AOTRAUMA.ORG Центр Илизарова  

Ортопедия и травматология Общие вопросы/General questions Help Информационные технологии в медицине
 вверх
 отправить
 поиск
 админ
 главная
 Предыдущее
 Весь тред


Re: Перелом "около пластинки"
V.M.Iyer 27 Декабрь 2003, 14:11
I was thinking of a retrograde nail because I thought the fracture was too low. I would love to see the postop Xrays. Thanks in advance

V M Iyer
. Iyer Orthopaedic Centre,
103,Railway lines Solapur.413001.
  • Сообщения о Ортопедия и травматология
  • Также V.M.Iyer
  • Связаться с автором
  • Ответить

    Re: Перелом "около пластинки"
    Alexander Chelnokov 27 Декабрь 2003, 21:34




    1

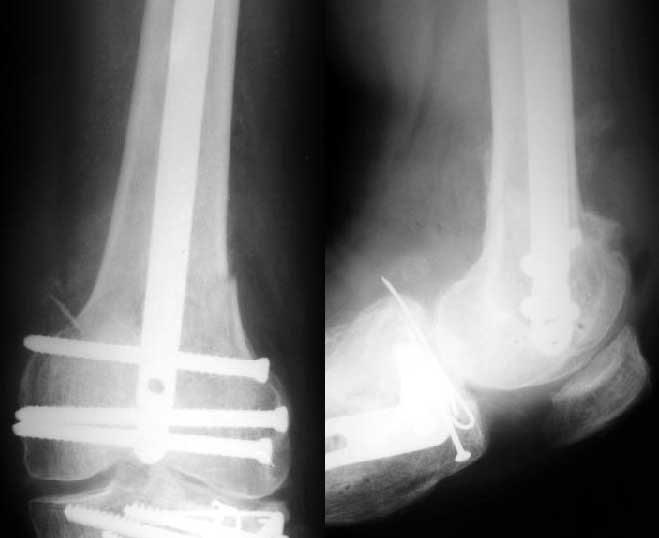
    Sorry but I've just prepared postop images - attached. A solid 13 mm nail was used. A few degrees of recurvation appears to be which i missed on image intensifier. I'm still uncertain about
    advantages/disadvantages of ante/retrograde nailing for such fractures.
    [ Ответить ]

    • Re: Перелом "около пластинки"
      Отправитель: V.M.Iyer 27 Декабрь 2003, 21:36
      The fixation as you have done is excellent. The locking screws on either side of the # are so apart. When we put in a supracondylar nail thro a keyhole incison in the knee, the locking bolts will be nearer the # and will be more stable allowing him to bear wt early. That was the reason the supracondylar nail was innovated. The locking is done by jig and no freehand method saving time.
      V M Iyer

      [ Ответить ]
      • Re: Перелом "около пластинки"
        Отправитель: Alexander Chelnokov 28 Декабрь 2003, 19:37
        VMI> The locking screws on either side of the # are so apart. When we
        VMI> put in a supracondylar nail thro a keyhole incison in the knee,
        VMI> the locking bolts will be nearer the #

        Than in the presented case?

        VMI> and will be more stable allowing him to bear wt early.

        It hardly ever depends only on where the nail was inserted from. Also such factors as thickness of locking screws, their number and distance between them (and to the ends of the fragment) must play some role.

        VMI> The locking is done by jig and no freehand method saving time.

        Since one of nail ends has to be locked without targeting device i prefer this to be the distal end.

        [ Ответить ]
        • Re: Перелом "около пластинки"
          Отправитель: V. M. Iyer 28 Декабрь 2003, 20:25




          1

          Alex>>Since one of nail ends has to be locked without targeting device i
          Alex.>> prefer this to be the distal end.

          In the supracondylar nail system both the ends are lockable by jig and no free hand technique is needed.

          Alex>> Than in the presented case?
          I do not see the proximal bolts; I presume they must be at he trochanter level. In a supracondylar nail you are able to see both side bolts in one picture. ( Enclosure)



          [ Ответить ]
    • Re: Перелом "около пластинки"
      Отправитель: DR MOHD IQBAL 01 Январь 2004, 17:35
      Amazing ! Best result in a worst fracture./

      Hope it didn`t have intra articular extension. If u had encountered this finding during surgery, rather after pushing the nail inside or during hammering the nail, Could u had managed it closed or what u would have done.

      Anyway great job being done by ILN nails.

      Please enlighten about your technique, positioning of pt. ,Type of table, special points to remember Prior & during surgery.

      Looking forward for a response from your side.

      Thanks

      Iqbal

      DR Mohd Iqbal

      Kota Trauma Hospital

      Chambal Garden Road

      KOTA 324009INDIA

      [ Ответить ]
      • Re: Перелом "около пластинки"
        Отправитель: Alexander Chelnokov 01 Январь 2004, 17:50
        DMI> Hope it didn`t have intra articular extension. If u had encountered this

        The discussed case was pure metaphyseal, not T- or Y- intraarticular.
        Though the second case was C2 fracture, and it took to perform closed reduction with joystick wires, and then insert opposite olive wires.

        DMI> Please enlighten about your technique, positioning of pt. ,Type of table,

        A small wire distractor was used for intra op reduction. Position - supine with adduction and internal rotation of the affected limb.

        [ Ответить ]
    • Re: Перелом "около пластинки"
      Отправитель: Tom DeCoster 02 Январь 2004, 14:58
      the postop radiographs look excellent.
      What do people think about driving an antegrade nail this distal as compared to retrograde nailing?

      [ Ответить ]
      • Re: Перелом "около пластинки"
        Отправитель: Chris Wilson 02 Январь 2004, 15:00
        Because retrograde nails are not without their problems.There's a poor choice of sizes,and you have to breach a normal joint,with risk of infection,and even greater risk of fat pad or patella tendon fibrosis later.

        Regards
        Chris Wilson
        UIniversity Hospital
        Cardiff
        UK

        [ Ответить ]
        • Re: Перелом "около пластинки"
          Отправитель: Tom DeCoster 03 Январь 2004, 13:06
          Those are all the arguments against retrograde nailing (surgical injury to the knee), but there are advantages like better distal fixation and control.
          The antegrade nail in the case shown is probably into the knee joint slightly.
          This case looks great but there must be some risk of splitting the condyles or other knee joint injury when driving an antegrade nail this distal. The antegrade nail also has entry site problems including variable injury to the hip muscles, heterotopic ossification, femoral neck fracture, and positioning difficulties. Overall the entry site problems seem about the same for the two techniques. If that is the case then the decision might come down to which one offers better distal fixation and that might be retrograde nail. If there are more entry site problems with retrograde nail than antegrade the antegrade nailing might be preferable even if the distal fixation isn't quite as good or reliable.

          So, to me, it is a trade-off between benefits and risks for specific fracture patterns. In this case of a very distal femur shaft fracture the antegrade nail driven very distal in the femur looks extremely good. Without a comparative series we are left to base decisions on general principles, theory and related experience.

          TD

          [ Ответить ]
          • Re: Перелом "около пластинки"
            Отправитель: Alexander Chelnokov 04 Январь 2004, 17:00
            TAC> the knee), but there are advantages like better distal fixation and control.

            This strongly depends on a particular nail design - number of holes, distance between them, distance from the distal tip of the nail to the most distal hole. The latter distance can be minimized in antegrade nail to literally 3-4 mm while retrograde nails have to reserve more space for the threaded canal of the nail connecting screw.

            TAC> The antegrade nail in the case shown is probably into the knee joint slightly.

            Not in this case. Though i have a couple of similar cases with 3-4 mm prominince of the nail - looks asymptomatic or covered by pre-existing problems.

            TAC> This case looks great but there must be some risk of splitting the condyles or
            TAC> other knee joint injury when driving an antegrade nail this distal.

            The risk is minimized by using of a distractor with some olive wires.
            Also canal in the condyles can be prepared by a long awl.

            TAC> difficulties. Overall the entry site problems seem about the same for the two
            TAC> techniques.

            Isn't early knee mobilization easier without a recent local wound?

            TAC> If that is the case then the decision might come down to which one
            TAC> offers better distal fixation and that might be retrograde nail.

            Why retrograde nails offer better distal fixaton? Maybe holes for locking scrws are threaded?

            TAC> nail driven very distal in the femur looks extremely good.
            TAC> Without a comparative series we are left to base decisions on

            In our settings same nails are used for ante- and retrograde insertion.
            For distal cases presuming particular design of the nail i prefer antegrade. Retrograde is reserved for unilateral femur+tibia fractures, problems in the hip region (implants, excessive scars, neck fractures).

            [ Ответить ]
            • Re: Перелом "около пластинки"
              Отправитель: Tom DeCoster 05 Январь 2004, 15:19
              All good and cogent arguments for antegrade nailing.

              Regarding knee motion:
              Knee motion is slower to return after retrograde nailing as you mention, but does come back after a few months just like or better than other knee operations (e.g., ACL reconstruction). Hip motion (that you didn't mention) returns to normal faster and more completely with retrograde nailing than antegrade.
              Hence the concept of "entry site problems are probably equivalent."

              Regarding distal fixation. I think the retrograde nail has better distal fixation because it is typically placed under direct control more distally in the distal fragment with potential for nail in the subchondral bone. The distal screws (3 or more) can be placed obliquely in several planes with nail mounted guides giving better purchase on the distal fragment than the typical co-linear transverse screws (often 2 or maybe 3). The clustered oblique screws seem better at resisting toggling of the voluminous distal fragment around the nail better than the co-linear screws, (which were designed for and work great for rotation and length control of mid-diaphyseal fractures).

              But that is theory and you can achieve many of the desired effects with antegrade technique by driving the nail very distally as in the case shown and using a nail with very distal locking screws, as you mentioned and illustrated.
              That's what makes this case an interesting discussion.

              TD

              [ Ответить ]
              • Re: Перелом "около пластинки"
                Отправитель: Alexander Chelnokov 05 Январь 2004, 23:19
                TAC> does come back after a few months just like or better than other knee
                TAC> operations (e.g., ACL reconstruction).

                It would be interesting to compare long-term follow up of both techniques.

                TAC> Hip motion (that you didn't mention) returns to normal faster
                TAC> and more completely with retrograde nailing than antegrade.

                Really i didn't check limits of abduction/rotation. But it seems that fnctionally significant range of hip motions is not strongly affected.

                TAC> Hence the concept of "entry site problems are probably equivalent."

                Yes, i agree in general - cases of abductor weakness show that there is no ideal here.

                TAC> fixation because it is typically placed under direct control

                Pls add some more details about the direct control.

                TAC> screws (3 or more) can be placed obliquely in several planes with nail mounted

                Not available here yet. Though tibial nails can be used as retrograde femoral - it has 45 degrees holes except trasverse.

                TAC> better than the co-linear screws, (which were designed for and work great for
                TAC> rotation and length control of mid-diaphyseal fractures).

                Why the holes are not threaded? It would provide greatest angular stability.

                TAC> using a nail with very distal locking screws, as you mentioned and illustrated.
                TAC> That's what makes this case an interesting discussion.

                THX for your as usual very interesting comments.

                [ Ответить ]
                • Re: Перелом "около пластинки"
                  Отправитель: Tom DeCoster 06 Январь 2004, 11:43
                  1. Knee motion after antegrade and retrograde nailing of femur shaft fractures has been reviewed and generally suggests knee motion is slower to return after retrograde nailing but at 3 months motion is generally full and equal with the 2 techniques.

                  2. For distal femur fractures the typical comparison has been between retrograde nails and plates and the motion is similar with the two techniques, although some loss of motion is typical.

                  3. I agree with Dr. Carr's description of the subchondral purchase of retrograde nails.

                  4. Threaded distal locking holes in retrograde nails seems like a good idea but is not yet available, to my knowledge. Locking plates are gaining great popularity over the past year and do provide for a construct with outstanding stability.

                  5. Direct control to me means the relative small distal fragment can be moved with the partially inserted nail used as a joystick in contrast to the "indirect" reduction achievable by trying to align the distal fracture with an antegrade nail. Other percutaneous manipulation/reduction maneuvers are occasionally required. Rarely would extending the incision to visualize the fracture surfaces of an extra-articular distal femur fracture be required.

                  6. "Generations" are used colloquially in many medical musings. I would say first generation nails were Kuntscher type without locking. Second generation were lockable nails. A variety of products have referred to themselves as third generation (titanium, sleeved systems, retrograde, active compression nails and the like) but none have really been a quantam improvement and I doubt there is any consensus on what, if anything, constitutes a third generation nail as of 2004.

                  [ Ответить ]
            • Re: Перелом "около пластинки"
              Отправитель: Manuel Becerra 05 Январь 2004, 15:21
              You have shown a very nice case but could you pls answer the following questions?

              1. How was the overall X-ray exposure as compared to that of a retrograde nail?
              2. How did you reduce the distal fragment: open, mini-open, closed, joystick technique?
              3. How can you make sure there is no or a slight distal protrusion: only C-arm, C-arm and X-ray, mini-open?
              4. If there is a protrusion how can you make certain there is no damage to cartilage, PCL?
              5. There is an "exact" entry point for the retrograde nail, how can you control the "exit point"? (Blumensaat's line?)

              thanks and regards

              Manuel Becerra MD
              Lima - Peru

              [ Ответить ]
              • Re: Перелом "около пластинки"
                Отправитель: Alexander Chelnokov 05 Январь 2004, 15:24
                MB> 1. How was the overall X-ray exposure as compared to that of a
                MB> retrograde nail?

                Never performed retrograde nailing for such a distal fracture so have nothing to compare with.

                MB> 2. How did you reduce the distal fragment: open, mini-open, closed,
                MB> joystick technique?

                Closed, by a small wire external distractor.

                MB> 3. How can you make sure there is no or a slight distal protrusion:
                MB> only C-arm, C-arm and X-ray, mini-open?

                C-arm only, and post-op X-rays, of course. Though as i mentioned before there were cases of the slight distal protrusion which didn't cause any troubles.

                MB> 4. If there is a protrusion how can you make certain there is no damage
                MB> to cartilage, PCL?

                One can be definitely certain about damage of the cartilage only with direct vizualization (arthroscopic?) - in the case i certain only that the canal was prepared by awl and the nail was not pulled out to the position. PCL must be posterior to the nail - never thought about it.

                MB> 5. There is an "exact" entry point for the retrograde nail, how can you
                MB> control the "exit point"? (Blumensaat's line?)

                Also with the intercondylar notch at some AP shots with different cranial deviation.

                [ Ответить ]
          • Re: Перелом "около пластинки"
            Отправитель: James Carr 05 Январь 2004, 15:28
            A good summary by Tom. Technically, the retrograde is much easier, and allows for exact reduction of the condyles by visualization. It also obtains fixation through the entry tunnel if the nail engages it. I have experienced cases of arthrofibrosis, and patellar ligament scarring though, so it is a trade off to be sure. Interestingly, as Alex points out, antegrade nails often have screw holes closer to the end of the nail. Jim Carr

            [ Ответить ]
            • Re: Перелом "около пластинки"
              Отправитель: Alexander Chelnokov 05 Январь 2004, 23:16
              JC> easier, and allows for exact reduction of the condyles by
              JC> visualization.

              Do you mean arthroscopiс control or incision for the nail is large enough to view/control the condyles? Can you pls describe the technique?

              JC> It also obtains fixation through the entry tunnel
              JC> if the nail engages it.

              Didn't get the idea - could you pls explain?

              JC> antegrade nails often have screw holes closer to the end of the nail.

              So maybe it takes some re-design of the end of the nail to adopt features of distal/retrograde nails?
              BTW can somebody point a source where definitions can be found whar first, second etc generations nails are. THX in advance.

              [ Ответить ]
              • Re: Перелом "около пластинки"
                Отправитель: James Carr 06 Январь 2004, 11:28
                Since the retrograde nail can be placed by arthrotomy, direct visualization of the fracture is made. No arthroscope is needed. Secondly, the retrograde nail is placed through a drill hole in the notch- an area that has good subchondral bone. This creates a snug fitting tunnel in which the end of the nail can be left, thus providing some fixation. Hope that helps. I am not aware of a source to define the various generations of nails. Jim


                [ Ответить ]

     

    ( Ответить )

    Powered by Zope  Squishdot Powered MedLink
    Посетитель: 0000043
      "По форме правильно, а по существу - издевательство" В.И.Ленин
    ©2001-2019Orthoforum Coordinator.
    [ Главная | Отправить сообщение | Поиск | Админ ]