eriksen EF (1989) An Sp1 binding site polymorphism in the COL1A1 gene predicts
        osteoporotic fractures in both men and women. J Bone Miner Res 13: 1384-1389.
        21. Scane AC, Francis RM (1993) Risk factors for osteoporosis in men. Clin Endocrinol 38: 15-16.
        22. Jones G, Nguyen T, Sambrook P, Kelly PJ, Eisman JA (1994) Progressive loss of bone from the femoral neck in elderly
        people: longitudinal findings from the Dubbo osteoporosis epidemiological study. BMJ 309: 691-695.
        23. Francis RM, Peacock M, Marshall DH, Horsman A, Aaron JE (1989) Spinal osteoporosis in men. Bone Miner 5: 347-357.
        24. Seeman E (1999) Osteoporosis in men. Osteoporosis Int 9 (Supplement 2): S97-S110.
        25. Anderson FH, Francis RM, Selby PL, Cooper C (1998) Sex hormones and osteoporosis in men. Calcif Tissue Int 62: 185-188.
        26. Riggs BL, Khosla S, Melton LJ III (1998) A unitary model for involutional osteoporosis: Estrogen deficiency causes both
        type I and type II osteoporosis in postmenopausal women and contributes to bone loss in ageing men. J Bone Miner Res 13:
        763-773.
        27. Smith EP, Boyd J, Frank GR, Takahashi H, Cohen RM, Specker B, Williams TC, Lubahn DB, Korach KS (1994) Estrogen
        resistance caused by a mutation in the estrogen-receptor gene in a man. N Engl J Med 331: 1056-1061.
        28. Carani C, Qin K, Simoni M, Faustini-Fustini M, Serpente S, Boyd J, Korach KS, Simpson ER (1997) Effect of testosterone
        and estradiol in a man with aromatase deficiency. N Engl J Med 337: 91-95.
        29. Slemenda C, Longcope C, Zhou L, Hui SL, Peacock M, Johnston CC (1997) Sex steroids and bone mass in older men. Positive
        associations with serum estrogen, and negative associations with androgens. J Clin Invest 100: 1755-1759.
        30. Seeman E, Melton LJ III, O'Fallon WM, Riggs BL (1993) Risk factors for spinal osteoporosis in men. Am J Med 75: 977-983.
        31. Baillie SP, Davison CE, Johnson FJ, Francis RM (1992) Pathogenesis of vertebral crush fractures in men. Age Ageing 21:
        139-141.
        32. Ringe JD, Dorst AJ (1994) Osteoporose bei mannern. Pathogenese und klinische einstellung bei 254 fallen. Dtsch Med
        Wochensch 119: 943-947.
        33. Peris P, Guanabens N, Monegal A, Suris X, Alvarez L, Martinez de Osaba MJ, Hernandez MV, Munoz-Gomez J (1995) Aetiology
        and presenting symptoms in male osteoporosis. Br J Rheumatol 34: 936-941.
        34. Poor G, Atkinson EJ, O'Fallon WM, Melton LJ III (1995) Predictors of hip fractures in elderly men. J Bone Miner Res 10:
        1900-1907.
        35. Stanley HL, Schmitt BP, Poses RM, Deiss WP (1991) Does hypogonadism contribute to the occurrence of a minimal trauma
        hip fracture in elderly men? J Am Geriatr Soc 39: 766-771.
        36. Nguyen TV, Eisman JA, Kelly PJ, Sambrook PN (1996) Risk factors for osteoporotic fractures in elderly men. Am J
        Epidemiol 144: 255-263.
        37. Vega E, Ghiringelli G, Mautalen C, Valzacchi GR, Scaglia H, Zylberstein C (1998) Bone mineral density and bone size in
        men with vertebral fractures. Calcif Tissue Int 62: 465-469.
        38. Kanis JA (1994) Assessment of fracture risk and its application to screening for postmenopausal osteoporosis: synopsis
        of a WHO report. Osteoporosis Int 4: 368-381
        39. De Laet CE, van Hout BA, Burger H, Hofman A, Pols HA (1997) Bone density and risk of hip fracture in men and women:
        cross sectional analysis. BMJ 315: 221-225.
        40. Cheng S, Suominen H, Sakari-Rantala R, Laukkanen P, Avikainen V, Heikkinen E (1997) Calcaneal bone mineral density
        predicts fracture occurrence: a five-year follow-up study in elderly people. J Bone Miner Res 12: 1075-1082.
        41. Melton LJ III, Atkinson EJ, O-Connor MK, O-Fallon WM, Riggs BL (1998) Bone density and fracture risk in men. J Bone
        Miner Res 13: 1915-1923.
        42. Melton LJ III, Chrischilles EA, Cooper C, Lane AW, Riggs BL (1992) Perspective. How many women have osteoporosis? J
        Bone Miner Res 7: 1005-1010.
        43. Finkelstein JS, Klibanski A, Neer RM, Doppelt SH, Rosenthal DI, Segre GV, Crowley WF Jr (1989) Increases in bone
        density during treatment of men with idiopathic hypogonadotrophic hypogonadism. J Clin Endocrinol Metab 69: 776-783.
        44. Devogelaer JP, De Cooman S, Nagant de Deuxchaisnes C (1992) Low bone mass in hypogonadal males. Effect of testosterone
        substitution therapy, a densitometric study. Maturitas 15: 17-23.
        45. Francis RM (1998) Cyclical etidronate in the management of osteoporosis in men. Reviews in Contemporary Pharmacotherapy
        9: 261-266.
        46. Anderson FH, Francis RM, Bishop JC, Rawlings DJ (1997) Effect of intermittent cyclical disodium etidronate therapy on
        bone mineral density in men with vertebral fractures. Age Ageing 26: 359-365.
        47. van Staa TP. Personal communication.
        48. Anderson FH, Francis RM, Peaston RT, Wastell HJ (1997) Androgen supplementation in eugonadal men with osteoporosis:
        effects of six months' treatment on markers of bone formation and resorption. J Bone Miner Res 12: 472-478.
        49. Scane AC, Francis RM, Johnson FJ, Davison CE (1992) The effects of testosterone treatment in eugonadal men with
        osteoporosis. In: Ring EFJ. ed. Current research in osteoporosis and bone mineral measurement II. British Institute of
        Radiology, London, 54.
        50. Reid IR, Wattie DJ, Evans MC, Stapleton JP (1996) Testosterone therapy in glucocorticoid-treated men. Arch Intern Med
        156: 1173-1177.
        51. Hamdy RC, Moore SW, Whalen KE, Landy C (1998) Nandrolone decanoate for men with osteoporosis. Am J Ther 5: 89-95.
        52. Ringe JD, Dorst A, Kipshoven C, Rovati LC, Setnikar I (1998) Avoidance of vertebral fractures in men with idiopathic
        osteoporosis by a three year therapy with calcium and low-dose intermittent monofluorophosphate. Osteoporosis Int 8: 47-52.
        53. Orwoll ES, Oviatt SK, McClung MR, Deftos LJ, Sexton G (1990) The rate of bone mineral loss in normal men and the effects of calcium and cholecalciferol supplementation. Ann Int Med 112: 29-34.
        54. Dawson-Hughes B, Harris SS, Krall EA, Dallal GE (1997) Effect of calcium and vitamin D supplementation on bone density
        in men and women 65 years of age and older. N Engl J Med 337: 670-676.


        L European Calcified Tissue Society 1999
        =============================================================


        [ Ответить ]
    Re: Системный прогрессирующий остеопороз
    Peter Romchuk 15 Июнь 2003, 23:58
    if all causes for secondary osteoporosis, mentioned by doctor aid, are excluded,
    you may also think about Osteogenesis imperfecta tarda (OI congenita with multiple fractures of extremities).
    It affects both sexes and varies greatly in clinical presentation. Possible concurrent
    symptoms are thin, transparent sclerae, which appear blue, and hearing loss from
    otosclerosis. I have had one female patient with OI. Surprisingly, she had her bones united in normal terms, just to have shortly new fracture in some other place.
    We treated her conservatively + some supplements (vit D3, Ca).
    "Merck Manual" recommends pamindronate given IV.

    Regards,
    Peter Romchuk
    orthopedic surgeon,
    Central City Hospital,
    Rivne, Ukraine
    [ Ответить ]


    ( Ответить )

    Powered by Zope  Squishdot Powered MedLink
    Посетитель: 0220494
      "По форме правильно, а по существу - издевательство" В.И.Ленин
    ©2001-2019Orthoforum Coordinator.
    [ Главная | Отправить сообщение | Поиск | Админ ]