AOTRAUMA.ORG Центр Илизарова  

Ортопедия и травматология Общие вопросы/General questions Help Информационные технологии в медицине
 вверх
 отправить
 поиск
 админ
 главная


Реабилитация после эндопротезирования
Ортопедия и травматология Отправлено Александр Клоков 18 Ноябрь 2003, 00:09
1
Вопрос, наверное, прежде всего протезистам. Хотя, если я ошибаюсь, поправьте меня пож-ста.
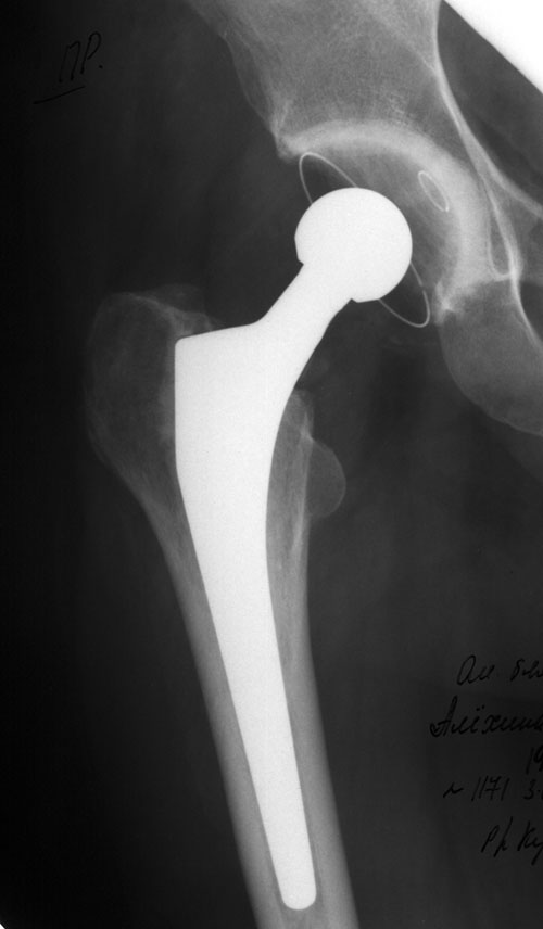
Нашей коллеге (оперирующая врач-гинеколог) 3 года назад произвели тотальное эндопротезирование правого тазобедренного сустава протезом <Протек> фирмы <Зульцер>.На сегодняшний день жалоб нет. Продолжает работать по специальности, двигаться в течение дня приходится достаточно много.Вопрос таков: спустя 3 года после подобной операции какая разрешена нагрузка (сколько ~ км в день), какова нужна реабилитация и как часто. Вообщем, нужны рекомендации по образу жизни (что можно, а чего нельзя). А также очень просила коллега подсказать приблизительный комплекс ЛФК или дать ссылку на подобную информацию.В приложении Rg от 03.01.2003 г. и история болезни в архиве zip из стационара, где оперировали.Заранее сильно благодарю,с уважением,Клоков Александр.

<  |  >

 

  • Сообщения о Ортопедия и травматология
  • Также Александр Клоков
  • Связаться с автором
  • Файл-вложение
  • Кликните для загрузки файла история болезни АНП.zip
    5KB (5829 bytes)

  • Ответить

    Re: Реабилитация после эндопротезирования
    Anatoly Yakushin 18 Ноябрь 2003, 19:48
    Честно говоря, коллега, Вы задаете несколько странные вопросы.
    О какой реабилитации может идти речь через три года после операции?
    Из Вашего письма это совершенно непонятно.
    У больной имеются ли в настоящее время:
  • 1. Боли

  • 2. Ограничение движений в оперированной конечности

  • 3. Укорочение длины конечности

    Больные оперированные в нашей клинике такими же протезами, ведут обычный образ жизни в соответствии со своим возрастом и физическим состоянием. Как правило, в специальном лечебно-охранительном режиме, равно как и в реабилитации эти больные не нуждаются.
    [ Ответить ]

    • Re: Реабилитация после эндопротезирования
      Отправитель: Александр Клоков 18 Ноябрь 2003, 20:14
      >О какой реабилитации может идти речь через три года после операции?

      Я прошу прощения за свою некомпетентность, но мне всегда казалось, что какой-то элемент поддерживающей терапии (как-то ЛФК, массаж и т.п.) должен иметь место у подобных больных на протяжении всей жизни.

      >Из Вашего письма это совершенно непонятно.
      >У больной имеются ли в настоящее время:
      >1. Боли

      боли нет и я об этом писал

      >2. Ограничение движений в оперированной конечности

      нету

      >3. Укорочение длины конечности

      со слов самой пациентки - около 1,5-2 см

      >Больные оперированные в нашей клинике такими же протезами, ведут
      >обычный образ жизни в соответствии со своим возрастом и физическим
      >состоянием. Как правило, в специальном лечебно-охранительном режиме,
      >равно как и в реабилитации эти больные не нуждаются.

      И нет никаких ограничений по физической нагрузке?

      [ Ответить ]
    Re: Реабилитация после эндопротезирования
    Ильдар Ф. Ахтямов 18 Ноябрь 2003, 19:51
    Имею наблюдение "один в один" со сроком давности 7 лет после операции тотального ЭПТБС протезом Эскулап врачу гинекологу (оперирует). Проблем нет. Танцует, катается на горных лыжах. Вот и вся реабилитация. АИФ.
    [ Ответить ]

    Re: Реабилитация после эндопротезирования
    Елкин Д. 29 Ноябрь 2003, 01:44
    К рекомендациям по образу жизни в таких случаях подход можно встретить разный. Некоторые говорят, что никаких ограничений по нагрузкам не нужно и можно делать все - танцевать, кататься на горных лыжах и т.п. Однако, мне представляется более правильным следующий подход. Хотя-бы потому, что искусственный сустав, какой бы качественный швейцарский-немецкий-американский он ни был, в отличие от живых тканей организма, не обладает способностью к самовосстановлению, т.е. с течением времени происходит его износ. Минимальный - но происходит. Исходя из этого, думаю, более правильно рекомендовать полную свободу в выполнении бытовых функций при ограничении ношения тяжестей более 10 кг, недопустимость занятий травматичными видами спорта (в т.ч. и горные лыжи), "вкалывания" на дачном участке и т.п. При длительной ходьбе целесообразно использовать трость для дополнительной опоры. Успешный опыт отдельных прооперированных несколько лет назад пациентов, продолжающих активный занятия спортом, не может служить ориентиром, так как срок функционирования эндопротеза должен исчисляться десятками лет, а не годами. А угрозу нестабильности эндопротеза мы обязаны минимизировать. Субъективно прооперированный пациент может не ощущать никакого дискомфорта, но помнить о необходимости щадящего отношения к имплантированной конструкции он обязан. Вот с укорочением нужно разобраться. Здесь на субъективную оценку самим пациентом полагаться ни в коем случае нельзя. Укорочение должен определить ортопед, клинически и по рентгенограммам таза. Необходимо также сравнить степень укорочения с тем, который был (или не был) непосредственно после операции. Если укорочение нарастает, необходимо разобраться из-за чего оно происходит.
    [ Ответить ]

    • Re: Реабилитация после эндопротезирования
      Отправитель: Anatoly Yakushin 01 Декабрь 2003, 09:17
      > Елкин Д. 29 Ноября 2003, 01:44
      > К рекомендациям по образу жизни в таких случаях подход можно встретить
      > разный.
      Вопрос это действительно непростой, или как сейчас модно говорить в рассылках - флеймообразующий, но все же выскажу свое мнение.
      Кстати, мы об этом иногда спорим даже в рамках отделения :) Но высказаться все равно хочу.

      > Некоторые говорят, что никаких ограничений по нагрузкам не
      > нужно и можно делать все - танцевать, кататься на горных лыжах и т.п.
      > Однако, мне представляется более правильным следующий подход. Хотя-бы
      > потому, что искусственный сустав, какой бы качественный
      > швейцарский-немецкий-американский он ни был, в отличие от живых тканей
      > организма, не обладает способностью к самовосстановлению, т.е. с
      > течением времени происходит его износ. Минимальный - но происходит.

      Исходя из своего двенадцатилетнего опыта протезирования могу сказать, что проблема износа компонентов эндопротеза весьма надуманна. Если эндопротез не имеет конструктивных недостатков, его износ существенно превышает сроки возможной нестабильности, которая вызвана обычно проблемами интерфейса кость-имплантат.
      Наиболее оптимальным способом профилактики нестабильности является именно активность пациента. Искусственное ограничение активности без
      медицинских на то показаний - это прямой путь к нестабильности эндопротеза.
      Конечно - занятия экстремальными видами спорта это с одной стороны, перебор. Но если пациент стремился восстановить свое качество жизни, то что он выиграет от ограничения своей активности? А на горных лыжах и абсолютно здоровый человек может получит фатальную травму, это каждый травматолог знает непонаслышке.


      > Исходя из этого, думаю, более правильно рекомендовать полную свободу в
      > выполнении бытовых функций при ограничении ношения тяжестей более 10
      > кг, недопустимость занятий травматичными видами спорта (в т.ч. и
      > горные лыжи), "вкалывания" на дачном участке и т.п. При длительной
      > ходьбе целесообразно использовать трость для дополнительной опоры.

      Для чего?. И как вы, коллега, определили, что вот именно десять кг поднимать можно, а 11 уже нельзя. И что считать длительной ходьбой? Хотелось бы видеть обоснование подобных критериев.

      > Успешный опыт отдельных прооперированных несколько лет назад
      > пациентов, продолжающих активный занятия спортом, не может служить
      > ориентиром, так как срок функционирования эндопротеза должен
      > исчисляться десятками лет, а не годами. А угрозу нестабильности
      > эндопротеза мы обязаны минимизировать. Субъективно прооперированный
      > пациент может не ощущать никакого дискомфорта, но помнить о
      > необходимости щадящего отношения к имплантированной конструкции он
      > обязан.

      Я своим больным рекомендую как можно скорее забыть о том, что у них была подобная операция. Постоянное напоминае об этом приводит к так называемому "комплексу Терминатора", с которым крайне тяжело бороться даже опытным психологам.

      > Вот с укорочением нужно разобраться. Здесь на субъективную
      > оценку самим пациентом полагаться ни в коем случае нельзя. Укорочение
      > должен определить ортопед, клинически и по рентгенограммам таза.
      > Необходимо также сравнить степень укорочения с тем, который был (или
      > не был) непосредственно после операции. Если укорочение нарастает,
      > необходимо разобраться из-за чего оно происходит.
      >
      С укорочением действительно нужно разобраться.

      [ Ответить ]
      • Re: Реабилитация после эндопротезирования
        Отправитель: Елкин Д. 02 Декабрь 2003, 02:46
        >проблема износа компонентов эндопротеза весьма >надуманна. Если эндопротез не имеет >конструктивных недостатков, его износ >существенно превышает сроки возможной >нестабильности, которая вызвана обычно >проблемами интерфейса кость-имплантат.

        Эта проблема не может быть надуманной хотя бы потому, что сами производители протезов указывают среднюю величину износа пары трения, проводились такие исследования и у нас, в лаборатории ЦИТО и МАТИ. Если она существует, то значит будут факторы, усиливающие и уменьшающие ее. А проблемы интерфейса "кость-имплантат" многие связывают с пролемой воздействия продуктов износа в узле трения.

        >Искусственное ограничение активности без
        >медицинских на то показаний - это прямой путь к >нестабильности эндопротеза.
        >Конечно - занятия экстремальными видами спорта >это с одной стороны, перебор. Но если пациент >стремился восстановить свое качество жизни, то >что он выиграет от ограничения своей активности?

        А ограничение нормальной активности никто и не предлагает, но рекомендовать пациенту продолжать играть в футбол или теннис не очень логично. Если речь идет даже и не о фатальной травме, то нельзя не признать, что травмирование в области имплантированного эндопротеза будет представлять более сложную проблему, чем у здорового человека. То есть человек на самом деле от разумного отношения к своему здоровью выигрывает очень много.

        >Для чего?. И как вы, коллега, определили, что >вот именно десять кг поднимать можно, а 11 уже >нельзя. И что считать длительной ходьбой? >Хотелось бы видеть обоснование подобных >критериев.

        Все для того же - для уменьшения нагрузки и, следовательно, минимизации износа. 10кг во-первых, потому, что в определенные фазы ходьбы нагрузка на тазобедренный сустав может быть 4-5 кратной и 10кг потянут уже на 40-50, а это уже около 50% массы тела среднего человека. Более того, в некоторых рекомендациях по образу жизни после эндопротезирования, в т.ч. и зарубежных (точные источники указать не могу, но можете поверить, они есть в природе) нагрузка лимитируется вообще 5 кг. Под длительно ходьбой понимаем более 600 м. Конечно, это может выглядеть странным (я имею в виду сами цифры), но определенный ориентир для пациента мы обязаны указать, а здравомыслящий человек вполне может понять, что если он поднимет 11,5 кг и пройдет 650м - большой беды не будет, а вот дальше нужно семь раз отмеить.

        >Я своим больным рекомендую как можно скорее >забыть о том, что у них была подобная операция. >Постоянное напоминае об этом приводит к так >называемому "комплексу Терминатора", с которым >крайне тяжело бороться даже опытным психологам.

        Понятно, разный подход - разные рекомендации. Про комплекс Терминатора с удовольствием почитаю, если подскажете статьи или монографии, сам, признаться, не встречал. Однако, Вы и сами прекрасно знаете, что подверженность психическим расстройствам у всех разная и приблизительно определить кто перед тобой - ипохондрик или одержимый идеей, что ему море по колено - врач должен уметь. И это должно играть определенную роль и в выборе рекомендаций.


        [ Ответить ]
      • Re: Реабилитация после эндопротезирования
        Отправитель: Евгений Л. Паклин 04 Декабрь 2003, 20:07
        Ваши комментарии затрагивают одну из сложных и спорных проблем эндопротезирования.

        AAY> Исходя из своего двенадцатилетнего опыта протезирования могу сказать,
        AAY> что проблема износа компонентов эндопротеза весьма надуманна.

        Да, вы безусловно правы, но надо договориться о планируемом сроке жизни эндопротеза. Если речь идет о 5-7 или 10 годах, то износ, действительно, невелик. Но с каждым годом проблемы, связанные с появлением продуктов износа, начинают нарастать.

        AAY> Если
        AAY> эндопротез не имеет конструктивных недостатков, его износ существенно
        AAY> превышает сроки возможной нестабильности, которая вызвана обычно
        AAY> проблемами интерфейса кость-имплантат.

        А чем вызвано появление проблем в этом интерфейсе? Есть устоявшаяся и доказанная точка зрения, что именно продукты износа являются основной первопричиной возникновния нестабильности. Собственно поэтому фирмы-производители стремятся максимально снизить трение и уменьшить количество частиц, в первую очередь, полиэтилена. Пути решения разные: уменьшение размера головки,
        переход на керамические головки, на пару трения металл-металл или керамика-керамика и т.д.
        Или все-таки основная причина возникновения нестабильности какая-то другая?

        [ Ответить ]
        • Re: Реабилитация после эндопротезирования
          Отправитель: Anatoly Yakushin 04 Декабрь 2003, 20:15
          > Ваши комментарии затрагивают одну из сложных и спорных проблем
          > эндопротезирования.
          Я с Вами абсолютно согласен и прямо указал это в своем прошлом письме.
          >
          > AAY> Исходя из своего двенадцатилетнего опыта протезирования могу сказать,
          > AAY> что проблема износа компонентов эндопротеза весьма надуманна.
          > Да, вы безусловно правы, но надо договориться о планируемом сроке жизни
          > эндопротеза. Если речь идет о 5-7 или 10 годах, то износ, действительно,
          > невелик. Но с каждым годом проблемы, связанные с появлением
          > продуктов износа, начинают нарастать.

          Несомненно, проблема износа существует. Однако я не думаю, что ограничение физической активности пациента может существенно повлиять на этот процесс.

          > AAY> Если
          > AAY> эндопротез не имеет конструктивных недостатков, его износ существенно
          > AAY> превышает сроки возможной нестабильности, которая вызвана обычно
          > AAY> проблемами интерфейса кость-имплантат.
          > А чем вызвано появление проблем в этом интерфейсе? Есть устоявшаяся и
          > доказанная точка зрения, что именно продукты износа являются основной
          > первопричиной возникновния нестабильности.

          Устоявшаяся да, доказанная - не думаю. Процесс развития нестабильности сложен и многолик, и в первую очередь определяется качеством кости.
          Естественное старение организма пациента, элементы остеопороза, перенесенные сопутствующие заболевания и еще целый ряд причин, среди которых и продукты износа. Но не думаю, что они в данном процессе имеют решаюшее значение.
          В оценке данной проблемы я в первую очередь исхожу из собственного опыта, имея возможность наблюдать и ревизовать больных, оперированных в 80-е годы и ранее. Иногда во время ревизии компоненты протеза выглядят как "новые", без малейших признаков износа, при этом имплантат удаляется руками.
          Иногда действительно наблюдается присутствие продуктов износа, однако это типично для тех случаев, когда было механическое повреждение компонентов, либо конструктивный дефект (как в старой бесцементной чашке МЕМ). Данные наблюдения подтверждены и гистологически.


          > Собственно поэтому фирмы-производители стремятся
          > максимально снизить трение и уменьшить количество частиц, в первую
          > очередь, полиэтилена. Пути решения разные: уменьшение размера головки,
          > переход на керамические головки, на пару трения металл-металл или
          > керамика-керамика и т.д.

          Вы извините меня за некоторую резкость, но фирмы-производители в первую очередь стремяться продать товар.
          На моей памяти переходили на керамику, потом критиковали керамику, потом был металл-металл, потом металл-керамика и т.д. Я говорю о том, что исходя из личного опыта, прямой корреляции между качеством пары трения и стабильностью нет.
          У меня наблюдается несколько старушек, оперированных еще Константином Митрофановичом, рентгенологически есть конечно умеренная нестабильность, но ничего, ходят. :)
          Качество пары титан-титан общеизвестно :)

          > Или все-таки основная причина возникновения нестабильности какая-то другая?
          >
          Несомненно другая. Еще раз скажу, что процесс этот крайне сложный, чтобы говорить о том, что мы полностью понимаем его природу.

          [ Ответить ]
          • Re: Реабилитация после эндопротезирования
            Отправитель: Евгений Л. Паклин 04 Декабрь 2003, 20:34
            AAY> Несомненно, проблема износа существует. Однако я не думаю, что
            AAY> ограничение физической активности пациента может существенно повлиять
            AAY> на этот процесс.
            Это предположение. Возможно, что вы правы. Но согласитесь, что в таких утверждениях надо четко определиться в терминологии: что значит "ограничение физической активности" и где критерий "существенного влияния".

            Если следовать ранее предложенным ограничениям, то это прогулка 600м и добавочный вес 10кг. Или это все-таки другие границы? (мне приходилось сталкиваться с рекомендациями не превышать среднедневную прогулку в 5 км)

            AAY> Устоявшаяся да, доказанная - не думаю.

            Попробую быстро найти статьи на эту тему. Если не выложу, готов снять слово "доказанная".
            Если не возражаете, мы продолжим эту тему несколько позднее.


            AAY> Вы извините меня за некоторую резкость, но фирмы-производители в
            AAY> первую очередь стремяться продать товар.

            Вы правы, конечно. Но продаже всегда предшествует огромная работа по исследованию причин, устранению ..., совершенствованию ... и т.д.
            Понимаю ваше отношение, но, согласитесь, прогресс в эндопротезировании бесспорен. Безусловно, некоторые фирмы применяют изощренные и агрессивные методы рекламы и маркетинга, и, к сожалению, не всегда утверждения являются доказанными и впоследствии подтверждаются клиническими результатами.

            AAY> На моей памяти переходили на керамику, потом критиковали керамику,

            да, вы правы. Керамика бывает двух видов - Al (оксид алюминия) и Zr(оксид циркония). Так вот критиковали (а сейчас почти везде отказались) от применения керамического оксида циркония. От алюминиевой керамики никто не отказывался.

            [ Ответить ]
            • Re: Реабилитация после эндопротезирования
              Отправитель: Anatoly A. Yakushin 05 Декабрь 2003, 21:27
              > Это предположение. Возможно, что вы правы. Но согласитесь, что в таких
              > утверждениях надо четко определиться в терминологии: что значит
              > "ограничение физической активности" и где критерий "существенного
              > влияния".

              Вот и я пытаюсь понять, где критерий и какими конкретными исследованиями он подкрепляется.
              К сожалению, мне не приходилось встречать массовых исследований на эту тему, с группами более 100 - 150 пациентов.

              > Если следовать ранее предложенным ограничениям, то это прогулка 600м и
              > добавочный вес 10кг. Или это все-таки другие границы? (мне приходилось
              > сталкиваться с рекомендациями не превышать среднедневную прогулку в 5
              > км)

              Вы знаете, мне приходилось встречаться с самыми разными рекомендациями, причем в пределах одной ортопедической школы, например, Швейцарской. Даже там нет единства по этому вопросу, хотя их опыт,
              наверное, бесспорен.

              > AAY> Устоявшаяся да, доказанная - не думаю.
              > Попробую быстро найти статьи на эту тему. Если не выложу, готов снять
              > слово "доказанная".
              > Если не возражаете, мы продолжим эту тему несколько позднее.

              Согласен и с интересом прочту статью, однако не думаю, что публикация одной статьи может поставить точку в этом вопросу.


              >
              > AAY> Вы извините меня за некоторую резкость, но фирмы-производители в
              > AAY> первую очередь стремяться продать товар.
              > Вы правы, конечно. Но продаже всегда предшествует огромная работа по
              > исследованию причин, устранению ..., совершенствованию ... и т.д.
              > Понимаю ваше отношение, но, согласитесь, прогресс в эндопротезировании
              > бесспорен. Безусловно, некоторые фирмы применяют изощренные и
              > агрессивные методы рекламы и маркетинга, и, к сожалению, не всегда
              > утверждения являются доказанными и в последствии подтверждаются
              > клиническими результатами.

              Прогресс бесспорен, однако некоторые тенденции не могут не огорчать. Я например, с большим сожалением смотрю на нынешнюю тенденцию отказа от
              22 мм головок. Таких сроков выживания протеза, как у Charnley и CDH, нет ни у кого больше.


              > AAY> На моей памяти переходили на керамику, потом критиковали керамику,
              > да, вы правы. Керамика бывает двух видов - Al (оксид алюминия) и
              > Zr(оксид циркония). Так вот критиковали (а сейчас почти везде
              > отказались) от применения керамического оксида циркония. От
              > алюминиевой керамики никто не отказывался.

              Да нет, я именно про алюмосиликаты, от циркония Бог миловал. :)
              Прекрасно помню острейшую полемику начала 90-х, когда те фирмы, что не успели наладить производство этих головок, критиковали Biolox за
              "пористость и хрупкость".
              И сейчас при рекламе metal-metal основной объект критики - это керамика. Хотя у керамики, на мой взгляд самый большой недостаток в другом - в
              тех случаях, когда вкладыш механически разрушается, неистираемая керамика крушит все на своем пути, что крайне затрудняет ревизию протеза.

              [ Ответить ]
              • Re: Реабилитация после эндопротезирования
                Отправитель: Евгений Л. Паклин 08 Декабрь 2003, 13:03
                Глубокоуважаемый доктор Якушин,

                AAY> Прогресс бесспорен, однако некоторые тенденции не могут не огорчать. Я
                AAY> например, с большим сожалением смотрю на нынешнюю тенденцию отказа от
                AAY> 22 мм головок.

                А кто формирует эту тенденцию? Ведь у многих фирм есть головки 22,2 мм. Спрос формируют скорее хирурги, нежели фирмы.
                Мне кажется, что причина постепенно ухода от 22,2мм головок достаточно проста: при их применении меньше угол возможных движений. При этом, как раз прогресс в улучшении свойств полиэтилена привел к тому, что разница между 22,2 и 28 мм головками стала несущественной, чего нельзя сказать о 32мм головках.

                AAY> Таких сроков выживания протеза, как у Chanley и CDH, нет ни у кого
                AAY> больше.

                Безусловно, и Chanley и CDH демонстрируют очень
                хорошие результаты на фоне других эндопротезов, использовавшихся 25-30 лет назад. И, к сожалению, сейчас уже не все помнят, что эти замечательные результаты достигнуты при обязательном применении моноблока именно с 22,2 мм головкой. Поэтому совершенно некорректно апроксимировать эти результаты на похожие ножки с 28 мм головкой.

                AAY> Да нет, я именно про алюмосиликаты, от циркония Бог миловал. :)
                AAY> Прекрасно помню острейшую полемику начала 90-х, когда те фирмы, что не
                AAY> успели наладить производство этих головок, критиковали Biolox за
                AAY> "пористость и хрупкость".

                И правильно делали, тем более что критиковали не только фирмы, но и хирурги, и именно за это. Но с тех пор ключевые параметры алюминиевой керамики кардинально улучшились, и, как следствие, вероятность раскола снизилась более чем в 1000 раз.

                AAY> Хотя у керамики, на мой взгляд самый большой недостаток в другом - в
                AAY> тех случаях, когда вкладыш механически разрушается, неистираемая
                AAY> керамика крушит все на своем пути, что крайне затрудняет ревизию протеза.


                Согласен, что у хирурга, столкнувшигося хотя бы один раз с ревизией по указанной вами причине, навряд ли появится желание использовать керамический вкладыш в будущем. Но с другой стороны, вероятность раскола современных качественных керамических компонентов снижена до ничтожно низкого уровня.

                С уважением,
                Паклин Евгений Львович

                [ Ответить ]
          • Re: Реабилитация после эндопротезирования
            Отправитель: Anatoliy Borzunov 04 Декабрь 2003, 21:29
            Проблемой эндопротезирования не занимаюсь, но в моем архиве есть статья Total Hip Replacement: A Guide for Patients. Форматирование и картинки потерялись при изменении формата, если кому необходимо вышлю на личный адрес. У нас МСЭК дает 3 группу ивалидности при эндопротезировании тазобедренного сустава, даже при отличном результате.

            Total Hip Replacement: A Guide for Patients
            University of Iowa Department of Orthopaedics
            Peer Review Status: Internally Peer Reviewed
            Creation Date: March 1986
            Last Revision Date: December 1999

            Department of Orthopaedic Surgery
            Orthopaedic Nursing Division,
            Department of Nursing
            Department of Physical Therapy
            The University of Iowa Hospitals and Clinics
            Welcome to the University of Iowa Hospitals and Clinics. This booklet will acquaint you with what to expect before, during, and after your total hip replacement. Your physician and nursing staff will be happy to answer any questions you have regarding your care.
            Introduction
            This booklet is designed to provide information about total hip replacement, and what to expect before and after this surgical procedure. Instructions are provided to help you prepare for surgery, recovery and rehabilitation.
            It is recommended that you read this booklet before your surgery and write down any questions you may have. If you have questions, please feel free to ask the professional health staff.
            The staff's goals are to restore your hip to a painless, functional status and to make your hospital stay as beneficial, informative, and comfortable as possible.
            Total Hip Replacement
            What is it?
            Total hip replacement is a surgical procedure for replacing the hip joint. This joint is composed of two parts - the hip socket (acetabulum, a cup-shaped bone in the pelvis) and the "ball" or head of the thigh bone (femur).
            During the surgical procedure, these two parts of the hip joint are removed and replaced with smooth artificial surfaces.
            The artificial socket is made of high-density plastic, while the artificial ball with its stem is made of a strong stainless metal.
            These artificial pieces are implanted into healthy portions of the pelvis and thigh bones and affixed with a bone cement (methyl methacrylate).
            Cementless total hip replacement
            An alternative hip prosthesis has been developed that does not require cement. This hip has the potential to allow bone to grow into it, and therefore may last longer than the cemented hip. This is an important consideration for the younger
            patient. In some cases, only one of the two components (socket or stem) may be fixed with cement and the other is cementless.
            This would be called a "Hybrid" hip prosthesis.
            When do we consider total hip replacements?
            Total hip replacements are usually performed for severe arthritic conditions. The operation is sometimes performed for other problems such as hip fractures or aseptic necrosis (a condition in which the bone of the hip ball dies). Most patients who have artificial hips are over 55 years of age, but the operation is occasionally performed on younger persons. Circumstances vary, but generally patients are considered for total hip replacements if:
            " pain is severe enough to restrict not only work and recreation, but also the ordinary activities of daily living
            " pain is not relieved by arthritis (anti-inflammatory) medicine, the use of a cane, and restricting activities
            " significant stiffness of the hip
            " x-rays show advanced arthritis, or other problems
            What can be expected of a total hip replacement?
            A total hip replacement will provide pain relief in 90 to 95 percent of patients. It will allow patients to carry out many normal activities of daily living. The artificial hip may allow you to return to active sports or heavy labor under your physician's instructions. Most patients with stiff hips before surgery will regain near-normal motion, and nearly all have improved motion.
            What are the risks of total hip replacement?
            Total hip replacement is a major operation. The effect of most complications is simply that the patient stays in the hospital longer. The most common complications are not directly related to the hip and do not usually affect the result of the operation. These include:
            " blood clots in the leg
            " urinary infections or difficulty urinating
            " blood clots in the lung
            Complications that affect the hip are less common, but in these cases, the operation may not be as successful:
            " difference in leg length
            " stiffness
            " dislocation of hip (ball pops out of socket)
            " infection in hip
            A few of the complications, such as infection or dislocation, may require reoperation. Infected artificial hips sometimes have to be removed, leaving a short (by one to three inches), somewhat weak leg, but one that is usually reasonably comfortable and one on which you can walk with the aid of a cane or crutches.
            How do artificial hips stand up over time?
            As we noted earlier, 90 to 95 percent of hip replacements are successful up to 10 years. The major long-term problem is loosening of the prosthesis. This occurs either because the cement crumbles (as old mortar in brick building) or because the bone melts away (resorbs) from the cement. By 10 years, 25 percent of all artificial hips will look loose on x-ray. Somewhat less than half of these (about 5% to 10% of all artificial hips) will be painful and require revision.
            Loosening is in part related to how heavy and how active you are. It is for this reason we do not operate on very obese patients or young, active patients. Loose, painful artificial hips can usually, but not always, be replaced. The results of a second operation are not as good as the first, and the risks of complications are higher.

            Preparing for Surgery

            Preparing for a total hip replacement begins several weeks ahead of the actual surgery date. Maintaining good physical health before your operation is important. Activities which will increase upper body strength will improve your ability to use a walker or crutches after the operation.
            A blood transfusion is often necessary after hip surgery. You may wish to donate several pints of blood prior to your surgery. Then if you require a transfusion you will receive your own blood. This is called autologous blood donation. The
            first donation must be given within 42 days of the surgery and the last, no less than seven days before your surgery. The
            usual amount of donation is two to four units, which requires separate visits to the blood center. The first donation must be
            given at this hospital, but the blood bank personnel will make arrangements to have the rest drawn at a blood center nearer
            your home. Blood taken elsewhere is transported here automatically, so you will not need to get involved with this.
            When donating blood, you must be healthy, without a cold, flu or infection, as you could get this same illness when your
            blood is transferred at the time of surgery. Eat a nourishing meal two to four hours prior to donation, and avoid strenuous
            exercise for twelve hours following the procedure.
            The blood donor center will check the blood count before drawing additional units. A prescription for iron will be given.
            Iron may be constipating for some people, so sometimes a stool softener is prescribed. Stool softeners can also be purchased
            over the counter.
            You may be a candidate for autotransfusion after your surgery. Blood collected from the wound drain is filtered and
            transfused back to the patient early in the post-operative period. The physician will assist you in deciding whether this
            procedure will be done.
            The physician may order blood tests and urinalysis two weeks before surgery to make sure that a urinary tract infection is not present. Urinary tract infections are common, especially in older women, and often go undetected. Teeth need to be in good condition. An infected tooth or gum may also be a possible source of infection for the new hip. The orthopaedic physician may ask you to see a medical doctor, especially if medical problems have been present in the past.
            When making preparations for surgery, you should begin thinking about the recovery period following surgery. A patient with a new total hip replacement may need help at home for the first several weeks. Assistance with dressing, getting meals, etc.
            may be necessary. Most often discharge from the hospital is anticipated in about one week. Your energy level will not have returned. If assistance from someone at home is not possible, it may be necessary to think about making arrangements to stay a few weeks in an extended care facility. A social worker is available at the hospital to plan an extended period of recovery if necessary.

            Pre-op Visit

            Due to changes in insurance coverage, it is necessary for most patients to make a visit to the hospital a few days before
            their actual surgery date. This visit usually lasts several hours, so plan to spend most of the day. The day begins in the
            clinic, where an interview by the nursing staff concerning past medical history and current medications will be taken, as
            well as a chest x-ray. You may be instructed to stop taking your anti-inflammatory medications (Ibuprofen, Naprosyn, Relafen,
            DayPro, Aspirin) one week before surgery. You will be attending a teaching session which will include the following topics
            and other information about your surgery. There will also be time for discussion and questions. Bring a written list of past
            surgeries and of the medications and dosages that you normally take at home.

            Diet
            You should follow your regular diet on the day before your surgery. DO NOT EAT OR DRINK AFTER MIDNIGHT. The day of surgery you may brush your teeth and rinse your mouth without swallowing any water.
            Bathing
            A shower, bath or sponge bath should be taken the evening before and morning of surgery. You will be given antiseptic scrub
            brushes to use. Using the spongy side, scrub your hip for a period of five minutes. This may require assistance from a family
            member. The brushes contain a special soap which will reduce the risk of infection. If you are allergic to iodine or soap,
            please inform the nurse. If possible, you should shampoo your hair. Nail polish and make up should be removed.
            Deep Breathing Exercises
            You will be instructed in deep breathing exercises to minimize the risk of lung complications after surgery. These exercises
            are necessary to remove any excess secretions that may settle in your lungs while you are asleep during surgery. These
            exercises are to be done every one or two hours after surgery. An incentive spirometer may be demonstrated. This bedside
            device assists you in deep breathing exercises.
            Blood Clot Prevention
            You may be fitted with elastic support stockings (TEDS). You should wear them on both legs to the hospital the morning of
            your surgery. These stockings aid in the circulation of your legs and feet to reduce the risk of blood clots.
            Anesthesia
            You may be scheduled for an appointment with the anesthesiologist to discuss how you will be put to sleep. The
            anesthesiologist will advise you about taking routine medications on the day of your surgery.
            Pain Control
            Please read the booklet on "Patient Controlled Analgesia" (PCA) which is the preferred method of pain control for the first
            2-3 days after your surgery. When the PCA is discontinued, your doctor will prescribe pain medication to be taken by mouth.
            It is important to continue taking them because preventing pain is easier than chasing it. If you continue to experience pain
            after taking the medication, we encourage you to notify your doctor or nurse so alternate methods of pain control can be
            started.
            The physician will also review your medical history and the medications that you take. He will listen to your heart and
            lungs, and do a general physical exam. He will check for any type of infection. Any blisters, cuts, or boils should be
            reported. If infection is found, surgery is generally delayed until the infection is cleared.
            During your pre-op visit, blood will be drawn and lab tests done to insure that you are in good general health. X-rays are
            taken if necessary. Chest x-rays and an EKG are obtained if you have not had one taken for six months or if otherwise
            indicated. After all of these tests and exams are completed, an anesthesiologist will talk with you to determine the type of
            anesthesia that is best suited for you. After you see the anesthesiologist, your pre-op evaluation is usually over. Before
            you leave the hospital make sure your questions are answered. If at any time you become ill, such as with a cold or flu, you
            need to call your physician. Remember we want you to be in your best possible health!
            Surgical checklist
            Night before Surgery
            " Shower (with 5 minute scrub to surgical area with brush provided)
            " Nothing to eat or drink after midnight
            " Review booklet; exercises
            Day of Surgery
            " Routine medications with sip of water (as instructed by your anesthesiologist)
            " Second shower and scrub
            " Put on TEDS
            Day of Surgery
            You should arrive at the Orthopaedic Clinic at the instructed time, with your hip scrubbed and the elastic hose on both
            legs. The nurse will spend a few minutes again making sure that you are still in good health and ready for surgery. The
            nurses try to give you a good estimation of when you need to be at the hospital. However, it is hard to predict how long
            every surgery is going to take, so expect some waiting time. Bring something to do to help pass the time.
            You will be asked to change into a hospital gown. You will be transported to the operating room on a stretcher. Your family
            may accompany you on the elevator and then will be instructed to wait in the Day of Surgery Lounge on 6th floor, John
            Pappajohn Pavilion. Your doctors will talk to your family after the surgery to report your progress.
            You will be taken to a presurgical care unit where an intravenous (IV) is started for the administration of fluids and
            medications during and after the surgical procedure. From there you will be transported to the operating room by your
            anesthesiologist.
            The actual surgical procedure may take two to four hours. However, preoperative preparation as well as wake-up time may make
            your operating room and recovery room stay longer.
            After Surgery
            After surgery you will be taken to the Recovery Room for a period of close observation, usually one to three hours. Your
            blood pressure, pulse, respiration and temperature will be checked frequently. Close attention will be paid to the
            circulation and sensation in your legs and feet. It is important to tell your nurse if you experience numbness, tingling, or
            pain in your legs or feet. When you awaken and your condition is stabilized, you will be transferred to your room.
            Although circumstances vary from patient to patient, you will likely have some or all of the following after surgery:
            1. You will find that a large dressing has been applied to the surgical area to maintain cleanliness and absorb any
            fluid. This dressing is usually changed 2 to 4 days after surgery by the surgeon.
            2. A hemovac suction container with tubes leading directly into the surgical area enables the nursing staff to measure
            and record the amount of drainage being lost from the wound following surgery. The hemovac is usually removed by your doctor
            two to three days after surgery.
            3. An IV, started prior to surgery, will continue until you are taking adequate amounts of fluid by mouth. When you are
            taking fluids well, the IV may be changed to a Heparin lock, a small sterile tube, that will keep a vein accessible for
            antibiotics and allow for easier movement. Antibiotics are frequently administered every eight hours, for two to three days,
            to reduce the risk of infection.
            4. Elimination: One side effect of anesthesia is often a difficulty in urinating after surgery. For this reason, a
            sterile tube called a catheter may be inserted into your bladder to insure a passageway for urine. This may remain in place
            for one to two days.
            5. Besides the elastic hose (TEDS), you may also have on compression stocking sleeves. This is a plastic sleeve that is
            connected to a machine which circulates air in the plastic and around your legs. This is another method of promoting blood
            flow and decreasing the chances of blood clots. You will also be given medications and exercise instructions (moving your
            ankles up and down), which also helps to prevent clots.
            6. Post-operatively you may have temporary nausea and vomiting due to anesthesia or medications, i.e. (PCA).
            Anti-nausea medication may be given to minimize the nausea and vomiting.
            7. Diet: You will be allowed to progress your diet as your condition pemits; starting with ice chips and clear liquids
            to diet as tolerated.
            8. Coughing and Deep Breathing: To help prevent complications, such as congestion or pneumonia, deep breathing and
            coughing exercises are important. Inhale deeply through your nose; then slowly exhale through your mouth. Repeat this three
            times and then cough two times. You will be encouraged to use your incentive spirometer.
            Activity
            Some patients experience back discomfort after surgery. This is caused by the general soreness of the hip area and partly by
            the prolonged lack of movement required before, during, and after surgery. Periodic change of position helps to relieve
            discomfort and prevents skin breakdown.
            The head of your hospital bed should not be elevated more than 70 degrees during the first few days after surgery. Sitting
            up may allow the artificial ball to dislocate from the hip socket.
            There will be some precautions, mostly to prevent dislocation, which is more likely to occur the first six to eight weeks
            after surgery. These precautions include:
            1. using 2-3 pillows between your legs and not crossing your legs
            2. not bending forward 90 degrees
            3. using a high-rise toilet seat
            Initial rehabilitation
            The first day after surgery you will be assisted to a reclining chair, and physical therapy may begin. You will gradually
            begin to take steps, walk, and learn to climb stairs with the aid of a walker or crutches.
            This initial rehabilitation generally takes 5-7 days. During this time, discomfort may be experienced while walking and
            exercising. Pain medication will be ordered by the doctor as needed. Most patients are relieved of their painful pre-surgical
            hip condition.
            Therapy and rehabilitation program
            Following surgery, you will work with a physical therapist to become independent in walking, going up and down stairs,
            getting in and out of bed, and doing exercises to improve the range of motion and strength of your hip. You will be
            instructed by your physical therapist in a specific home exercise program to meet your needs.
            Do the home exercises two times a day (see home exercises section). Do your exercises indefinitely. Walking is not a
            substitute for exercise.
            If an exercise is causing pain that is lasting, reduce your intensity. If it continues to cause pain, contact your physical
            therapist or physician.
            Home Exercises
            Here is a list of exercises you may be asked to complete. Some others may be added depending on your specific needs.
            Range of motion exercises
            Active hip and knee flexion:
            Lying on your back with legs straight, toes pointed toward the ceiling; arms by your side. Keeping the heel in contact with
            the bed, bend your hip and knee. Return to starting position. Progress to 20 repetitions, 2 times a day.

            Active Abduction:
            Place a smooth surface (card table, plywood sheet, etc.) under your legs. Begin with your legs together, then move the
            operated leg out to the side as far as you can. Keep your toes pointed toward the ceiling. Return to the starting position.
            Progress to 20 repetitions, 2 times a day.

            Strengthening Exercises Quadriceps Setting:
            Tighten the muscles on the top of your thigh, pushing the back of your knee downward into the bed. The result should be
            straightening of your leg. Hold for 5 seconds, relax 5 seconds. Progress to 20 repetitions, 2 times a day.

            Gluteal Setting:
            Lie either on your back with your legs straight and in contact with the bed. Tighten your buttocks in a pinching manner and
            hold the isometric contraction for 5 seconds, relax 5 seconds. Progress to 20 repetitions, 2 times a day.

            Isometric Hip Abduction:
            Keeping your legs straight, together, and in contact with the bed. Place a loop or belt around your thighs just above your
            knees. Slowly spread your legs against the belt. Hold for 5 seconds, relax for 5 seconds. Progress to 20 repetitions, 2 times
            a day.

            Activities of Daily Living
            Do's and don'ts
            Your new hip is designed to eliminate pain and increase function. There are certain movements that place undue stress on
            your new hip. For your safety, these should be avoided. This is especially true during the first few months after your
            surgery.
            DO NOT move your operated hip toward your chest (flexion) any more than a right angle. This is 90 degrees.

            DO NOT sit on chairs without arms.

            DO grasp chair arms to help you rise safely to standing position. Place extra pillow(s) or cushion(s) in your chair so that
            you do not bend your hip more than 90 degrees.
            DO NOT get up like this. Keep your involved leg in front while getting up.

            DO use a chair with arrns. Place your operated leg in front and your uninvolved leg well under.
            DO NOT sit low on toilet or chair.

            DO get up from toilet as directed by your therapist. Use the elevated toilet seat if we have given you one.
            DO NOT pull blankets up like this.

            DO use a long-handled reacher to pull up sheets or blankets or do as directed by therapist.
            DO NOT bend way over.

            DO NOT turn your knee cap inward when sitting, standing, or lying down.

            DO NOT try to put on your own shoes or stockings in the usual way. By doing this improperly you could bend or cross your
            operated leg too far.
            DO these activities as directed by your therapist.
            DO NOT cross your operated leg across the midline of your body (in toward your other leg).

            DO NOT lie without pillow between legs.

            DO keep a pillow between your legs when you roll onto your "good" side. This is to keep your operated leg from crossing the
            midline.
            Guidelines at Home
            What happens after I go home?
            Upon discharge from the hospital, you will have achieved some degree of independence in walking with crutches or a walker
            climbing a few stairs, and getting into and out of bed and chairs.
            Someone at home is needed to assist you for the next six weeks, or until your energy level has improved.
            Medication
            " You will continue to take medications as prescribed by your doctor.
            " You may be sent home on prescribed medications to prevent blood clots. Your doctor will determine whether you will
            take a pill (Coumadin or coated aspirin) or give yourself a shot (Enoxaparin). If an injection is necessary. your doctor will
            discuss it with you. and the nursing staff will teach you or a family member what is necessary to receive this medication.
            " You will be sent home on prescribed medications to control pain. Plan to take your pain medication 30 minutes before
            exercises. Preventing pain is easier than chasing pain. If pain control continues to be a problem, call your doctor.
            Activity
            " Continue to walk with crutches or a walker as directed by the doctor or physical therapist.
            " Your physician will determine how much weight you can place on your operated leg.
            " Walking is one of the better forms of physical therapy and for muscle strengthening.
            " However, walking does not replace the exercise program which you are taught in the hospital. The success of the
            operation depends to a great extent on how well you do the exercises and strengthen weakened muscles.
            " If excess muscle aching occurs, you should cut back on your exercises.
            Sitting
            Avoid sitting more than 60 minutes at a time. DO NOT cross your legs. In fact, keep your knees 12 to 18 inches apart. Always
            sit in a chair with arms. The arms provide leverage to push yourself up to the standing position. A high kitchen or bar-type
            stool works well for kitchen activities. Avoid low chairs and overstuffed furniture because they require too much bending
            (flexion) in your hip in order to get up. Do not bend forward while sitting in a chair, causing more than a 90 degree bend in
            your hip. Use the toilet seat riser for the next eight weeks to avoid excessive bending of the hips.
            Bending
            For the first eight weeks, you should not bend over to pick up things from the floor. You may want to acquire a pair of
            slip-on shoes and a long-handled shoe horn to avoid excessive bending.
            Other Considerations
            It is recommended that you do not drive until six weeks following surgery. When getting into a car, back up to the seat of
            the car, sit and slide across the seat toward the middle of the car with your knees about 12 inches apart. A plastic bag on
            the seat will help you safely slide in/out of the car.
            For the next 4-6 weeks avoid sexual intercourse. Sexual activity can usually be resumed after your two-month follow-up
            appointment.
            You can usually return to work within three to six months, or as instructed by your doctor.
            Continue to wear elastic stockings (TEDS) until your return appointment.
            No shower until after staples are removed. Showers may be taken two days after your staples are removed. Do not sit in a
            bathtub until your physician okays that activity.
            If you have to stay alone for the first six weeks, there are some special devices that are available from the occupational
            therapist.
            Your incision
            Keep the incision clean and dry. Also, upon returning home, be alert for certain warning signs. If any swelling, increased
            pain, drainage from the incision site, redness around the incision, or fever is noticed, report this immediately to the
            doctor. Generally, the staples are removed in three weeks.
            Prevention of infection
            If at any time (even years after the surgery) an infection develops such as strep throat or pneumonia, notify your
            physician. Antibiotics should be administered promptly to prevent the occasional complication of distant infection localizing
            in the hip area. This also applies if any teeth are pulled or dental work is performed. Inform the general physician or
            dentist that you have had a joint replacement. You will be given a medical alert card. This should be carried in your
            billfold or wallet. It will give information on antibiotics that are needed during dental or oral surgery, or if a bacterial
            infection develops.
            When Do I Return to the Clinic?
            Your first return appointment is 6 weeks after discharge, unless you return here to have your staples removed. (You may wish
            to have your staples removed by your local doctor.) At your 6 week return you will be examined and have x-rays. Subsequent
            appointments are then at 6 months, one year, and two years after surgery. You should return every three years after this.
            Once you return home, if you have any questions or concerns regarding your total hip replacement, please do not hesitate to
            call. Between the hours of 8:00 a.m. and 5:00 p.m., Monday through Friday, please phone the Orthopaedics Clinic at
            319/356-2377. After 5:00 p.m. and on the weekends and holidays, please phone 319/356-1616 and ask to speak to the orthopaedic
            resident on call or to the orthopaedic nurse supervisor.
            Should I have a total hip replacement?
            The total hip replacement is an elective operation; it is not a matter of life or death. There are always nonoperative
            alternatives. The decision to have the operation is not made by the doctor. It is made by you, for it is you who must accept
            the risks and complications. The doctor may recommend the operation; however, your decision must be based upon weighing the
            benefits of the operation against the risks. You may wish to discuss the surgery with your own doctor or even get another
            opinion. All your questions should be answered before you decide to have the operation. Please feel free to ask any questions
            you have in order to make your decision easier.
            Remember: Your physician, physical therapist, and nurses are striving to make a painless, functional hip possible for you.
            The real success of your hip replacement, however, depends partly on you - especially how conscientiously you exercise and
            how diligently you apply the principles of home care and self-limitation.

            [ Ответить ]
            • Re: Реабилитация после эндопротезирования
              Отправитель: Ильдар Ф. Ахтямов 04 Декабрь 2003, 21:34
              Уважаемый Анатолий! Молча участвую в Вашей беседе, но хотел бы подтвердить, что по существующему положению при эндопротезировании одного сустава дают третью гр. инвалидности, а при двух - вторую, причем бессрочно и пациенты получают льготный автотранспорт с ручным управлением. Результат операции МСЭК не волнует, таким образом мы плодим инвалидов, иногда и с ухудшением группы (с третьей на вторую и т.д.). Парадокс.АИФ.


              [ Ответить ]
              • Re: Реабилитация после эндопротезирования
                Отправитель: Alexander Chelnokov 04 Декабрь 2003, 21:43
                Профессор Горячев лет 10-12 в дискуссии на конференции рассказал, что они у себя проводили анализ действий ВТЭК, и обнаружили, что пока пациент хворает деформирующим артрозом - он зачастую без группы, а как сделали ему операцию, боли у него прошли, стал лучше жить и ходить - так непременно II группа. Он, помнится, объяснял это инерцией мышления работников этих комиссий, а не тем, что пациент с имплантатом какой-то более более ущербный, что ли.

                [ Ответить ]
              • Re: Реабилитация после эндопротезирования
                Отправитель: Anatoly A. Yakushin 05 Декабрь 2003, 21:23
                Поведение МСЭК вообще никакой корреляции не поддается :) Объяснить это можно только относительной новизной эндопротезирования и отсутствием четкого отношения к проблеме самих ортопедов.

                Кстати, во времена ВТЭК отношение к этой проблеме было несколько иным, мне приходилось принимать участие в разборе жалобы, когда пациент жаловался на то, что ему улучшили группу после протезирования, например со второй на третью. Чиновники обычно шли на поводу у пациента и давали вновь вторую группу.

                Несомненно, есть самые разные случаи - но сама постановка вопроса о том, что несмотря на качество проведенной операции и ее исход пациент останется инвалидом - неправомерен в принципе. Мы таким образом дискридитируем метод.

                [ Ответить ]
                • Re: Реабилитация после эндопротезирования
                  Отправитель: Татьяна 03 Ноябрь 2009, 23:59
                  В 2003г.провели операцию эндопротезирования левый тазобедренный сустав.Операция прошла с осложнением сосудов.5 лет была на инвалидности 3 группы и стояла на получении автотранспорта. 2008г.признали не инвалидом.Очень сильно беспокоят сосуды приходится постоянно покупать дорогостоящие лекарство а льгот нет. На получение автотранспорта мне тоже отказали.

                  [ Ответить ]

     

    ( Ответить )

    Powered by Zope  Squishdot Powered MedLink
    Посетитель: 0163210
      "По форме правильно, а по существу - издевательство" В.И.Ленин
    ©2001-2019Orthoforum Coordinator.
    [ Главная | Отправить сообщение | Поиск | Админ ]