вверх
отправить
поиск
админ
главная
|
Дефект заднего края вертлужной впадины после вправления застарелого вывиха бедра |
 |
 |
 |
Отправлено Базаров Александр 20 Январь 2004, 01:41 ОКБ №2, Тюмень
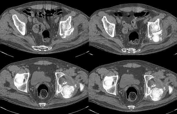
Больной Н. 54 лет. Поступил в подвздошным вывихом левого бедра. После попытки закрытого одномомендного вправления 2 мес. на скелетном вытяжении. На Rg контроле видимость вправления, на КТ - неустраненный вывих. По причине тяжелой соматической патологии открытое вправление и репозицию заднего края выполнить не представляется возможным. Вправление аппаратом внешней фиксации, КТ - этапах вправления - дефект заднего края. Что вы нам посоветуете по дальнейшей тактике? Больной Н. 54 лет. Диагноз: Закрытый оскольчатый перелом заднего края вертлужной впадины слева, подвздошный вывих левого бедра. Ушиб грудной клетки. ИБС. Стенокардия напряжения. ФКI-II. Постинфарктный кардиосклероз. Артериальная гипертония II степени, риск IV. НI. Состояние после аорто-коронарного шунтирования. Хронический бронхит. ДНI.Травма в результате ДТП. Больной лечился консервативно - закрытое одномоментное ручное вправление, фиксация скелетным вытяжением в течение 2 месяцев. На контрольных обзорных рентгенограммах таза в динамике: головка бедра располагается в проекции вертлужной впадины, суставные поверхности конгруентны. После снятия скелетного вытяжения выполнялся КТ - контроль тазобедренного сустава, на котором обнаружен неустраненный задний вывих бедра. Через 2 месяца наложена передняя тазовая и бедренная опоры. По причине тяжелого соматического состояния не представлялось возможным выполнить открытое вправление вывиха и остеосинтез заднего края. Представлен КТ- контроль на этапе вправления, на котором виден дефект заднего края вертлужной впадины.
<
|
>
|
|
Ответить
|
Re: Дефект заднего края вертлужной впадины после в
Alexander Chelnokov 21 Январь 2004, 08:25
|
В любом случае надо бы поточнее определиться с диагнозом - хорошо бы увидеть просто снимки - прямой и Judet. Что сейчас клинически имеется - боль, движения в суставе, тенденция к вывиху?
Как готовились представленные снимки? Сканировали с зеркалом, что ли?
Лучше бы цифровым фотоаппаратом снять с негатоскопа.
|
[
Ответить ]
|
Re: Дефект заднего края вертлужной впадины после в
Игорь Л. Шлыков 21 Январь 2004, 09:59
|
Да, есть дефект заднего края и, похоже, внутрисуставные тела, хотя снимки оставляют желать лучшего. Вопрос об операбельности серьезный, конечно. Но учитывая то, каким отягощенным пациентам сейчас выполняется даже эндопротезирование тазобедренного сустава, возможно, в данном случае поторопились с заключением о невозможности операции?
|
[
Ответить ]
|
Re: Дефект заднего края вертлужной впадины после в
Алексей В. Рунков 21 Январь 2004, 15:03
|
Хотелось бы увидеть хотя бы обзорный снимок таза и запирательную проекцию. Если есть другие сканы, тоже желательно их представить. По представленным снимкам не видно, где находится фрагмент задней стенки, и в каком он состоянии (целый, фрагментирован и т.д.). Оперировать все равно надо, так что надо готовить больного. И анестезиологов. И родственников. Наша бригада к выезду готова.
|
[
Ответить ]
|
Re: Дефект заднего края вертлужной впадины после в
Отправитель: Смирнов 22 Январь 2004, 22:19
|
Вопрос в том какую делать операцию? Конечно, через два месяца делать остеосинтез или ацетабулопластику, тем более такому пациенту дело неблагодарное(ведь уж больно велик риск рассывания фрагментов, трансплантатов, и как итог - релюксации) - может сразу эндопротез?
|
[
Ответить ]
|
|
Re: Дефект заднего края вертлужной впадины после вправления застарелого вывиха бедра
Волокитина Елена 22 Январь 2004, 17:44
|
Целесообразно готовить на протезирование, если это реально по общему состоянию или выждать время до нормализации общего состояния (3-6 месяцев). Такой дефет заднего края (по представленным КТ) позволяет достаточно стабильно имплантировать впадину на цемент, но с медиализацией имплантационного ложа до второго кортикала. Свод, большая часть заднего и передний края целые.
С уважением Е.А.Волокитина
|
[
Ответить ]
|
Re: Дефект заднего края вертлужной впадины после вправления застарелого вывиха бедра
Дрягин Виталий 25 Январь 2004, 15:16
|
Маловероятно,что после удаления фрагментов из впадины не будет рецедива вывиха.Поэтому надо готовить к эндопротезированию.При переломах впадины предпочтительнее бесцементная чашка
С уважением Дрягин В.
|
[
Ответить ]
|
Re: Дефект заднего края вертлужной впадины после в
Базаров Александр 28 Январь 2004, 20:32
|
Я не понял как отправлять несколько файлов для графического приложения. Отправляю прямую проекцию в день травмы, после "вправления" на вытяжении и КТ. На данный момент головка бедра во впадине. КТ во вправленном состоянии отправлю по возвращении
в Тюмень (сейчас уезжаю на неделю). И можно краткий комментарий как отправлять несколько прикрепленных файлов что бы не возникало подобных вопросов? Или обязательно делать Коллаж?
|
[
Ответить ]
|
Re: Дефект заднего края вертлужной впадины после в
Александр Г. Рыков 10 Февраль 2004, 12:50
|
Наверное первичного эндопротезирования не избежать! Причем в ходе этой операции пластическая реконструкция задней колонны потребуется. Только в ходе операции можно принять решение о возможности стабильной установки бесцементной чашки, которая в данной ситуации предпочтительнее, либо потребуется "прокладка " в виде антипротрузионного кольца и цементнаяй чашка. Трущаяся пара согласно возраста и финансовым возможностям. Ножка - бесцементная либо ТРР, если богатый. Лучше сразу, нежели потом с потерей мышц, контрактурами, измученного временем и новыми социальными проблемами.
Личный опыт - пять случаев.
А Рыков.Хабаровск.
|
[
Ответить ]
|
Re: Дефект заднего края вертлужной впадины после в
Отправитель: Дрягин Виталий 10 Февраль 2004, 22:31
|
Уважаемый Александр Г.У всех есть проблемы с протезированием при переломах вертлужной впадины.Хотелось бы обменяться матерьялами и мнением по этому вопросу.Если можно пару случаев с бесцементной чашкой,название фирмы производителя.Я предпочитаю RM чашку на винтах,бесцементную.Компания Mathys.Интересует костная пластика(величина и чем фиксируете)
С уважением Дрягин В.
|
[
Ответить ]
|
Re: Дефект заднего края вертлужной впадины после в
Отправитель: Александр Г. Рыков 15 Февраль 2004, 14:30
|
Dear Виталий! К сожалению (а может к счастью), мой личный опыт первичного протезирования при переломах вертлужной впадины невелик - 7-10 случаев (чаще при несвежих или застарелых). По моему небольшому опыту (мои мысли), чем больше дефект (задняя колонна, крыша, передняя колонна), тем меньше шансов на бесцементную чашку. Чем больше дефект опорной зоны, тем чаще следует использовать "прокладочные" кольца и, соответственно, цементные чашки в них (а бесцемент на второй этап). Из моделей бесцементной чашки, наверное, предпочтительнее те, которые обеспечивают первичную фиксацию без нагрузки на костный трансплантат в зоне дефекта, то есть те, которые первично стабилизируются винтами или еще чем то, так как чистый пресс-фит создать трудно. Чем толще винты, тем прочнее первичная фиксация. Остальное не существенно, если не трогать финансовую сторону. Я использовал пару раз чашку Вагнера (пресс-фит) с винтами 6,5 мм., фирмы "Centerpulse" Swiss, я то доволен, но дорогая штука. В этом плане чашка RM - проигрывает только диаметром винтов и их числом, однако дешевле. Возможны к применению чашки Окснера и др.др. По большому счету важны многие моменты: больной (как долго он может себе позволить не опираться на ногу, которая не болит - верит ли он Вам до конца), Ваши возможности в приобретении имплантов, технологическое обеспечение и Ваши личные симпатии к фирмам. По поводу размеров дефекта и соответственно импланта - сколько травма (гадина) сделала, столько и требуется заместить. Чем "громаднее" имплант и лучше обработан, тем "будет вероятно может быть лучше" результат. Вопрос о фиксации трансплантата в дефекте - чем крепче, тем лучше.
Резюме: Виталий, - мы ортопеды (травматолог - это ортопед недоучка), мы работаем штучно, рецепта нет и быть не может, и все мои вышеуказанные мысли можно опустить. Исходи из ситуации у себя. Если трудно - перенеси "Альбатроса" на кого нибудь. С днем St' Valentin! Привет всем. Я еще ничего. Поехал (процентов на 90) в США на Сьезд Ортопедов США в Сан-Франциско. Если все нормально, то проинформирую всех. Д-р А Рыков. из периферии "Хабаровка."
|
[
Ответить ]
|
|
( Ответить )
|
|