AOTRAUMA.ORG Центр Илизарова  

Ортопедия и травматология Общие вопросы/General questions Help Информационные технологии в медицине
 вверх
 отправить
 поиск
 админ
 главная
 Предыдущее
 Весь тред


Re: Травма таза
Anatoly F. Lazarev 24 Июль 2004, 14:18







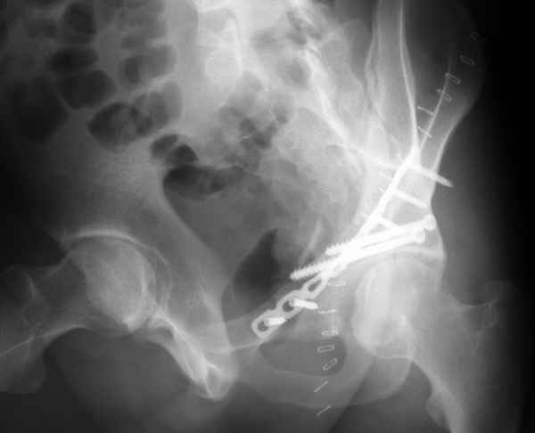
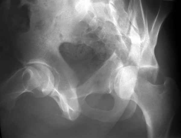
Конечно изнутри таза массивная гиперпластическая мозоль - пришлось немного попотеть и интерпозиция по плоскости перелома. Хорошо был виден ствол нерва с внутренней стороны вырезки - сделали блокаду, как положено. После операции движения стопы в полном объеме чувствительных расстройств нет. Репозиция удалась - мы были в легкой эйфории - внесуставной доступ и т.д. Через сутки стопа повисла - грубых выпадений на ЭНМГ нет, но тем не менее ишемический неврит малоберцовой порции седалищного нерва - бич застарелых повреждений.
Ах если бы Русские люди не обманывали себя и больных, а направляли бы срочно в специализированные отделения, то можно было бы получить хороший результат куда меньшей кровью пациентов и сердечных ран хирургов. Посылаю еще два снимка. Привет ЛАФ.
  • Сообщения о Ортопедия и травматология
  • Также Anatoly F. Lazarev
  • Связаться с автором
  • Ответить

    Re: Травма таза
    Evgueny Tschekashkin 26 Июль 2004, 08:54
    Сегодня вернулся с АО курса, который проходил в Кейптауне. Много времени было уделено переломам и реконструкции вертлужной впадины в лекционном виде
    и работе на моделях. Одарили СД или ДВД (еще не понял) демонстрирующих илеофеморальный расширенный, илеоингвинальный и задний доступы к вертлужной впадине в исполнении Эмиля Летурнеля. Если интересно, то с оказией попытаюсь переслать. выступал Д.Хелфет хорошо известный Вам, привет от вас передал. по его данным расширенные доступы приводят к формированию параартикулярных оссификатов практически в 50 - 60 процентах случаев , несмотря на лучевую и индометациновую 75мг профилактику. Поэтому стараются оперировать из комбинированных доступов. При поперечных переломах впадины (2 колоннны) обязательно выполняют ревизию в задне-верхнем отделе сустава перед фиксацией фрагментов заднего края и задней колонны , где как правило имеется вдавленный перелом суставного фрагмента, который приподнимают и выполняют костную пластику. Вместо 6,5 мм винтов для создания межфрагментарной компрессии они используют длинные полно-нарезные 3,5 мм винты (на моделях получается достаточно прочная фиксация). Обязательно после фиксации рекомендуют СТ контроль так как обычные проекции не всегда дают полное представление о качестве репозиции.
    Лекции у профа всегда интересные с массой забавных слайдов, но, к сожалению, автор не разрешил копирование.

    Всего доброго
    Евгений Чекашкин
    [ Ответить ]

    • Re: Травма таза
      Отправитель: Anatoly F. Lazarev 26 Июль 2004, 21:55
      Женя! Привет. Мы тоже слава Богу добились наконец в Матисе поставки тазовых винтов - они в каталоге так и называются тазовые кортикальные самонарезающие винты 3,5 мм - кал. ? 204.655 - причем две последние цифры длина винта до 100 мм, больше 100 мм 204.715 - две последние цифры длина винта после 100 - максимально - 130 мм = 204.730.
      Есть винты 4,5 мм кортикальные =216.014 - 216.140 от 14 до 140 мм длиной - последние три цифры длина винта, но это не саморезы. Саморезы идут под ?
      214.814 -214.940, где размер от 14 до 140 мм. 4.5 мм винты есть также в титане - тогда у них меняется первая цифра на 4 - 414.056 и 414.856.
      Может, скоро покажу с новыми винтами, если конечно научусь уменьшать снимки.
      Жека, может ты приедешь на Первый Съезд Крупных травматолгов Большого Урала - акредитацию, тезисы и проживание - беру на себя. Приев. ЛАФ.


      [ Ответить ]
    • Re: Травма таза
      Отправитель: Anatoliy Borzunov 27 Июль 2004, 10:15
      Можно ли подробнее рассказать об индометациновой профилактике. Мы часто сталкиваемся с гетерогенной оссификацией, особенно, после травм в локтевом суставе.

      --
      С уважением,
      Анатолий Борзунов

      [ Ответить ]

     

    ( Ответить )

    Powered by Zope  Squishdot Powered MedLink
    Посетитель: 0000116
      "По форме правильно, а по существу - издевательство" В.И.Ленин
    ©2001-2019Orthoforum Coordinator.
    [ Главная | Отправить сообщение | Поиск | Админ ]