вверх
отправить
поиск
админ
главная
|
Исход остеолиза локтевой кости |
 |
 |
 |
Отправлено Alexander Chelnokov 30 Октябрь 2003, 16:06
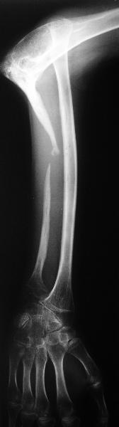
Молодой человек 2-3 года назад наблюдался по поводу прогрессирующего остеолиза правой локтевой кости. Морфологически - гемангиома, возможно, ангиомоподобный остеолиз (болезнь Gorham-Stout). Получал лучевую терапию. К настоящему времени остеолиз не прогрессирует. Однако сформировался вывих лучевой кости. Рентгенограмма и функция - см. иллюстрации. Пациенту хотелось бы улучшить функцию. Что можно предложить? Постепенное вправление аппаратом, замещение дефекта локтевой кости, резекцию головки лучевой, оставить как есть, что-то еще?
<
|
>
|
|
Ответить
|
Re: Исход остеолиза локтевой кости
Evgueny Tchekashkine 07 Ноябрь 2003, 15:14
|
Попытаться впаравить головку луча в аппарате можно, но маловероятно, что функция от этого улучшится.
Коль скоро головка лучевой кости находится вне сустава, то это привело к необратимым изменениям суставного хряща.
У меня была одна больная с 3 мес давности вывихом локтевого сустава При попытке открытого вправления весь суставной хрящ напоминал по виду яичную скорлупу и хотя удалось все-таки вправить вывих - суставные взаимоотношения были восстановлены -функция от этого нисколько не улучшилась, как был сустав тугоподвижный так и остался.
У парня сносный объем движений, понятно, что не в суставе от которого уже ничего не осталось, а за счет движений лучевой головки в мягких тканях.
Можно подумать об эндопротезировании, но только подумать :-))
Ближайшие результаты вполне привлекательны, а потом остеолиз, ревизия и т.д. Посоветуюсь с местными мастерами, итересно, что они предложат.
Всего доброго,
Евгений Чекашкин
|
[
Ответить ]
|
Re: Исход остеолиза локтевой кости
Отправитель: Evgueny Tchekashkine 10 Ноябрь 2003, 08:11
|
Как обещал, проконсультировался с местным ортопедом по поводу представленного случая - тактика консервативная.
Что вы решили?
Заоранее благодарен,
Евгений Чекашкин
|
[
Ответить ]
|
|
Re: Исход остеолиза локтевой кости
Anatoly Yakushin 07 Ноябрь 2003, 15:15
|
Учитывая перенесенную пациентом лучевую терапию и вполне удовлетворительную функцию, я бы воздержался от любых видов вмешательства и оставил все, как есть.
--
Rgrds,
Anatoly A. Yakushin
Orthopaedic departmen
Veteran's Hospital # 3
Moscow
|
[
Ответить ]
|
Re: Исход остеолиза локтевой кости
Виталий Евгеньевич Казеннов 07 Ноябрь 2003, 15:16
|
Судя по рентгенограмме, сформировался плечелоктевой артродез под углом около 90 градусов, поэтому тот объем движений, который выполняет пациент, обеспечивается за счет дефекта локтевой кости.
Мое мнение -- целесообразно воздержаться от оперативного лечения.
В.Е.Казённов
|
[
Ответить ]
|
Re: Исход остеолиза локтевой кости
Myles Clough 08 Ноябрь 2003, 13:39
|
Massive Osteolysis (AKA Gorham's) is perennially fascinating. This case is very similar to the one I inherited after successful treatment of the original presentation with a vascularised free fibular graft.
The free fibular graft worked well in that case and I wonder if it wouldn't be the correct thing to do in your case combined with gradual reduction of the dislocation. Certainly I cannot see how the reduction could be maintained long term unless the ulna was reconstructed. The question of how much better the patient's finction would be even with successful surgery is really difficult. I would stress potential improvements in strength rather than any promises about range of motion.
Against interference would be the unknown nature of the underlying condition. If surgery to implant a fibular graft sets off a new process of osteolysis you could make him worse and lead to an amputation. I don't believe anyone in the world has enough experience with these sorts of cases
to say what will happen.
Myles Clough mylesclough@shaw.ca
Orthopaedic Surgeon, Kamloops, BC, Canada
Clinical Instructor, University of British Columbia
President, Internet Society of Orthopaedic Surgery and Trauma
http://www.isost.com
Editor, OWL (Orthopaedic Web Links) http://www.orthopaedicweblinks.com
|
[
Ответить ]
|
Re: Исход остеолиза локтевой кости
Dr. Diego A. Artiles Granda 08 Ноябрь 2003, 13:49
|
I suggest por this patient the "Hey-Grooves" technique.
Resection of the proximal third of the Radius, and join the last two thirds, to the proximal end of the Ulna. You can fix with plate and screws or screws alone. Onlay-inlay type.
Dr. Diego Artiles
City of Havana
Cuba
|
[
Ответить ]
|
Re: Исход остеолиза локтевой кости
Проф. Б.Ш. Минасов 20 Ноябрь 2003, 18:42
|
Уважаемый коллега. Для постановки диагноза хотелось бы увидеть рентгеновские снимки до проведения лучевой терапии, функциональное состояние верхней конечности до лучевой терапии. Сообщите пожалуйста режим проведения лучевой терапии, детальную пато-морфологическую картину. Вызывает сомнение установленный диагноз и состояние структурно-функциональных стереотипов.
По возможности хотелось бы увидеть функциональные рентгенограммы в положении макс. сгибания/разгибания и пронации/супинации.
С уважением, проф. Минасов Б.Ш.
г. Уфа, каф. травматологии и ортопедии ИПО
|
[
Ответить ]
|
( Ответить )
|
|