AOTRAUMA.ORG Центр Илизарова  

Ортопедия и травматология Общие вопросы/General questions Help Информационные технологии в медицине
 вверх
 отправить
 поиск
 админ
 главная


Застарелый вывих бедра
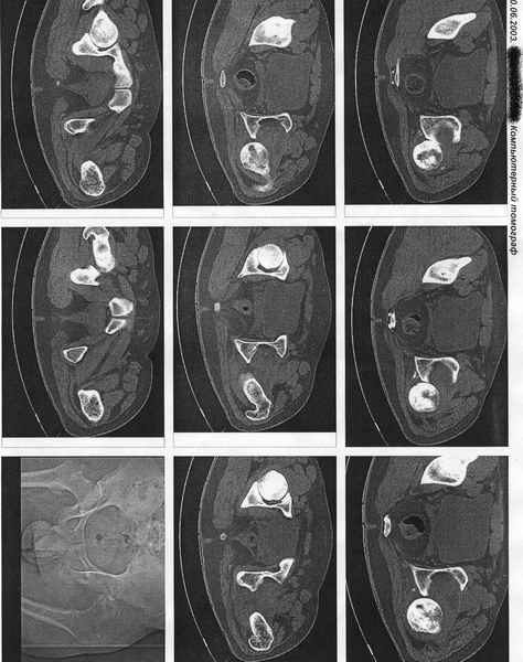
Ортопедия и травматология Отправлено Андрей Стасюк 21 Июнь 2003, 17:15 2 ГКБ г.Тюмень
Ко мне поступил из района пациент с 7-ми месячным вывихом бедра. Возраст 25 лет. Прилагаю КТ по которой виден АНГБК. Интересно услышать ваши мнения по тактике лечения. Из эндопротезов доступен ЭСИ. С Уважением Андрей Стасюк


<  |  >

 

  • Сообщения о Ортопедия и травматология
  • Также Андрей Стасюк
  • Связаться с автором
  • Ответить

    Re: Застарелый вывих бедра
    Елкин Денис Валерьевич 23 Июнь 2003, 09:29
    В отношении эндопртезирования мысль, на мой взгяд правильная. Перед операцией я бы посоветовал вытяжением низвести головку
    бедра до уровня впадины, иначе будут технические трудности. Не исключено, что все равно потом придется делать миотомии для
    удлинения контрагированных за 7 мес. мышц. Конечно, учитывая возраст, нужно еще раз проверить все материальные источники и,
    если получится, постараться приобрести все-таки импортный эндопротез бесцементной фиксации.

    Елкин Д.В., Москва, Госпиталь ветеранов ?2.



    [ Ответить ]

    Re: Застарелый вывих бедра
    Рашид М. Тихилов 23 Июнь 2003, 21:39
    Выскажу свое мнение. Многое решится во время операции. Если головка будет мягкой и ее можно будет что называется пальцем пройти, то тогда однозначное решение в пользу протезирования. Если же явного остепороза не будет, то я бы попробовал сохранить сустав: открытое вправление, при этом максимально бережное обращение с задней огибающей артерией, скелетное вытяжение 5-6 недель, декомпрессия головки путем
    нанесения каналов диам. 8-10 мм из основания б/вертела до субхондрального слоя головки. Костыли до 3-4-х мес. с постепенной дозированной
    нагрузкой на ногу. Эндопротез от этого очень молодого человека никуда не уйдет, если есть хоть какой-то шанс, то его надо дать пациенту, иногда чудеса все же бывают.
    С уважением, Р.Тихилов.
    [ Ответить ]

    • Re: Застарелый вывих бедра
      Отправитель: Елкин Д. 24 Июнь 2003, 00:15
      Сбрасывать со счетов возможность восстановления головки бедра мы конечно не можем. Но при определении тактики необходимо учитывать еще и то, насколько продолжителен будет реабилитационный период. Во-первых, молодой человек, вероятно, хочет вернуться к работе (хотя сомнительно, что работающий человек где-то провел 7 мес. с ввихнутым бедром) как можно скорее. Во-вторых, чем дольше затянется вынужденное бездействие конечности (реально, по-моему в 4 месяца здесь не уложиться - минимум 6), тем труднее будет восстановить ее нормальную функцию. Поэтому, думаю, что эндопротезирование все-таки предпочтительнее. Альтернатива (восстановление головки бедра) все-таки очень призрачна и ненадежна.

      [ Ответить ]
    • Re: Застарелый вывих бедра
      Отправитель: Alexander Chelnokov 24 Июнь 2003, 15:12
      Глубокоуважаемый Рашид Муртузалиевич,

      Monday, June 23, 2003, 9:31:05 PM, you wrote:

      РМТ> однозначное решение в пользу протезирования. Если же явного
      РМТ> остепороза не будет, то я бы попробовал сохранить сустав: открытое
      РМТ> вправление, при этом максимально бережное обращение с задней

      Действительно, ведь был же (до сих пор есть?) вариант ведения больного с аваскулярным некрозом без грубой деформации головки - разгрузка сустава до реваскуляризации и восстановления ее структуры.

      [ Ответить ]
    • Re: Застарелый вывих бедра
      Отправитель: Ильдар Ф. Ахтямов 26 Июнь 2003, 12:24
      Узнаю "друга Васю" - детского ортопеда. Недавно перечитывал твои публикации по патологии ТБС у детей (готовлю учебное пособие для студентов). Все знаем, что болезнь Пертеса имеет у детей и подростков стадию восстановления, но у взрослых при АНГБК этого не встречается. Другое дело, если в данном случае имеются только явления выраженного пороза, что оставляет ту призрачную
      надежду на успех при попытке "реваскуляризации", которую ты высказал.
      Считаю, что в этом случае лучше идти на бесцементное эндопротезирование.
      АИФ.

      [ Ответить ]
    Re: Застарелый вывих бедра
    Виктор Парфентьевич Волошин 25 Июнь 2003, 02:27
    Достаточно редко приходится встречаться с застарелыми вывихами бедра такой давности. Но раза 2-3 в год попадает. На сроках до 2 мес. можно согласиться с РМТ, но при более поздних шансов на длительную функцию тазобедренного сустава у больного не просматривается. А может и вообще не быть "светлого промежутка". Даже такой сторонник восстановительных вмешательств при последствиях повреждений тазобедренного сустава как О.Ш. Буачидзе в таких случаях склоняется к первичному эндопротезированию. А у ЭСИ есть и новые, не скомпрометированные модели:))).
    В.Волошин, МОНИКИ.
    [ Ответить ]

    Re: Застарелый вывих бедра
    ALTAY JAFAROV 26 Июнь 2003, 12:28
    Глубокоуважаемые коллеги,
    советую не торопиться с протезированием (тем более ЭСИ), сколько 25 летнему парню предстоит после этого РЕВИЗИОННЫХ протезирований? предлагаю артродезирование с использованием аутопластики

    с уважением Алтай Джафаров
    Баку, Азербайджан
    [ Ответить ]

    Подумайте о эндопротезе Biomet!
    Дмитрий Торопов 09 Июль 2003, 18:43
    Не знаю, на чем основывается выбор ЭСИ, но цементный Таперлок Биомет сравним по цене с ЭСИ, бесцементный немногим дороже, при этом отличное качество и клиническая история (он простоит не менее 20 лет)
    [ Ответить ]


    ( Ответить )

    Powered by Zope  Squishdot Powered MedLink
    Посетитель: 0163463
      "По форме правильно, а по существу - издевательство" В.И.Ленин
    ©2001-2019Orthoforum Coordinator.
    [ Главная | Отправить сообщение | Поиск | Админ ]