AOTRAUMA.ORG Центр Илизарова  

Ортопедия и травматология Общие вопросы/General questions Help Информационные технологии в медицине
 вверх
 отправить
 поиск
 админ
 главная


Перелом Barton
Ортопедия и травматология Отправлено Сергей Зырянов 24 Октябрь 2003, 16:34
08 сентября 108 сентября 221 октября 121 октября 2
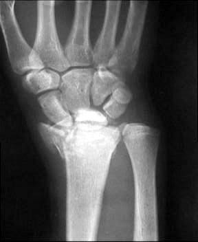
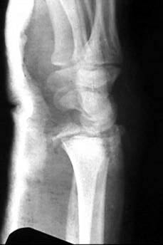
Больной из соседнего района 17 лет получил травму 8 09 03. Перелом по классификации E.Muller -В2
Неполный внутрисуставной перелом лучевой, тыльного края (Barton) Наложена гипсовая повязка рис 08 09. Через месяц на контрольной рентгенограмме найдено вывих л\з сустава. Рентгенограмма при обращении в нашу больницу 21 10 03 рис 21 10. На данные момент имеется умеренно выраженная контрактура, умеренные нейровегетативные нарушения.Обдумываем несколько вариантов лечения:1) Продолжить консервативное лечение и провести артродез, если останется болевой синдром.2) Провести открытую репозицию, устранить вывих, фиксировать отломок пластиной по тыльной поверхности.3) Провести артродез в лучезапястном суставе

<  |  >

 

  • Сообщения о Ортопедия и травматология
  • Также Сергей Зырянов
  • Связаться с автором
  • Ответить

    Re: Перелом Barton
    Alexander Chelnokov 25 Октябрь 2003, 21:31
    S> 1) Продолжить консервативное лечение и провести артродез, если останется болевой синдром.

    Артродез IMHO тут вряд ли понадобится, это ж не голеностопный сустав.

    S> 2) Провести открытую репозицию, устранить вывих, фиксировать
    S> отломок пластиной по тыльной поверхности.

    Да, наверно, что-то в этом направлении. Как вариант - чрез небольшой доступ по лучевой стороне раскачать/мобилизовать смещенный фрагмент эпифиза луча, наложить дистракционный аппарат, "схватив" II-III пястные кости и предплечье (в среднем положении между пронацией и супинацией); ввести две спицы с упорами в лучевую кость с перекрестом
    на протяжениии, одну в локтевую (только чтоб выключить ротацию), дистракцией восстановить взаимоотношения, затем фиксировать фрагмент во вправленном положении спицей с упором и освободить кисть.
    [ Ответить ]

    Re: Перелом Barton
    Проф. Б.Ш. Минасов 20 Ноябрь 2003, 19:15
    Наше предложение: Наложить дистракционный аппарат для растяжения лучезапястного сустава, низведения отломка, устранения вывиха (2 нед.). Тыльным доступом провести открытую репозицию с фиксацией углообразно-фиксированной пластиной (LCP). Ведение без внешней иммобилизации.
    [ Ответить ]

    Re: Перелом Barton
    Сергей Зырянов 23 Ноябрь 2003, 11:24
    Прооперировали. Провели откытую репозицию , фиксацию спицами, иммобилизация гипсовой повязкой.

    НСО г Куйбышев ЦРБ
    Зырянов Сергей
    Кликните для загрузки файла 28 10 03 _.jpg
    6KB (6660 bytes)

    [ Ответить ]


    ( Ответить )

    Powered by Zope  Squishdot Powered MedLink
    Посетитель: 0217434
      "По форме правильно, а по существу - издевательство" В.И.Ленин
    ©2001-2019Orthoforum Coordinator.
    [ Главная | Отправить сообщение | Поиск | Админ ]