вверх
отправить
поиск
админ
главная
|
Эндопротезирование на фоне последствий политравмы |
 |
 |
 |
Отправлено Рунков А.В. 09 Июль 2003, 14:06
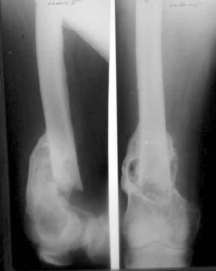
Пациент 53 лет травма 25.11.02. в салоне автомашины, получил множественные переломы ребер с ушибом легких и гемопневмотораксом, ротационно нестабильное повреждение таза: перелом боковых масс крестца, разрыв лонного сочленения, оскольчатый поперечный юкстатектальный перелом левой вертлужной впадины с центральным вывихом бедра и сегментарным переломом головки, перелом крыла правой подвздошной кости. Открытый многооскольчатый перелом костей правого предплечья, перелом правого бедра в нижней трети, перелом надколенника слева, перелом лодыжек левой голени с переломом заднего края левой большеберцовой кости подвывмхом стопы.Бедро срослось на вытяжении, лодыжки в гипсе, предплечье в аппарате. Под наше наблюдение попал 25.03.03. Выполнен чрескостный остеосинтез таза, с постепенной коррекцией положения отломков, затем 28.04.03 реконструкция вертлужной впадины для эндопротеза, синтез лонного сочленения. В настоящее время ходит с костылями, беспокоят боли в левом тазобедренном суставе, прогрессирует деформация головки. То есть в ближайших планах - эндопротезирование этого сустава. Однако смущает ряд моментов: В частности, на стороне предполагаемого эндопротезирования (левой) имеется разрыв собственной связки ниже надколенника, который подпаян к бедру (видно на фото сидя), то есть активного разгибания голени нет. А на правой стороне имеется штыкообразная деформация бедра, нет полного разгибания коленного сустава, хотя конечность опороспособна; ортопедическое укорочение 3 см.Вопросы: Что делать с левым надколенником и 4-главой мышцей? Восстанавливать ли ось и длину правого бедра? Если не трогать правое бедро, то на сколько компенсировать укорочение при эндопротезировании?
<
|
>
|
|
Ответить
|
Re: Эндопротезирование на фоне последствий политравмы
Evgueny Tchekashkine 09 Июль 2003, 22:14
|
В идеальных условиях хорошо бы иметь и активное разгибание в левом коленном суставе, полный объём движений и физиологическую ось правого бедра с полноценным объёмом движений в коленном суставе. Но в данном конкретном случае до идеала очень далеко, и если сам больной на первый план ставит боли в т.б суставе и адаптирован к отсутствию разгибания в левом коленном суставе, то, видимо, логичным было бы начать с эндопротезирования.
Я бы не стал планировать эндопротезирование из расчета 3 см укорочения противоположной ноги по той причине , что оно является результатом сгибательной контрактуры коленного сустава и неправильного сращения перелома бедра, которое может быть коррегируемо. Все зависит от того, на что настроен сам больной, избавление от болей в
т/б суставе, восстановление разгибательного аппарата левого коленного сустава, восстановление оси правого бедра, отсюда и должна складываться тактика лечения.
Удачи,
Евгений Чекашкин
|
[
Ответить ]
|
Re: Эндопротезирование на фоне последствий политравмы
Terry Finlayson 10 Июль 2003, 02:52
|
Tough case!
1. I would take down right femur nonunion and correct translation (it looks at very high risk to refracture), shortening and mild flexion deformity (these latter two corrections look like they would gain at least 1 cm of length.
2. Explore left knee/extensor mechanism. If adequate patellar tendon/quad tendon integrity and at least 60 degrees arc of motion (including full extension), I would attempt extensor mechanism repair/reconstruction (the specifics would depend on the exact findings). If repair/reconstruction not feasible or ROM too limited I would proceed to knee arthrodesis, at which time 1-2 cm shortening of left side could be done.
3. Left THA can be done, but I wouldn't try to shorten very much at THA site because he's already short due to protrusio (compare levels of lesser trochanters to your reference of choice on the pelvis) and any significant shortening at hip may lead to poor abductor tension and attendant risk of dislocation (offset stem and liner options may allow correction for these).
4. If left hip pain is main problem, I would consider doing all left extremity procedures initially; however, I'd be concerned about that malunion on the right absorbing more loading.
Terry I. Finlayson, M.D.
Alpine Orthopaedic Specialists
2380 North 400 East Suite A
North Logan, UT 84341
|
[
Ответить ]
|
Re: Эндопротезирование на фоне последствий политравмы
M. Bryan Neal, MD 10 Июль 2003, 11:16
|
I would not address the healed distal femor on the right. Leave it alone for now.
I would, I think, manipulate the left knee (expect little improvment but maybe one is surprised), total hip on left. Since right is short, shorten the left during the total hip as one can without compromise of the implant and the
add lift to other sided as needed.
Good luck.
Sincerely and respectively,
M. Bryan Neal, MD
Arlington Orthopedics and Hand Surgery Specialists, Ltd.
1100 W. Central Road, Suite 304
Arlington Heights, Illinois 60005
|
[
Ответить ]
|
( Ответить )
|
|