вверх
отправить
поиск
админ
главная
|
Огнестрельное ранение правого тазобедренного сустава |
 |
 |
 |
Отправлено Anton V. Vladzimirskiy 18 Ноябрь 2003, 19:40
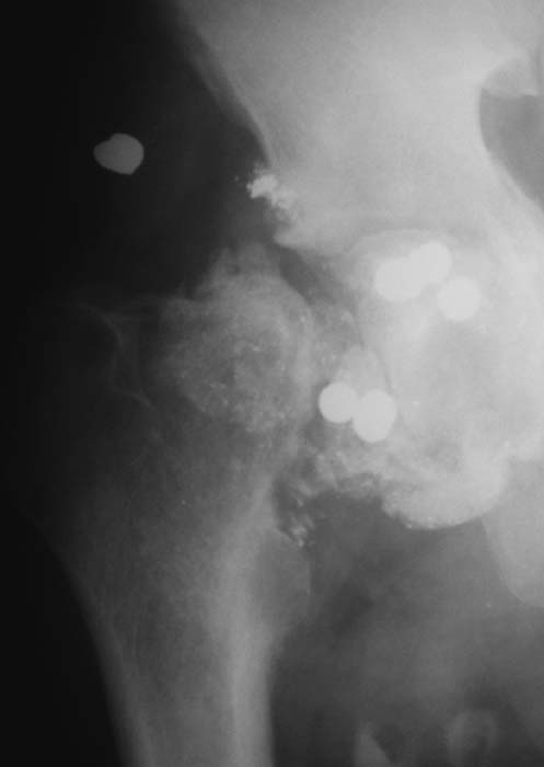
Мужчина, 26 лет.Травма в мае 2003 года.Диагноз: огнестрельное ранение правого тазобедренного сустава, открытый перелом головки и шейки правой бедренной кости, проникающее огнестерельное ранение живота. При поступлении в больницу произведена лапаротомия, ПХО раны правой паховой области. Рана в правой паховой области после ПХО заживала первичным натяжением. Проводилась иммобилизация правого тазобедренного сустава гонитной повязкой до 3 месяцев. Спустя 5 месяцев проведена проведена <провокация> - физиопроцедуры на область тазобедренного сустава. Обострения инфекционного процесса нет. Предполагается тотальное эндопротезирование тазобедренного сустава с использованием костного цемента. Вопросы: оценить избранную тактику лечения? Другие варианты лечения?Особенности оперативного вмешательства и послеоперационного лечения?С уважением,А.В.Владзимирский
<
|
>
|
|
Ответить
|
Re: Огнестрельное ранение правого тазобедренного с
Ильдар Ф. Ахтямов 18 Ноябрь 2003, 19:50
|
Парню 26 лет, а Вы предлагаете цементный протез? Возможно установить его и без такового. В крайнем случае возможно применние гибрида: чашка на цементе,
а ножка без. Очень я люблю эту комбинацию. Сроки вмешательства я бы сместил, возможно это "дуть на воду", но я уже обжигался. АИФ.
|
[
Ответить ]
|
Re: Огнестрельное ранение правого тазобедренного сустава
Владимир Святенко 18 Ноябрь 2003, 23:00
|
Уважаемый коллега !
Почему предполагаете у больного 26 лет использовать цементируемый протез? В остальном замечаний по тактике нет.
Владимир.
|
[
Ответить ]
|
Re: Огнестрельное ранение правого тазобедренного сустава
Вадим Найданов 21 Ноябрь 2003, 19:34
|
Я бы подождал до года от ранения, хотя это спорно. Эндопротезирование можно. И цемента не бойтесь, особенно если нет у Вас возможности бесцементной фиксации. Лучше, если он будет с антибиотиком. Сразу подумайте об антибиотикотерапии после операции.
С уважением, Найданов В.Ф. Интересно будет узнать Ваше решение и результат.
|
[
Ответить ]
|
( Ответить )
|
|